Suppr超能文献

钩骨钩的解剖变异作为内镜下腕管松解术的潜在风险

Anatomic Variation of the Hamate Hook as a Potential Risk in Endoscopic Carpal Tunnel Release.

作者信息

Saito Kosuke, Okada Mitsuhiro, Ishiko Megumi, Nakamura Hiroaki

机构信息

Department of Orthopaedic Surgery, Osaka Metropolitan University Graduate School of Medicine, Osaka, Japan.

Department of Orthopaedic Surgery, Yodogawa Christian Hospital, Osaka, Japan.

出版信息

J Hand Surg Glob Online. 2024 Feb 15;6(3):293-298. doi: 10.1016/j.jhsg.2023.12.010. eCollection 2024 May.

Abstract

PURPOSE

The purpose of this study was to investigate the incidence of anomalies in patients who underwent endoscopic carpal tunnel release and their relationship with clinical outcomes.

METHODS

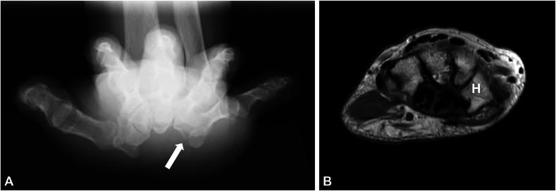
This retrospective study included 65 hands of 57 patients (8 men and 49 women; mean age, 64.9 years) who underwent endoscopic carpal tunnel release for carpal tunnel syndrome at our hospital between March 2016 and April 2022. The patients were diagnosed with carpal tunnel syndrome based on clinical observations and electrophysiological studies. On T2-weighted magnetic resonance axial images, the height of the hook of the hamate was measured from the bottom to the tip of the hook, and the total height of the hamate was measured from the dorsal surface of the hamate to the tip of the hook. A hook-to-height ratio of less than 0.34 was defined as hypoplastic, and its incidence was investigated. In addition, electrodiagnostic testing of sensory and motor nerve conduction of the median nerve and patient-reported outcome measurements, including Quick Disabilities of the Arm, Shoulder and Hand score, Boston carpal tunnel questionnaire, and visual analog scale score, were investigated at 6 months after surgery. Adverse events were collected from patient records.

RESULTS

The mean hook-to-height ratio was 0.40. Hypoplasia with a ratio ≤0.34 was observed in seven hands (10.8%), and adverse events were observed only in the two cases that had a hypoplastic hook of the hamate (3.07%). The patient-reported outcome measurements and the result of electrodiagnostic testing at 6 months after surgery did not correlate with the height of the hook of the hamate.

CONCLUSIONS

The incidence of a hypoplastic hook of the hamate is common in patients with carpal tunnel syndrome, and preoperative evaluation of the morphology of the hooks and indications for endoscopic carpal tunnel release in cases of hypoplastic hooks may help predict adverse events.

TYPE OF STUDY/LEVEL OF EVIDENCE: Therapeutic Ⅳ.

摘要

目的

本研究旨在调查接受内镜下腕管松解术患者的异常发生率及其与临床结局的关系。

方法

这项回顾性研究纳入了2016年3月至2022年4月期间在我院因腕管综合征接受内镜下腕管松解术的57例患者(8例男性和49例女性;平均年龄64.9岁)的65只手。患者根据临床观察和电生理研究被诊断为腕管综合征。在T2加权磁共振轴向图像上,从钩骨钩的底部到钩尖测量钩骨钩的高度,从钩骨的背侧表面到钩尖测量钩骨的总高度。钩高比小于0.34被定义为发育不全,并对其发生率进行调查。此外,在术后6个月对正中神经的感觉和运动神经传导进行电诊断测试,并对患者报告的结局指标进行测量,包括手臂、肩部和手部快速残疾评分、波士顿腕管问卷和视觉模拟量表评分。从患者记录中收集不良事件。

结果

平均钩高比为0.40。7只手(10.8%)观察到钩高比≤0.3四的发育不全,仅在2例钩骨钩发育不全的病例中观察到不良事件(3.07%)。术后6个月患者报告的结局指标测量和电诊断测试结果与钩骨钩的高度无关。

结论

钩骨钩发育不全在腕管综合征患者中很常见,术前评估钩骨钩的形态以及发育不全钩骨钩情况下内镜下腕管松解术的适应症可能有助于预测不良事件。

研究类型/证据水平:治疗性Ⅳ级。

https://cdn.ncbi.nlm.nih.gov/pmc/blobs/46db/11133849/61c21e6d8856/gr1.jpg

文献AI研究员

20分钟写一篇综述,助力文献阅读效率提升50倍。

立即体验

用中文搜PubMed

大模型驱动的PubMed中文搜索引擎

马上搜索

文档翻译

学术文献翻译模型,支持多种主流文档格式。

立即体验