• 文献检索
  • 文档翻译
  • 深度研究
  • 学术资讯
  • Suppr Zotero 插件Zotero 插件
  • 邀请有礼
  • 套餐&价格
  • 历史记录
应用&插件
Suppr Zotero 插件Zotero 插件浏览器插件Mac 客户端Windows 客户端微信小程序
定价
高级版会员购买积分包购买API积分包
服务
文献检索文档翻译深度研究API 文档MCP 服务
关于我们
关于 Suppr公司介绍联系我们用户协议隐私条款
关注我们

Suppr 超能文献

核心技术专利:CN118964589B侵权必究
粤ICP备2023148730 号-1Suppr @ 2026

文献检索

告别复杂PubMed语法,用中文像聊天一样搜索,搜遍4000万医学文献。AI智能推荐,让科研检索更轻松。

立即免费搜索

文件翻译

保留排版,准确专业,支持PDF/Word/PPT等文件格式,支持 12+语言互译。

免费翻译文档

深度研究

AI帮你快速写综述,25分钟生成高质量综述,智能提取关键信息,辅助科研写作。

立即免费体验

一例以咳嗽为表现并经氟代脱氧葡萄糖正电子发射断层扫描(FDG-PET)诊断的大血管巨细胞动脉炎病例

A Case of Large Vessel Giant Cell Arteritis Presenting With Cough and Diagnosed Using an FDG-PET Scan.

作者信息

Danial Azmy Habib Steven, Gunawardena Methsala

机构信息

Internal Medicine, Hampshire Hospitals NHS Foundation Trust, Basingstoke, GBR.

Rheumatology, Hampshire Hospitals NHS Foundation Trust, Basingstoke, GBR.

出版信息

Cureus. 2024 May 5;16(5):e59686. doi: 10.7759/cureus.59686. eCollection 2024 May.

DOI:10.7759/cureus.59686
PMID:38836133
原文链接:https://pmc.ncbi.nlm.nih.gov/articles/PMC11150049/
Abstract

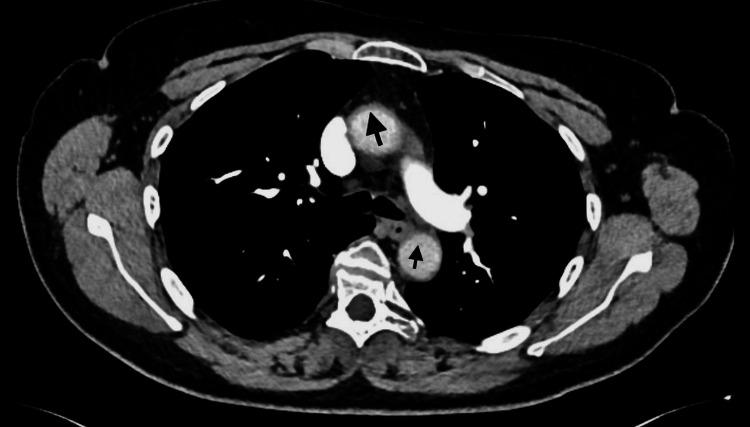
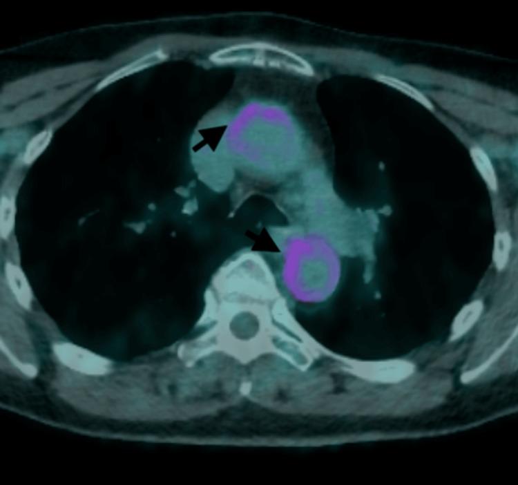
Giant-cell arteritis (GCA) is a type of vasculitis characterised by the presence of granulomas. It is the predominant form of systemic vasculitis in adults and primarily affects the larger arteries in individuals aged ≥ 50 years. GCA affects the major arteries, such as the aorta and its branches, particularly the outer branches of the external carotid artery. Signs and symptoms can be categorised into cranial, extracranial, and systemic manifestations. Patients with headaches, jaw claudication, and vision disturbances usually have extracranial branches of the external carotid artery. Aside from being the prevailing manifestation of GCA, our primary concern regarding this variant is the potential for irreversible vision loss if not properly identified and addressed. Conversely, the GCA can also affect other major blood vessels such as the aorta. Here, we present the case of a 70-year-old Caucasian female patient with cranial GCA who had experienced a temporal headache three years prior. The patient was successfully treated with prednisolone, which was gradually reduced to a very low level with the assistance of methotrexate. Recently, the patient presented with a dry cough that lasted for two months and elevated inflammatory markers. After thorough research, it was determined that there was no evidence of infection, including atypical infections, and that no abnormalities were found in the lungs. Ultimately, via an 18F-fluorodeoxyglucose-positron emission tomography (FDG-PET) scan, the patient was diagnosed with large vessel giant cell arteritis (LV-GCA). This impacted the aorta, carotid arteries, and subclavian arteries. The patient experienced notable improvement in her cough and a reduction in inflammatory markers after receiving a high dosage of oral prednisolone. This case exemplifies the unusual manifestation of LV-GCA and verifies that recurring symptoms may differ from the original presentation. While dry cough is not commonly listed as a symptom of LV-GCA, it can be present as a manifestation or the sole presentation in certain patients, particularly when inflammatory markers are consistently high and there is no pulmonary disease.

摘要

巨细胞动脉炎(GCA)是一种以肉芽肿存在为特征的血管炎。它是成人系统性血管炎的主要形式,主要影响年龄≥50岁个体的较大动脉。GCA影响主要动脉,如主动脉及其分支,特别是颈外动脉的外周分支。体征和症状可分为颅内、颅外和全身表现。有头痛、颌部间歇性运动障碍和视力障碍的患者通常累及颈外动脉的颅外分支。除了是GCA的主要表现外,我们对这种变体的主要担忧是,如果未得到正确识别和处理,可能会导致不可逆的视力丧失。相反,GCA也可影响其他主要血管,如主动脉。在此,我们报告一例70岁白种女性颅部GCA患者,该患者三年前曾出现颞部头痛。患者接受泼尼松龙治疗成功,在甲氨蝶呤的辅助下逐渐减至非常低的剂量。最近,该患者出现持续两个月的干咳且炎症标志物升高。经过全面检查,确定没有感染证据,包括非典型感染,肺部也未发现异常。最终,通过18F-氟脱氧葡萄糖正电子发射断层扫描(FDG-PET),该患者被诊断为大血管巨细胞动脉炎(LV-GCA)。病变累及主动脉、颈动脉和锁骨下动脉。该患者在接受高剂量口服泼尼松龙后,咳嗽明显改善,炎症标志物降低。本病例例证了LV-GCA的不寻常表现,并证实复发症状可能与最初表现不同。虽然干咳通常未被列为LV-GCA的症状,但在某些患者中可能作为一种表现或唯一表现出现,特别是当炎症标志物持续升高且无肺部疾病时。

https://cdn.ncbi.nlm.nih.gov/pmc/blobs/5071/11150049/47d89e4b6d96/cureus-0016-00000059686-i04.jpg
https://cdn.ncbi.nlm.nih.gov/pmc/blobs/5071/11150049/b4db89caacec/cureus-0016-00000059686-i01.jpg
https://cdn.ncbi.nlm.nih.gov/pmc/blobs/5071/11150049/446205c8b571/cureus-0016-00000059686-i02.jpg
https://cdn.ncbi.nlm.nih.gov/pmc/blobs/5071/11150049/76c11fcfa662/cureus-0016-00000059686-i03.jpg
https://cdn.ncbi.nlm.nih.gov/pmc/blobs/5071/11150049/47d89e4b6d96/cureus-0016-00000059686-i04.jpg
https://cdn.ncbi.nlm.nih.gov/pmc/blobs/5071/11150049/b4db89caacec/cureus-0016-00000059686-i01.jpg
https://cdn.ncbi.nlm.nih.gov/pmc/blobs/5071/11150049/446205c8b571/cureus-0016-00000059686-i02.jpg
https://cdn.ncbi.nlm.nih.gov/pmc/blobs/5071/11150049/76c11fcfa662/cureus-0016-00000059686-i03.jpg
https://cdn.ncbi.nlm.nih.gov/pmc/blobs/5071/11150049/47d89e4b6d96/cureus-0016-00000059686-i04.jpg

相似文献

1
A Case of Large Vessel Giant Cell Arteritis Presenting With Cough and Diagnosed Using an FDG-PET Scan.一例以咳嗽为表现并经氟代脱氧葡萄糖正电子发射断层扫描(FDG-PET)诊断的大血管巨细胞动脉炎病例
Cureus. 2024 May 5;16(5):e59686. doi: 10.7759/cureus.59686. eCollection 2024 May.
2
Positron Emission Computed Tomography Spectrum of Large Vessel Vasculitis in a Tertiary Center: Differences in 18F-fluorodeoxyglucose Uptake between Large Vessel Vasculitis with Predominant Cranial and Extracranial Giant Cell Arteritis Phenotypes.三级医疗中心大血管血管炎的正电子发射计算机断层扫描谱:以颅内和颅外巨细胞动脉炎为主的大血管血管炎之间¹⁸F-氟脱氧葡萄糖摄取的差异
J Clin Med. 2023 Sep 24;12(19):6164. doi: 10.3390/jcm12196164.
3
Three days of high-dose glucocorticoid treatment attenuates large-vessel 18F-FDG uptake in large-vessel giant cell arteritis but with a limited impact on diagnostic accuracy.大剂量糖皮质激素治疗 3 天可减轻大动脉型巨细胞动脉炎患者 18F-FDG 摄取,但对诊断准确性的影响有限。
Eur J Nucl Med Mol Imaging. 2018 Jul;45(7):1119-1128. doi: 10.1007/s00259-018-4021-4. Epub 2018 Apr 18.
4
Large-vessel giant cell arteritis eleven months after a diagnosis of erythema nodosum.结节性红斑诊断 11 个月后发生巨细胞动脉炎(大动脉炎)。
Mod Rheumatol Case Rep. 2020 Jul;4(2):283-288. doi: 10.1080/24725625.2019.1703547. Epub 2019 Dec 20.
5
Broadening the clinical spectrum of giant cell arteritis: from the classic cranial to the predominantly extracranial pattern of the disease.拓宽巨细胞动脉炎的临床谱:从经典的颅型到疾病主要为颅外型。
Expert Rev Clin Immunol. 2024 Sep;20(9):1089-1100. doi: 10.1080/1744666X.2024.2356741. Epub 2024 May 21.
6
Extracranial giant cell arteritis: A narrative review.颅外巨细胞动脉炎:一项叙述性综述。
Neth J Med. 2016 Jun;74(5):182-92.
7
An Unusual Case of Giant Cell Arteritis.一例罕见的巨细胞动脉炎病例。
Cureus. 2022 Jul 1;14(7):e26483. doi: 10.7759/cureus.26483. eCollection 2022 Jul.
8
Diagnostic accuracy of ultrasound for detecting large-vessel giant cell arteritis using FDG PET/CT as the reference.超声检查对大血管巨细胞动脉炎的诊断准确性:以 FDG PET/CT 作为参考标准。
Rheumatology (Oxford). 2020 Aug 1;59(8):2062-2073. doi: 10.1093/rheumatology/kez568.
9
Usefulness of F-FDG PET-CT for assessing large-vessel involvement in patients with suspected giant cell arteritis and negative temporal artery biopsy.18F-FDG PET-CT 对于评估疑似巨细胞动脉炎且颞动脉活检阴性患者的大血管受累的作用。
Arthritis Res Ther. 2024 Jan 4;26(1):13. doi: 10.1186/s13075-023-03254-w.
10
Distribution patterns of 18F-fluorodeoxyglucose in large vessels of Takayasu's and giant cell arteritis using positron emission tomography.应用正电子发射断层扫描研究大动脉炎和巨细胞动脉炎中 18F-氟脱氧葡萄糖的分布模式。
Clin Exp Rheumatol. 2018 Mar-Apr;36 Suppl 111(2):99-106. Epub 2018 May 18.

本文引用的文献

1
Imaging in diagnosis, monitoring and outcome prediction of large vessel vasculitis: a systematic literature review and meta-analysis informing the 2023 update of the EULAR recommendations.大血管血管炎的诊断、监测和预后评估中的影像学:系统文献回顾和荟萃分析,为 2023 年 EULAR 建议更新提供信息。
RMD Open. 2023 Aug;9(3). doi: 10.1136/rmdopen-2023-003379.
2
A new era for giant cell arteritis.巨细胞动脉炎的新纪元。
Eye (Lond). 2020 Jun;34(6):1013-1026. doi: 10.1038/s41433-019-0608-7. Epub 2019 Oct 3.
3
Prevalence of Giant Cell Arteritis Relapse in Patients Treated With Glucocorticoids: A Meta-Analysis.
接受糖皮质激素治疗的患者巨细胞动脉炎复发率:一项荟萃分析。
Arthritis Care Res (Hoboken). 2020 Jun;72(6):838-849. doi: 10.1002/acr.23901. Epub 2020 May 19.
4
Pulmonary manifestations of large, medium, and variable vessel vasculitis.大、中、小血管血管炎的肺部表现。
Respir Med. 2018 Dec;145:182-191. doi: 10.1016/j.rmed.2018.11.003. Epub 2018 Nov 10.
5
Giant Cell Arteritis: 2018 Review.巨细胞动脉炎:2018年综述
Mo Med. 2018 Sep-Oct;115(5):468-470.
6
Treatment with methotrexate and risk of relapses in patients with giant cell arteritis in clinical practice.在临床实践中,甲氨蝶呤治疗与巨细胞动脉炎患者复发的风险。
Clin Exp Rheumatol. 2018 Mar-Apr;36 Suppl 111(2):121-128. Epub 2017 Dec 6.
7
Prolonged Dry Cough without Pulmonary Changes on Radiological Imaging.长时间干咳,影像学检查无肺部改变。
Intern Med. 2018 May 1;57(9):1309-1312. doi: 10.2169/internalmedicine.0005-17. Epub 2017 Dec 27.
8
Predictors of relapse and treatment outcomes in biopsy-proven giant cell arteritis: a retrospective cohort study.经活检证实的巨细胞动脉炎复发及治疗结果的预测因素:一项回顾性队列研究。
Rheumatology (Oxford). 2016 Feb;55(2):347-56. doi: 10.1093/rheumatology/kev348. Epub 2015 Sep 18.
9
Respiratory and otolaryngologic manifestations of giant cell arteritis.巨细胞动脉炎的呼吸和耳鼻喉科表现。
Clin Exp Rheumatol. 2015 Mar-Apr;33(2 Suppl 89):S-164-70. Epub 2015 May 26.
10
Relapses in patients with giant cell arteritis: prevalence, characteristics, and associated clinical findings in a longitudinally followed cohort of 106 patients.巨细胞动脉炎患者的复发情况:106例纵向随访队列中的患病率、特征及相关临床发现
Medicine (Baltimore). 2014 Jul;93(5):194-201. doi: 10.1097/MD.0000000000000033.