Suppr超能文献

糖尿病足的外科治疗:当前证据

Surgical management of the diabetic foot: The current evidence.

作者信息

Roberts Richard Henry Randall, Davies-Jones Gareth Rhys, Brock James, Satheesh Vaishnav, Robertson Greg Aj

机构信息

Department of Trauma and Orthopaedics, Wrexham Maelor Hospital, Wrexham LL13 7TD, United Kingdom.

Department of Trauma and Orthopaedics, The Robert Jones and Agnes Hunt Orthopaedic Hospital, Oswestry SY10 7AG, United Kingdom.

出版信息

World J Orthop. 2024 May 18;15(5):404-417. doi: 10.5312/wjo.v15.i5.404.

Abstract

The prevalence of diabetes mellitus and its associated complications, particularly diabetic foot pathologies, poses significant healthcare challenges and economic burdens globally. This review synthesises current evidence on the surgical management of the diabetic foot, focusing on the interplay between neuropathy, ischemia, and infection that commonly culminates in ulcers, infections, and, in severe cases, amputations. The escalating incidence of diabetes mellitus underscores the urgency for effective management strategies, as diabetic foot complications are a leading cause of hospital admissions among diabetic patients, significantly impacting morbidity and mortality rates. This review explores the pathophysiological mechanisms underlying diabetic foot complications and further examines diabetic foot ulcers, infections, and skeletal pathologies such as Charcot arthropathy, emphasising the critical role of early diagnosis, comprehensive management strategies, and interdisciplinary care in mitigating adverse outcomes. In addressing surgical interventions, this review evaluates conservative surgeries, amputations, and reconstructive procedures, highlighting the importance of tailored approaches based on individual patient profiles and the specific characteristics of foot pathologies. The integration of advanced diagnostic tools, novel surgical techniques, and postoperative care, including offloading and infection control, are discussed in the context of optimising healing and preserving limb function.

摘要

糖尿病及其相关并发症,尤其是糖尿病足病变的患病率,在全球范围内构成了重大的医疗挑战和经济负担。本综述综合了关于糖尿病足手术治疗的现有证据,重点关注神经病变、缺血和感染之间的相互作用,这些因素通常最终导致溃疡、感染,严重时还会导致截肢。糖尿病发病率的不断上升凸显了有效管理策略的紧迫性,因为糖尿病足并发症是糖尿病患者住院的主要原因,对发病率和死亡率有重大影响。本综述探讨了糖尿病足并发症的病理生理机制,并进一步研究了糖尿病足溃疡、感染和夏科关节病等骨骼病变,强调了早期诊断、综合管理策略和跨学科护理在减轻不良后果方面的关键作用。在讨论手术干预措施时,本综述评估了保守手术、截肢和重建手术,强调了根据个体患者情况和足部病变的具体特征采取定制方法的重要性。在优化愈合和保留肢体功能的背景下,讨论了先进诊断工具、新型手术技术和术后护理(包括减负和感染控制)的整合。

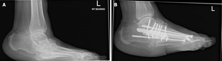
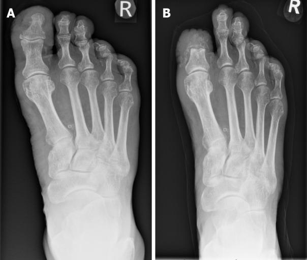
https://cdn.ncbi.nlm.nih.gov/pmc/blobs/04da/11145970/9b513794867f/WJO-15-404-g001.jpg

文献检索

告别复杂PubMed语法,用中文像聊天一样搜索,搜遍4000万医学文献。AI智能推荐,让科研检索更轻松。

立即免费搜索

文件翻译

保留排版,准确专业,支持PDF/Word/PPT等文件格式,支持 12+语言互译。

免费翻译文档

深度研究

AI帮你快速写综述,25分钟生成高质量综述,智能提取关键信息,辅助科研写作。

立即免费体验