Suppr超能文献

RGS19 激活肝癌中的 MYH9/β-连环蛋白/c-Myc 正反馈环。

RGS19 activates the MYH9/β-catenin/c-Myc positive feedback loop in hepatocellular carcinoma.

机构信息

Department of Minimally Invasive Hepatic Surgery, The First Affiliated Hospital of Harbin Medical University, Harbin, China.

Key Laboratory of Hepatosplenic Surgery, Ministry of Education, The First Affiliated Hospital of Harbin Medical University, Harbin, China.

出版信息

Exp Mol Med. 2024 Jun;56(6):1412-1425. doi: 10.1038/s12276-024-01244-9. Epub 2024 Jun 3.

Abstract

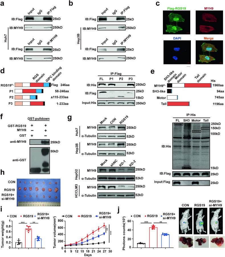
Hepatocellular carcinoma (HCC) is one of the most common fatal cancers worldwide, and the identification of novel treatment targets and prognostic biomarkers is urgently needed because of its unsatisfactory prognosis. Regulator of G-protein signaling 19 (RGS19) is a multifunctional protein that regulates the progression of various cancers. However, the specific function of RGS19 in HCC remains unclear. The expression of RGS19 was determined in clinical HCC samples. Functional and molecular biology experiments involving RGS19 were performed to explore the potential mechanisms of RGS19 in HCC. The results showed that the expression of RGS19 is upregulated in HCC tissues and is significantly associated with poor prognosis in HCC patients. RGS19 promotes the proliferation and metastasis of HCC cells in vitro and in vivo. Mechanistically, RGS19, via its RGS domain, stabilizes the MYH9 protein by directly inhibiting the interaction of MYH9 with STUB1, which has been identified as an E3 ligase of MYH9. Moreover, RGS19 activates β-catenin/c-Myc signaling via MYH9, and RGS19 is also a transcriptional target gene of c-Myc. A positive feedback loop formed by RGS19, MYH9, and the β-catenin/c-Myc axis was found in HCC. In conclusion, our research revealed that competition between RGS19 and STUB1 is a critical mechanism of MYH9 regulation and that the RGS19/MYH9/β-catenin/c-Myc feedback loop may represent a promising strategy for HCC therapy.

摘要

肝细胞癌(HCC)是全球最常见的致命癌症之一,由于其预后不佳,因此迫切需要寻找新的治疗靶点和预后生物标志物。G 蛋白信号调节因子 19(RGS19)是一种多功能蛋白,可调节多种癌症的进展。然而,RGS19 在 HCC 中的具体功能尚不清楚。本研究在临床 HCC 样本中测定了 RGS19 的表达。通过涉及 RGS19 的功能和分子生物学实验,探讨了 RGS19 在 HCC 中的潜在机制。结果表明,RGS19 在 HCC 组织中表达上调,与 HCC 患者的不良预后显著相关。RGS19 在体外和体内促进 HCC 细胞的增殖和转移。在机制上,RGS19 通过其 RGS 结构域直接抑制 MYH9 与 STUB1 的相互作用,从而稳定 MYH9 蛋白,STUB1 已被鉴定为 MYH9 的 E3 连接酶。此外,RGS19 通过 MYH9 激活 β-连环蛋白/c-Myc 信号通路,并且 RGS19 也是 c-Myc 的转录靶基因。在 HCC 中发现了由 RGS19、MYH9 和 β-连环蛋白/c-Myc 轴形成的正反馈回路。总之,本研究揭示了 RGS19 和 STUB1 之间的竞争是 MYH9 调节的关键机制,并且 RGS19/MYH9/β-连环蛋白/c-Myc 反馈回路可能代表 HCC 治疗的有前途的策略。

https://cdn.ncbi.nlm.nih.gov/pmc/blobs/6200/11263569/be08eed1b6dc/12276_2024_1244_Fig1_HTML.jpg

文献检索

告别复杂PubMed语法,用中文像聊天一样搜索,搜遍4000万医学文献。AI智能推荐,让科研检索更轻松。

立即免费搜索

文件翻译

保留排版,准确专业,支持PDF/Word/PPT等文件格式,支持 12+语言互译。

免费翻译文档

深度研究

AI帮你快速写综述,25分钟生成高质量综述,智能提取关键信息,辅助科研写作。

立即免费体验