Suppr超能文献

自身免疫性垂体炎与血清阴性类风湿关节炎的罕见关联:一例报告

A Rare Association of Autoimmune Hypophysitis With Seronegative Rheumatoid Arthritis: A Case Report.

作者信息

Kamran Amna, Ghazy Ahmed, Misakyan Narine, Fatima Tehreem, Najeeb Nazish

机构信息

Internal Medicine, Capital Health Regional Medical Center, Trenton, USA.

Internal Medicine, King Edward Medical University, Mayo Hospital, Lahore, PAK.

出版信息

Cureus. 2024 Apr 27;16(4):e59167. doi: 10.7759/cureus.59167. eCollection 2024 Apr.

Abstract

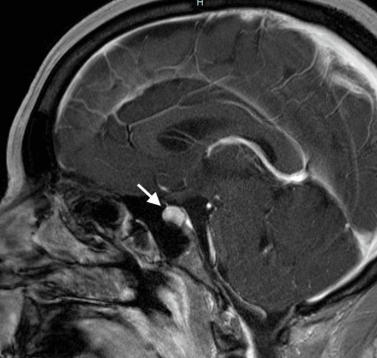
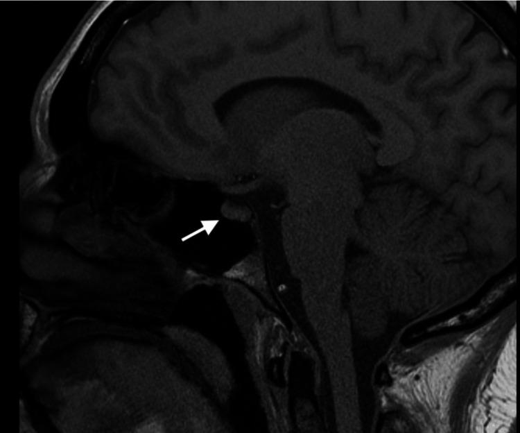
Autoimmune hypophysitis (AH) is an uncommon condition where there is inflammation of the pituitary gland which leads to hormonal imbalances. It is often associated with autoimmune diseases; however, a case is yet to be reported with an association of AH with seronegative rheumatoid arthritis (RA). We present a case of a 45-year-old female who complained of polyuria/polydipsia and rapid weight gain. An MRI of the head revealed enlargement of the pituitary gland, concerning for AH. Although she was initially treated for diabetes insipidus, she began reporting new complaints of joint pains and morning stiffness. She was clinically diagnosed with seronegative RA and improved with a trial of hydroxychloroquine. A repeat MRI showed improvement in the abnormal pituitary findings, and the patient was closely monitored with a multidisciplinary approach. Diagnosing and managing patients with AH are topics that are still being explored and researched as it is a relatively rare pathology. Consequently, we found the need to discuss the relationship of AH with seronegative RA and delve into the various diagnostic and treatment approaches.

摘要

自身免疫性垂体炎(AH)是一种罕见的疾病,其特征为垂体发生炎症,进而导致激素失衡。它常与自身免疫性疾病相关;然而,AH与血清阴性类风湿关节炎(RA)相关的病例尚未见报道。我们报告一例45岁女性患者,她主诉多尿/烦渴及体重快速增加。头部MRI显示垂体增大,怀疑为AH。尽管她最初接受了尿崩症的治疗,但她开始报告新的关节疼痛和晨僵症状。她临床诊断为血清阴性RA,试用羟氯喹后病情改善。复查MRI显示垂体异常表现有所改善,患者采用多学科方法进行密切监测。由于AH是一种相对罕见的病理情况,对AH患者的诊断和管理仍是正在探索和研究的课题。因此,我们认为有必要讨论AH与血清阴性RA的关系,并深入探讨各种诊断和治疗方法。

https://cdn.ncbi.nlm.nih.gov/pmc/blobs/897f/11129915/c2ccf34f34ec/cureus-0016-00000059167-i01.jpg

相似文献

1
A Rare Association of Autoimmune Hypophysitis With Seronegative Rheumatoid Arthritis: A Case Report.
Cureus. 2024 Apr 27;16(4):e59167. doi: 10.7759/cureus.59167. eCollection 2024 Apr.
2
Xanthomatous hypophysitis associated with autoimmune disease in an elderly patient: A rare case report.
Surg Neurol Int. 2016 Jul 7;7(Suppl 16):S449-53. doi: 10.4103/2152-7806.185773. eCollection 2016.
3
AVP deficiency (central diabetes insipidus) following immunization with anti-COVID-19 BNT162b2 Comirnaty vaccine in adolescents: A case report.
Front Endocrinol (Lausanne). 2023 Apr 18;14:1166953. doi: 10.3389/fendo.2023.1166953. eCollection 2023.
6
A Remarkable Response of Granulomatous Hypophysitis to Infliximab in a Patient With a Background of Crohn's Disease-A Case Report.
Front Endocrinol (Lausanne). 2020 May 29;11:350. doi: 10.3389/fendo.2020.00350. eCollection 2020.
7
[Autoimmune hypophysitis--two case reports].
Dtsch Med Wochenschr. 2005 Dec 9;130(49):2826-8. doi: 10.1055/s-2005-922082.
8
A case of IgG4-related hypophysitis maintained remission of diabetes insipidus for over 3 months after completion of steroid treatment.
Endocrinol Diabetes Metab Case Rep. 2023 Dec 22;2023(4). doi: 10.1530/EDM-23-0007. Print 2023 Oct 1.

本文引用的文献

1
Lymphocytic Hypophysitis in a Patient With Suspected Syndrome of Inappropriate Antidiuretic Hormone Secretion (SIADH).
Cureus. 2022 Oct 11;14(10):e30178. doi: 10.7759/cureus.30178. eCollection 2022 Oct.
3
Recurrent autoimmune hypophysitis treated with rituximab: a case report.
J Med Case Rep. 2021 Dec 15;15(1):591. doi: 10.1186/s13256-021-03146-0.
4
Clinical aspects of autoimmune hypothalamitis, a variant of autoimmune hypophysitis: Experience from one center.
J Int Med Res. 2020 Mar;48(3):300060519887832. doi: 10.1177/0300060519887832. Epub 2019 Nov 29.
5
Xanthomatous hypophysitis associated with autoimmune disease in an elderly patient: A rare case report.
Surg Neurol Int. 2016 Jul 7;7(Suppl 16):S449-53. doi: 10.4103/2152-7806.185773. eCollection 2016.
6
Lymphocytic hypophysitis: an underestimated disease affecting the sellar region.
Neurol Neurochir Pol. 2011 Mar-Apr;45(2):174-9. doi: 10.1016/s0028-3843(14)60030-x.
7
How reliably can autoimmune hypophysitis be diagnosed without pituitary biopsy.
Clin Endocrinol (Oxf). 2010 Jul;73(1):18-21. doi: 10.1111/j.1365-2265.2009.03765.x. Epub 2009 Dec 18.
8
Autoimmune hypophysitis.
Endocr Rev. 2005 Aug;26(5):599-614. doi: 10.1210/er.2004-0011. Epub 2005 Jan 5.

文献AI研究员

20分钟写一篇综述,助力文献阅读效率提升50倍。

立即体验

用中文搜PubMed

大模型驱动的PubMed中文搜索引擎

马上搜索

文档翻译

学术文献翻译模型,支持多种主流文档格式。

立即体验