Suppr超能文献

经胼胝体跨脉络膜对侧半球间入路治疗丘脑胶质瘤:病例展示

Contralateral interhemispheric transcallosal transchoroidal approach to a thalamic glioma: illustrative case.

作者信息

Ahmadi Sayedali, Mistry Vrun J, Misra Basant Kumar

机构信息

1Department of Neurosurgery, P D Hinduja National Hospital, Mumbai, India; and.

2Department of Neurosurgery, School of Medicine, Iran University of Medical Sciences, Tehran, Iran.

出版信息

J Neurosurg Case Lessons. 2024 Jun 3;7(23). doi: 10.3171/CASE24131.

Abstract

BACKGROUND

Thalamic lesions located in the floor of the lateral ventricle pose significant surgical challenges, given their proximity to critical neurovascular structures. Transcortical approaches are often limited by risks of injuring the eloquent cortex and nearby vessels. Furthermore, lesions extending into the third ventricle further impede accessibility. The corticospinal tract (CST), situated close to the thalamus, presents a major obstacle. Diffusion tensor imaging plays a crucial role in overcoming these challenges by accurately delineating the CST's location relative to the lesion, enabling surgeons to plan minimally invasive and safe access.

OBSERVATIONS

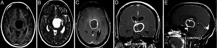
A 32-year-old female presented with progressive right-sided hemiparesis over several days. Magnetic resonance imaging revealed a cystic ring-enhancing thalamic lesion extending into the third ventricle. While supine, the patient underwent surgery via a right pericoronal parasagittal craniotomy followed by a contralateral interhemispheric transcallosal transchoroidal approach.

LESSONS

This case exemplifies the utility of the contralateral interhemispheric transcallosal approach for treating thalamic lesions, particularly those extending into the third ventricle. This minimally invasive approach minimizes retraction of the eloquent cortex and reduces the risk of neurovascular injury, potentially leading to improved surgical outcomes and faster recovery.

摘要

背景

位于侧脑室底部的丘脑病变带来了重大的手术挑战,因为它们靠近关键的神经血管结构。经皮质入路常常受到损伤功能区皮质和附近血管风险的限制。此外,病变延伸至第三脑室会进一步阻碍手术的可达性。靠近丘脑的皮质脊髓束(CST)是一个主要障碍。弥散张量成像通过准确描绘CST相对于病变的位置,在克服这些挑战中发挥着关键作用,使外科医生能够规划微创且安全的入路。

观察

一名32岁女性在数天内出现进行性右侧偏瘫。磁共振成像显示一个囊性环形强化的丘脑病变延伸至第三脑室。患者仰卧位时,通过右侧冠状旁矢状开颅术,随后采用对侧半球间经胼胝体经脉络膜入路进行手术。

经验教训

该病例例证了对侧半球间经胼胝体入路在治疗丘脑病变,尤其是延伸至第三脑室的病变中的效用。这种微创入路将功能区皮质的牵拉减至最小,并降低了神经血管损伤的风险,有可能带来更好的手术效果和更快的恢复。

https://cdn.ncbi.nlm.nih.gov/pmc/blobs/b269/11151091/0d74dea64537/CASE24131f1.jpg

文献AI研究员

20分钟写一篇综述,助力文献阅读效率提升50倍。

立即体验

用中文搜PubMed

大模型驱动的PubMed中文搜索引擎

马上搜索

文档翻译

学术文献翻译模型,支持多种主流文档格式。

立即体验