Suppr超能文献

CD9 可拮抗肝脂肪变性并介导 GCGR 激动剂的肝脏作用。

CD9 Counteracts Liver Steatosis and Mediates GCGR Agonist Hepatic Effects.

机构信息

Department of Endocrinology, Translational Research of Diabetes Key Laboratory of Chongqing Education Commission of China, the Second Affiliated Hospital of Army Medical University, Chongqing, 400037, China.

Department of Endocrinology, Qilu Hospital of Shandong University, Jinan, 250012, China.

出版信息

Adv Sci (Weinh). 2024 Aug;11(29):e2400819. doi: 10.1002/advs.202400819. Epub 2024 Jun 5.

Abstract

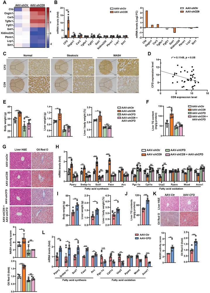
Glucagon receptor (GCGR) agonism offers potentially greater effects on the mitigation of hepatic steatosis. However, its underlying mechanism is not fully understood. Here, it screened tetraspanin CD9 might medicate hepatic effects of GCGR agonist. CD9 is decreased in the fatty livers of patients and upregulated upon GCGR activation. Deficiency of CD9 in the liver exacerbated diet-induced hepatic steatosis via complement factor D (CFD) regulated fatty acid metabolism. Specifically, CD9 modulated hepatic fatty acid synthesis and oxidation genes through regulating CFD expression via the ubiquitination-proteasomal degradation of FLI1. In addition, CD9 influenced body weight by modulating lipogenesis and thermogenesis of adipose tissue through CFD. Moreover, CD9 reinforcement in the liver alleviated hepatic steatosis, and blockage of CD9 abolished the remission of hepatic steatosis induced by cotadutide treatment. Thus, CD9 medicates the hepatic beneficial effects of GCGR signaling, and may server as a promising therapeutic target for hepatic steatosis.

摘要

胰高血糖素受体 (GCGR) 激动剂可能对减轻肝脂肪变性有更大的作用。然而,其潜在的机制尚不完全清楚。本研究筛选出四跨膜蛋白 CD9 可能介导 GCGR 激动剂的肝作用。在患者的脂肪肝中 CD9 减少,而在 GCGR 激活时上调。肝脏中 CD9 的缺乏通过补体因子 D (CFD) 调节脂肪酸代谢加重了饮食诱导的肝脂肪变性。具体而言,CD9 通过调控 FLI1 的泛素化-蛋白酶体降解来调节 CFD 表达,从而调节肝脂肪酸合成和氧化基因。此外,CD9 通过 CFD 影响脂肪组织的脂肪生成和生热来影响体重。此外,肝脏中 CD9 的增强减轻了肝脂肪变性,而阻断 CD9 则消除了 cotadutide 治疗诱导的肝脂肪变性的缓解。因此,CD9 介导了 GCGR 信号的肝脏有益作用,可能成为肝脂肪变性的有前途的治疗靶点。

https://cdn.ncbi.nlm.nih.gov/pmc/blobs/6067/11304330/7aa12f734d7c/ADVS-11-2400819-g002.jpg

文献检索

告别复杂PubMed语法,用中文像聊天一样搜索,搜遍4000万医学文献。AI智能推荐,让科研检索更轻松。

立即免费搜索

文件翻译

保留排版,准确专业,支持PDF/Word/PPT等文件格式,支持 12+语言互译。

免费翻译文档

深度研究

AI帮你快速写综述,25分钟生成高质量综述,智能提取关键信息,辅助科研写作。

立即免费体验