• 文献检索
  • 文档翻译
  • 深度研究
  • 学术资讯
  • Suppr Zotero 插件Zotero 插件
  • 邀请有礼
  • 套餐&价格
  • 历史记录
应用&插件
Suppr Zotero 插件Zotero 插件浏览器插件Mac 客户端Windows 客户端微信小程序
定价
高级版会员购买积分包购买API积分包
服务
文献检索文档翻译深度研究API 文档MCP 服务
关于我们
关于 Suppr公司介绍联系我们用户协议隐私条款
关注我们

Suppr 超能文献

核心技术专利:CN118964589B侵权必究
粤ICP备2023148730 号-1Suppr @ 2026

文献检索

告别复杂PubMed语法,用中文像聊天一样搜索,搜遍4000万医学文献。AI智能推荐,让科研检索更轻松。

立即免费搜索

文件翻译

保留排版,准确专业,支持PDF/Word/PPT等文件格式,支持 12+语言互译。

免费翻译文档

深度研究

AI帮你快速写综述,25分钟生成高质量综述,智能提取关键信息,辅助科研写作。

立即免费体验

实验感染小鼠体内组织特异性犬弓首蛔虫幼虫移行与宿主免疫应答

Organ-specific Toxocara canis larvae migration and host immune response in experimentally infected mice.

机构信息

Department of Ophthalmology, Seoul National University College of Medicine, Seoul National University Bundang Hospital, Seongnam 13620, Korea.

Department of Microbiology, Dongguk University College of Medicine, Gyeongju 38066, Korea.

出版信息

Parasites Hosts Dis. 2024 May;62(2):243-250. doi: 10.3347/PHD.23125. Epub 2024 May 27.

DOI:10.3347/PHD.23125
PMID:38835265
原文链接:https://pmc.ncbi.nlm.nih.gov/articles/PMC11150926/
Abstract

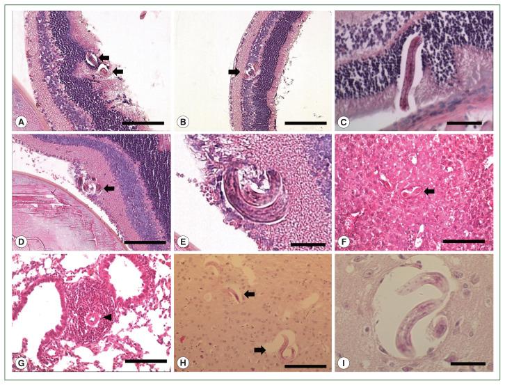
We investigated organ specific Toxocara canis larval migration in mice infected with T. canis larvae. We observed the worm burden and systemic immune responses. Three groups of BALB/c mice (n=5 each) were orally administered 1,000 T. canis 2nd stage larvae to induce larva migrans. Mice were sacrificed at 1, 3, and 5 weeks post-infection. Liver, lung, brain, and eye tissues were collected. Tissue from 2 mice per group was digested for larval count, while the remaining 3 mice underwent histological analysis. Blood hematology and serology were evaluated and compared to that in a control uninfected group (n=5) to assess the immune response. Cytokine levels in bronchoalveolar lavage (BAL) fluid were also analyzed. We found that, 1 week post-infection, the mean parasite load in the liver (72±7.1), brain (31±4.2), lungs (20±5.7), and eyes (2±0) peaked and stayed constant until the 3 weeks. By 5-week post-infection, the worm burden in the liver and lungs significantly decreased to 10±4.2 and 9±5.7, respectively, while they remained relatively stable in the brain and eyes (18±4.2 and 1±0, respectively). Interestingly, ocular larvae resided in all retinal layers, without notable inflammation in outer retina. Mice infected with T. canis exhibited elevated levels of neutrophils, monocytes, eosinophils, and immunoglobulin E. At 5 weeks post-infection, interleukin (IL)-5 and IL-13 levels were elevated in BAL fluid. Whereas IL-4, IL-10, IL-17, and interferon-γ levels in BAL fluid were similar to that in controls. Our findings demonstrate that a small portion of T. canis larvae migrate to the eyes and brain within the first week of infection. Minimal tissue inflammation was observed, probably due to increase of anti-inflammatory cytokines. This study contributes to our understanding of the histological and immunological responses to T. canis infection in mice, which may have implications to further understand human toxocariasis.

摘要

我们研究了感染犬弓首蛔虫幼虫的小鼠体内特定器官的犬弓首蛔虫幼虫迁移情况。我们观察了虫体负荷和全身免疫反应。将三组 BALB/c 小鼠(每组 5 只)经口给予 1000 条犬弓首蛔虫 2 期幼虫以诱导幼虫移行。感染后 1、3 和 5 周处死小鼠。收集肝、肺、脑和眼组织。每组 2 只小鼠的组织进行幼虫计数,其余 3 只小鼠进行组织学分析。评估和比较血液血液学和血清学与未感染对照(n=5),以评估免疫反应。还分析了支气管肺泡灌洗液(BAL)中的细胞因子水平。我们发现,感染后 1 周,肝(72±7.1)、脑(31±4.2)、肺(20±5.7)和眼(2±0)中的寄生虫负荷达到峰值并保持不变,直到 3 周。感染后 5 周,肝和肺中的虫体负荷分别显著下降至 10±4.2 和 9±5.7,而在脑和眼内则相对稳定(18±4.2 和 1±0)。有趣的是,眼内幼虫存在于所有视网膜层中,外视网膜无明显炎症。感染犬弓首蛔虫的小鼠中性粒细胞、单核细胞、嗜酸性粒细胞和免疫球蛋白 E 水平升高。感染后 5 周,BAL 液中白细胞介素(IL)-5 和 IL-13 水平升高。而 BAL 液中的 IL-4、IL-10、IL-17 和干扰素-γ水平与对照组相似。我们的研究结果表明,在感染后的第一周内,一小部分犬弓首蛔虫幼虫迁移到眼睛和大脑。观察到的组织炎症很少,可能是由于抗炎细胞因子的增加。这项研究有助于我们了解小鼠感染犬弓首蛔虫后的组织学和免疫学反应,这可能对进一步了解人类弓蛔虫病有意义。

https://cdn.ncbi.nlm.nih.gov/pmc/blobs/36e4/11150926/e0640dd70106/phd-23125f4.jpg
https://cdn.ncbi.nlm.nih.gov/pmc/blobs/36e4/11150926/98dbe7bbbec2/phd-23125f1.jpg
https://cdn.ncbi.nlm.nih.gov/pmc/blobs/36e4/11150926/57b566c230ad/phd-23125f2.jpg
https://cdn.ncbi.nlm.nih.gov/pmc/blobs/36e4/11150926/7f67ddf0f046/phd-23125f3.jpg
https://cdn.ncbi.nlm.nih.gov/pmc/blobs/36e4/11150926/e0640dd70106/phd-23125f4.jpg
https://cdn.ncbi.nlm.nih.gov/pmc/blobs/36e4/11150926/98dbe7bbbec2/phd-23125f1.jpg
https://cdn.ncbi.nlm.nih.gov/pmc/blobs/36e4/11150926/57b566c230ad/phd-23125f2.jpg
https://cdn.ncbi.nlm.nih.gov/pmc/blobs/36e4/11150926/7f67ddf0f046/phd-23125f3.jpg
https://cdn.ncbi.nlm.nih.gov/pmc/blobs/36e4/11150926/e0640dd70106/phd-23125f4.jpg

相似文献

1
Organ-specific Toxocara canis larvae migration and host immune response in experimentally infected mice.实验感染小鼠体内组织特异性犬弓首蛔虫幼虫移行与宿主免疫应答
Parasites Hosts Dis. 2024 May;62(2):243-250. doi: 10.3347/PHD.23125. Epub 2024 May 27.
2
Persistent airway hyper-responsiveness and inflammation in Toxocara canis-infected BALB/c mice.犬弓首蛔虫感染的BALB/c小鼠的持续性气道高反应性和炎症
Clin Exp Allergy. 2005 Jun;35(6):826-32. doi: 10.1111/j.1365-2222.2005.02250.x.
3
Influence of murine Toxocara canis infection on plasma and bronchoalveolar lavage fluid eosinophil numbers and its correlation with cytokine levels.小鼠犬弓首蛔虫感染对血浆和支气管肺泡灌洗液中嗜酸性粒细胞数量的影响及其与细胞因子水平的相关性。
Vet Parasitol. 2005 Nov 25;134(1-2):121-30. doi: 10.1016/j.vetpar.2005.06.022. Epub 2005 Sep 15.
4
Evidence for Asthma in the Lungs of Mice Inoculated with Different Doses of .不同剂量 接种的小鼠肺部存在哮喘证据。
Am J Trop Med Hyg. 2020 Dec;103(6):2305-2314. doi: 10.4269/ajtmh.20-0484. Epub 2020 Sep 17.
5
Immune response to chronic Toxocara canis infection in a mice model.慢性感染旋毛虫的小鼠模型中的免疫反应。
Parasite Immunol. 2019 Dec;41(12):e12672. doi: 10.1111/pim.12672. Epub 2019 Oct 15.
6
Toxocara canis larvae reinfecting BALB/c mice exhibit accelerated speed of migration to the host CNS.感染犬弓首蛔虫幼虫的 BALB/c 小鼠表现出向宿主中枢神经系统迁移的速度加快。
Parasitol Res. 2011 Nov;109(5):1267-78. doi: 10.1007/s00436-011-2371-y. Epub 2011 May 3.
7
Alterations of plasma circulating microRNAs in BALB/c mice with Toxocara canis visceral and cerebral larva migrans.感染犬弓首蛔虫引起内脏和脑幼虫移行症的BALB/c小鼠血浆循环微小RNA的变化
Parasit Vectors. 2024 Jun 12;17(1):256. doi: 10.1186/s13071-024-06327-0.
8
New insights into the immunopathology of early Toxocara canis infection in mice.小鼠早期犬弓首蛔虫感染免疫病理学的新见解。
Parasit Vectors. 2015 Jul 2;8:354. doi: 10.1186/s13071-015-0962-7.
9
Infectivity and pathogenicity of 14-month-cultured embryonated eggs of Toxocara canis in mice.犬弓首蛔虫14个月龄培养的感染性虫卵在小鼠体内的感染性和致病性
Vet Parasitol. 2003 Apr 18;113(2):145-55. doi: 10.1016/s0304-4017(03)00046-3.
10
Detrimental role of IL-33/ST2 pathway sustaining a chronic eosinophil-dependent Th2 inflammatory response, tissue damage and parasite burden during Toxocara canis infection in mice.IL-33/ST2 通路在小鼠感染旋毛虫过程中维持慢性嗜酸性粒细胞依赖的 Th2 炎症反应、组织损伤和寄生虫负担的有害作用。
PLoS Negl Trop Dis. 2021 Jul 29;15(7):e0009639. doi: 10.1371/journal.pntd.0009639. eCollection 2021 Jul.

引用本文的文献

1
Characteristics of induced lung inflammation in C57BL/6 mice.C57BL/6小鼠诱导性肺部炎症的特征
Front Immunol. 2025 Aug 21;16:1597778. doi: 10.3389/fimmu.2025.1597778. eCollection 2025.

本文引用的文献

1
Cytokine Profile in Aqueous Humor of Patients With Ocular Toxocariasis.眼部弓蛔虫病患者房水中的细胞因子谱
Front Med (Lausanne). 2022 May 13;9:869976. doi: 10.3389/fmed.2022.869976. eCollection 2022.
2
Diagnostic Value of the Serum Anti-Toxocara IgG Titer for Ocular Toxocariasis in Patients with Uveitis at a Tertiary Hospital in Korea.韩国一家三级医院葡萄膜炎患者血清抗弓蛔虫IgG滴度对眼弓蛔虫病的诊断价值
Korean J Ophthalmol. 2016 Aug;30(4):258-64. doi: 10.3341/kjo.2016.30.4.258. Epub 2016 Jul 21.
3
New insights into the immunopathology of early Toxocara canis infection in mice.
小鼠早期犬弓首蛔虫感染免疫病理学的新见解。
Parasit Vectors. 2015 Jul 2;8:354. doi: 10.1186/s13071-015-0962-7.
4
The mechanisms behind helminth's immunomodulation in autoimmunity.寄生虫免疫调节在自身免疫中的作用机制。
Autoimmun Rev. 2015 Feb;14(2):98-104. doi: 10.1016/j.autrev.2014.10.004. Epub 2014 Oct 16.
5
Toxocara optic neuropathy after ingestion of raw meat products.摄入生肉制品后发生的弓蛔虫性视神经病变。
Optom Vis Sci. 2014 Nov;91(11):e267-73. doi: 10.1097/OPX.0000000000000404.
6
Ocular toxocariasis: clinical features, diagnosis, treatment, and prevention.眼弓蛔虫病:临床特征、诊断、治疗及预防
Asia Pac Allergy. 2014 Jul;4(3):134-41. doi: 10.5415/apallergy.2014.4.3.134. Epub 2014 Jul 29.
7
Clinical features and course of ocular toxocariasis in adults.成人眼弓蛔虫病的临床特征和病程。
PLoS Negl Trop Dis. 2014 Jun 12;8(6):e2938. doi: 10.1371/journal.pntd.0002938. eCollection 2014 Jun.
8
Cataract formation associated with ocular toxocariasis.与眼弓蛔虫病相关的白内障形成。
J Cataract Refract Surg. 2013 Jun;39(6):830-5. doi: 10.1016/j.jcrs.2012.12.033. Epub 2013 Mar 1.
9
Toxocara spp. infections in paratenic hosts.转续宿主中的弓首蛔虫属感染
Vet Parasitol. 2013 Apr 15;193(4):375-89. doi: 10.1016/j.vetpar.2012.12.033. Epub 2012 Dec 27.
10
Toxocara canis larvae reinfecting BALB/c mice exhibit accelerated speed of migration to the host CNS.感染犬弓首蛔虫幼虫的 BALB/c 小鼠表现出向宿主中枢神经系统迁移的速度加快。
Parasitol Res. 2011 Nov;109(5):1267-78. doi: 10.1007/s00436-011-2371-y. Epub 2011 May 3.