Alzate-Ricaurte Sergio, Garcia Moreno Isabel Cristina, Serna Lorza Juan David, Hincapie-Ayala Daniela, Diaz Maria Camila, Alzate Gallego Edgar Darío, Sanchez Sanchez Juan Pablo
Departamento de Cirugía Pediátrica, Fundación Valle del Lili, Cali, Colombia.
Centro de Investigaciones Clínicas, Fundación Valle del Lili, Cali, Colombia.
Front Pediatr. 2024 May 13;12:1410850. doi: 10.3389/fped.2024.1410850. eCollection 2024.
Acute appendicitis secondary to parasitic infections is uncommon, being detected in less than 1% of cases. Balantidium coli is a parasite found in pigs and primates with zoonotic potential. To date, only three cases of acute appendicitis induced by this parasite have been documented globally.
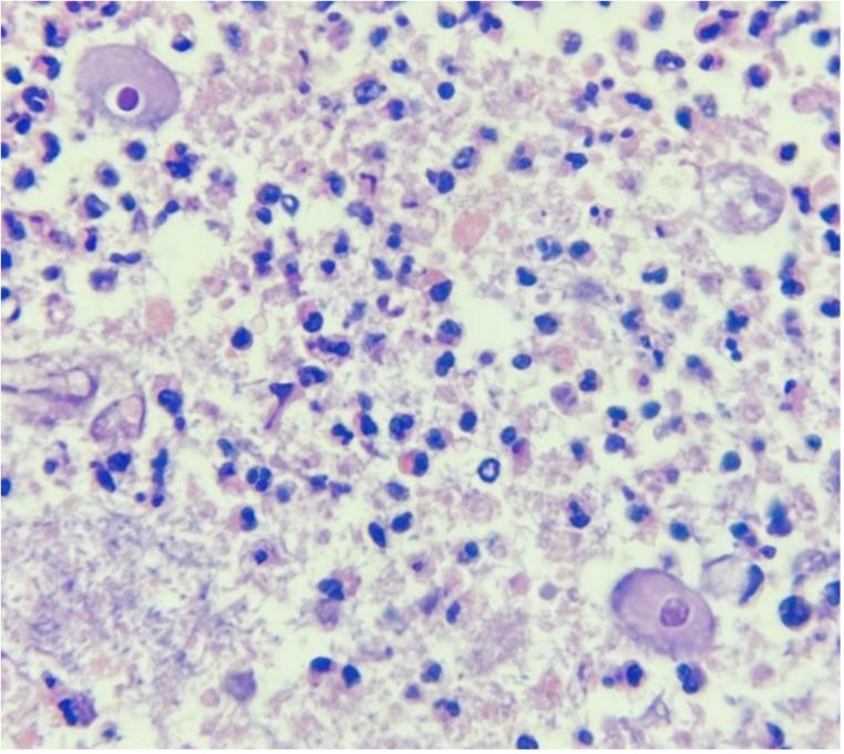
A 7-year-old female patient, who consumed pork daily, presented to the emergency department with a one-day history of abdominal pain in the lower quadrants, described as colic-like, alongside abdominal distension. Initial abdominal radiography led to a diagnosis of intestinal obstruction. Conservative management without therapeutic response necessitated referral to a higher complexity center. Upon admission, an abdominal computed tomography scan diagnosed acute appendicitis and secondary ileus. During surgical intervention, an appendiceal phlegmon formed by loops of the small intestine was mechanically released, revealing a perforated appendix with extensive fecal peritoneal contamination. Pathological analysis identified an inflammatory infiltrate and the presence of Balantidium coli trophozoites. Medical treatment included Piperacillin-Tazobactam and Metronidazole. The patient was discharged after 10 days of medical treatment.
Acute appendicitis caused by Balantidium coli is a rare occurrence. It is crucial to identify parasites in pathological samples due to their impact on postoperative management. The close contact between humans and pigs, especially in developing countries, suggests that the prevalence of parasitic infection and colonization by Balantidium coli may be higher than currently recognized. Regarding the identification of this patient's specific exposure, the regular consumption of pork suggests the hypothesis that improper processing is linked to the acquisition of the parasitic infection.
寄生虫感染继发的急性阑尾炎并不常见,在不到1%的病例中被发现。结肠小袋纤毛虫是一种存在于猪和灵长类动物体内且具有人畜共患病潜力的寄生虫。迄今为止,全球仅记录了3例由这种寄生虫引起的急性阑尾炎病例。
一名7岁女性患者,每天食用猪肉,因下腹部绞痛样腹痛伴腹胀1天就诊于急诊科。最初的腹部X线检查诊断为肠梗阻。保守治疗无效果,因此转诊至更高级别的医疗机构。入院时,腹部计算机断层扫描诊断为急性阑尾炎并继发肠梗阻。手术干预期间,由小肠袢形成的阑尾脓肿被机械松解,发现阑尾穿孔并伴有广泛的粪便性腹腔污染。病理分析发现有炎性浸润以及结肠小袋纤毛虫滋养体的存在。药物治疗包括哌拉西林-他唑巴坦和甲硝唑。患者在接受10天药物治疗后出院。
结肠小袋纤毛虫引起的急性阑尾炎很少见。由于寄生虫对术后管理有影响,因此在病理样本中识别寄生虫至关重要。人类与猪的密切接触,尤其是在发展中国家,表明结肠小袋纤毛虫的寄生虫感染和定植率可能高于目前所认识的水平。关于该患者具体的感染途径,经常食用猪肉提示了这样一种假设,即加工不当与寄生虫感染的获得有关。