• 文献检索
  • 文档翻译
  • 深度研究
  • 学术资讯
  • Suppr Zotero 插件Zotero 插件
  • 邀请有礼
  • 套餐&价格
  • 历史记录
应用&插件
Suppr Zotero 插件Zotero 插件浏览器插件Mac 客户端Windows 客户端微信小程序
定价
高级版会员购买积分包购买API积分包
服务
文献检索文档翻译深度研究API 文档MCP 服务
关于我们
关于 Suppr公司介绍联系我们用户协议隐私条款
关注我们

Suppr 超能文献

核心技术专利:CN118964589B侵权必究
粤ICP备2023148730 号-1Suppr @ 2026

文献检索

告别复杂PubMed语法,用中文像聊天一样搜索,搜遍4000万医学文献。AI智能推荐,让科研检索更轻松。

立即免费搜索

文件翻译

保留排版,准确专业,支持PDF/Word/PPT等文件格式,支持 12+语言互译。

免费翻译文档

深度研究

AI帮你快速写综述,25分钟生成高质量综述,智能提取关键信息,辅助科研写作。

立即免费体验

表面活性物质载脂蛋白和克拉拉细胞抗原在化学诱导及自然发生的小鼠肺部肿瘤中的免疫细胞化学定位

Immunocytochemical localization of the surfactant apoprotein and Clara cell antigen in chemically induced and naturally occurring pulmonary neoplasms of mice.

作者信息

Ward J M, Singh G, Katyal S L, Anderson L M, Kovatch R M

出版信息

Am J Pathol. 1985 Mar;118(3):493-9.

PMID:3883798
原文链接:https://pmc.ncbi.nlm.nih.gov/articles/PMC1887948/
Abstract

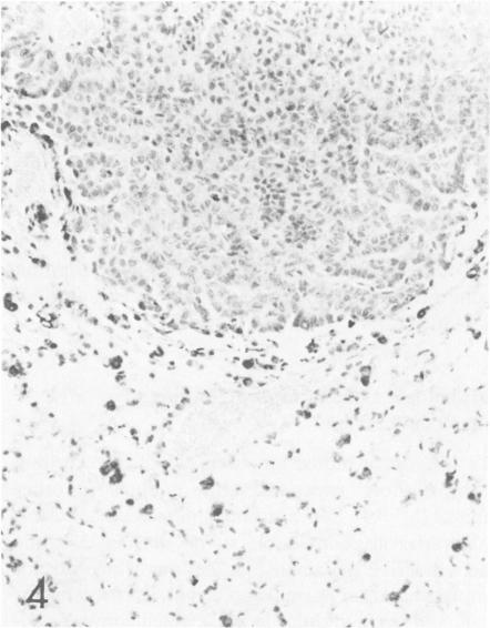
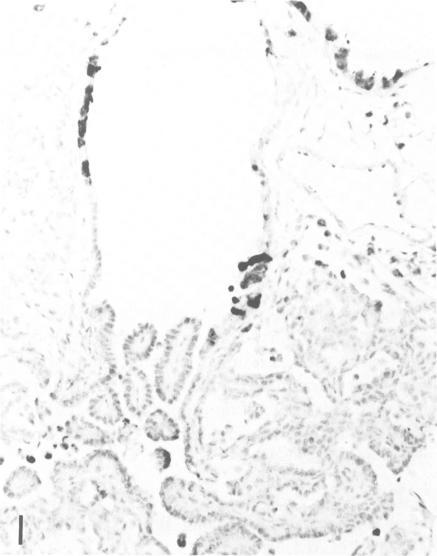
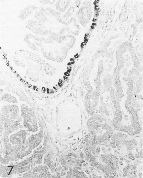
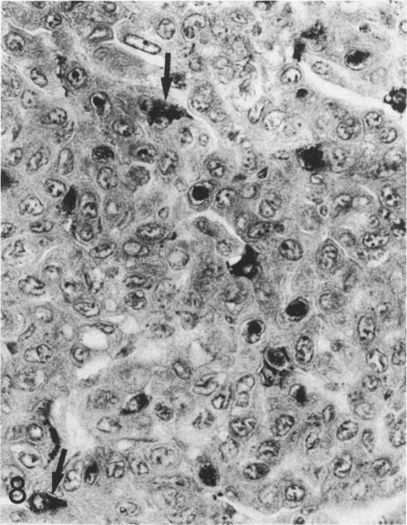
The localization of surfactant apoprotein (SAP) and the Clara cell antigen(s) (CCA) was studied in naturally occurring and experimentally induced pulmonary hyperplasias and neoplasms by avidin-biotin peroxidase complex (ABC) immunocytochemistry. Lungs of B6C3F1 and A strain mice with naturally occurring lesions, B6C3F1 mice given injections of N-nitrosodiethylamine (DEN), BALB/c nu/nu or nu/+ mice exposed transplacentally on Day 16 of gestation to ethylnitrosourea (ENU), or BALB/c nu/+ mice exposed to ENU at 8-12 weeks of age were preserved in formalin or Bouin's fixative. After ABC immunocytochemistry, SAP was found in the cytoplasm of normal alveolar Type II cells; in the majority of cells in focal alveolar and solid hyperplasias originating in peribronchiolar or peripheral locations; and in solid, tubular, papillary, and mixed adenomas and carcinomas. The larger mixed-pattern neoplasms and small or large tubular neoplasms usually had the least number of cells with SAP. The majority of large papillary adenomas and carcinomas in BALB/c mice exposed to ENU and in untreated A strain mice contained SAP in the nuclei of many neoplastic cells but only in the cytoplasm of a few neoplastic cells. CCA was found in normal Clara cells of bronchi and bronchioles but not in any hyperplastic or neoplastic lesion of any mouse studied. This study provided immunocytochemical evidence that the vast majority of naturally occurring and experimentally induced pulmonary neoplasms of mice are alveolar Type II cell adenomas and carcinomas.

摘要

采用抗生物素蛋白-生物素过氧化物酶复合物(ABC)免疫细胞化学方法,研究了表面活性物质载脂蛋白(SAP)和克拉拉细胞抗原(CCA)在自然发生和实验诱导的肺增生及肿瘤中的定位。对患有自然病变的B6C3F1和A品系小鼠、注射N-亚硝基二乙胺(DEN)的B6C3F1小鼠、在妊娠第16天经胎盘暴露于乙基亚硝基脲(ENU)的BALB/c裸鼠或裸+/+小鼠,或在8-12周龄时暴露于ENU的BALB/c裸+/+小鼠的肺组织,用福尔马林或布因氏固定液保存。经过ABC免疫细胞化学检测,发现SAP存在于正常肺泡II型细胞的细胞质中;存在于起源于细支气管周围或周边部位的局灶性肺泡增生和实性增生的大多数细胞中;也存在于实性、管状、乳头状和混合性腺瘤及癌中。较大的混合型肿瘤和小或大的管状肿瘤中通常含SAP的细胞数量最少。在暴露于ENU的BALB/c小鼠和未经处理的A品系小鼠中的大多数大乳头状腺瘤和癌,在许多肿瘤细胞的细胞核中含有SAP,但仅在少数肿瘤细胞的细胞质中含有。在支气管和细支气管的正常克拉拉细胞中发现了CCA,但在所研究的任何小鼠的增生性或肿瘤性病变中均未发现。本研究提供了免疫细胞化学证据,表明小鼠中绝大多数自然发生和实验诱导的肺肿瘤是肺泡II型细胞腺瘤和癌。

https://cdn.ncbi.nlm.nih.gov/pmc/blobs/a901/1887948/65be63ff4285/amjpathol00174-0164-d.jpg
https://cdn.ncbi.nlm.nih.gov/pmc/blobs/a901/1887948/f194fdbe6fb0/amjpathol00174-0161-a.jpg
https://cdn.ncbi.nlm.nih.gov/pmc/blobs/a901/1887948/0ba270e5663f/amjpathol00174-0161-b.jpg
https://cdn.ncbi.nlm.nih.gov/pmc/blobs/a901/1887948/df91b3c124c9/amjpathol00174-0161-c.jpg
https://cdn.ncbi.nlm.nih.gov/pmc/blobs/a901/1887948/4bf153c7db06/amjpathol00174-0161-d.jpg
https://cdn.ncbi.nlm.nih.gov/pmc/blobs/a901/1887948/638f81f6c602/amjpathol00174-0164-a.jpg
https://cdn.ncbi.nlm.nih.gov/pmc/blobs/a901/1887948/9cc0052ca337/amjpathol00174-0164-b.jpg
https://cdn.ncbi.nlm.nih.gov/pmc/blobs/a901/1887948/f124730ce44b/amjpathol00174-0164-c.jpg
https://cdn.ncbi.nlm.nih.gov/pmc/blobs/a901/1887948/65be63ff4285/amjpathol00174-0164-d.jpg
https://cdn.ncbi.nlm.nih.gov/pmc/blobs/a901/1887948/f194fdbe6fb0/amjpathol00174-0161-a.jpg
https://cdn.ncbi.nlm.nih.gov/pmc/blobs/a901/1887948/0ba270e5663f/amjpathol00174-0161-b.jpg
https://cdn.ncbi.nlm.nih.gov/pmc/blobs/a901/1887948/df91b3c124c9/amjpathol00174-0161-c.jpg
https://cdn.ncbi.nlm.nih.gov/pmc/blobs/a901/1887948/4bf153c7db06/amjpathol00174-0161-d.jpg
https://cdn.ncbi.nlm.nih.gov/pmc/blobs/a901/1887948/638f81f6c602/amjpathol00174-0164-a.jpg
https://cdn.ncbi.nlm.nih.gov/pmc/blobs/a901/1887948/9cc0052ca337/amjpathol00174-0164-b.jpg
https://cdn.ncbi.nlm.nih.gov/pmc/blobs/a901/1887948/f124730ce44b/amjpathol00174-0164-c.jpg
https://cdn.ncbi.nlm.nih.gov/pmc/blobs/a901/1887948/65be63ff4285/amjpathol00174-0164-d.jpg

相似文献

1
Immunocytochemical localization of the surfactant apoprotein and Clara cell antigen in chemically induced and naturally occurring pulmonary neoplasms of mice.表面活性物质载脂蛋白和克拉拉细胞抗原在化学诱导及自然发生的小鼠肺部肿瘤中的免疫细胞化学定位
Am J Pathol. 1985 Mar;118(3):493-9.
2
Immunocytochemical and morphological evidence for the origin of N-nitrosomethylurea-induced and naturally occurring primary lung tumors in F344/NCr rats.F344/NCr大鼠中N-亚硝基甲基脲诱导的和自然发生的原发性肺肿瘤起源的免疫细胞化学和形态学证据。
Cancer Res. 1985 Jun;45(6):2785-92.
3
Mouse papillary lung tumors transplacentally induced by N-nitrosoethylurea: evidence for alveolar type II cell origin by comparative light microscopic, ultrastructural, and immunohistochemical studies.N-亚硝基乙基脲经胎盘诱导的小鼠肺乳头状瘤:通过比较光镜、超微结构和免疫组化研究证明其起源于II型肺泡细胞
Cancer Res. 1988 Jan 1;48(1):148-60.
4
Immunohistochemical demonstration of Clara cell antigen in lung tumors of bronchiolar origin induced by N-nitrosodiethylamine in Syrian golden hamsters.用免疫组织化学法在叙利亚金黄地鼠中由N-亚硝基二乙胺诱导产生的细支气管源性肺肿瘤中检测克拉拉细胞抗原。
Am J Pathol. 1989 Jan;134(1):79-87.
5
Origin of spontaneous and transplacentally induced mouse lung tumors from alveolar type II cells.来自肺泡II型细胞的自发性和经胎盘诱导的小鼠肺肿瘤的起源。
Exp Lung Res. 1991 Mar-Apr;17(2):181-95. doi: 10.3109/01902149109064410.
6
Role of the alveolar type II cell in the development and progression of pulmonary tumors induced by 4-(methylnitrosamino)-1-(3-pyridyl)-1-butanone in the A/J mouse.Ⅱ型肺泡细胞在4-(甲基亚硝胺基)-1-(3-吡啶基)-1-丁酮诱导的A/J小鼠肺肿瘤发生和发展中的作用
Cancer Res. 1992 Jun 1;52(11):3164-73.
7
Clara cell adenomas of the mouse lung. Interaction with alveolar type 2 cells.小鼠肺的克拉拉细胞腺瘤。与Ⅱ型肺泡细胞的相互作用。
Am J Pathol. 1985 Sep;120(3):455-63.
8
Immunohistochemical studies on the expression of pulmonary surfactant apoproteins in human lung carcinomas using monoclonal antibodies.利用单克隆抗体对人肺癌中肺表面活性物质载脂蛋白表达的免疫组织化学研究。
Pathol Res Pract. 1987 Oct;182(5):669-75.
9
Mouse bronchiolar cell carcinogenesis. Histologic characterization and expression of Clara cell antigen in lesions induced by N-nitrosobis-(2-chloroethyl) ureas.小鼠细支气管细胞癌发生。N-亚硝基双(2-氯乙基)脲诱导病变中克拉拉细胞抗原的组织学特征及表达
Am J Pathol. 1991 Aug;139(2):413-22.
10
Plutonium-induced proliferative lesions and pulmonary epithelial neoplasms in the rat: immunohistochemical and ultrastructural evidence for their origin from type II pneumocytes.钚诱发大鼠的增殖性病变和肺上皮肿瘤:其起源于II型肺细胞的免疫组织化学和超微结构证据
Vet Pathol. 1994 May;31(3):366-74. doi: 10.1177/030098589403100310.

引用本文的文献

1
Secretoglobin 3A2/uteroglobin-related protein 1 is a novel marker for pulmonary carcinoma in mice and humans.分泌球蛋白 3A2/尿促球蛋白相关蛋白 1 是一种用于诊断人和小鼠肺癌的新型标志物。
Lung Cancer. 2011 Jan;71(1):42-8. doi: 10.1016/j.lungcan.2010.04.001. Epub 2010 May 13.
2
Association between decreases in type V collagen and apoptosis in mouse lung chemical carcinogenesis: a preliminary model to study cancer cell behavior.在小鼠肺化学致癌过程中,V 型胶原减少与细胞凋亡的关系:一种研究癌细胞行为的初步模型。
Clinics (Sao Paulo). 2010 Apr;65(4):425-32. doi: 10.1590/S1807-59322010000400012.
3
Summary of chemically induced pulmonary lesions in the National Toxicology Program (NTP) toxicology and carcinogenesis studies.

本文引用的文献

1
Histogenesis of induced pulmonary tumors in strain a mice.a品系小鼠诱导性肺肿瘤的组织发生
Am J Pathol. 1940 Jul;16(4):417-432.5.
2
FURTHER STUDIES ON THE HISTOGENESIS OF PULMONARY TUMORS IN MICE INDUCED BY 4-NITROQUINOLINE 1-OXIDE.4-硝基喹啉-1-氧化物诱导小鼠肺肿瘤组织发生的进一步研究
Gan. 1964 Aug;55:315-23.
3
HISTOGENESIS OF LUNG CARCINOMA IN MICE INDUCED BY 4-NITROQUINOLINE 1-OXIDE: CARCINOMA ARISING FROM AREAS OF ADENOMA.4-硝基喹啉 1-氧化物诱导的小鼠肺癌的组织发生:腺癌区域产生的癌。
国家毒理学计划(NTP)毒理学与致癌作用研究中化学诱导肺部病变的总结。
Toxicol Pathol. 2008 Apr;36(3):428-39. doi: 10.1177/0192623308315360. Epub 2008 Apr 25.
4
Pulmonary toxicity and carcinogenicity of trichloroethylene: species differences and modes of action.三氯乙烯的肺毒性和致癌性:种属差异及作用模式
Environ Health Perspect. 2000 May;108 Suppl 2(Suppl 2):261-4. doi: 10.1289/ehp.00108s2261.
5
Surfactant protein C expression in urethane-induced murine pulmonary tumors.表面活性蛋白C在氨基甲酸乙酯诱导的小鼠肺部肿瘤中的表达
Am J Pathol. 2000 Jan;156(1):175-82. doi: 10.1016/S0002-9440(10)64717-7.
6
Expression of alveolar type II cell markers in acinar adenocarcinomas and adenoid cystic carcinomas arising from segmental bronchi. A study in a heterotopic bronchogenic carcinoma model in dogs.节段性支气管来源的腺泡腺癌和腺样囊性癌中Ⅱ型肺泡细胞标志物的表达。一项对犬异位支气管源性癌模型的研究。
Am J Pathol. 1993 Apr;142(4):1251-64.
7
Acute effects of 4-ipomeanol on experimental lung tumors with bronchiolar or alveolar cell features in Syrian hamsters or C3H/HeNCr mice.4-异亚丙基莽草酸对叙利亚仓鼠或C3H/HeNCr小鼠具有细支气管或肺泡细胞特征的实验性肺肿瘤的急性影响。
J Cancer Res Clin Oncol. 1993;120(1-2):41-50. doi: 10.1007/BF01200723.
8
Gross and microscopic lesions in the female SENCAR mouse skin and lung in tumor initiation and promotion studies.雌性SENCAR小鼠皮肤和肺部在肿瘤起始和促进研究中的大体和微观病变。
Environ Health Perspect. 1986 Sep;68:91-104. doi: 10.1289/ehp.866891.
9
Pathology of aging female SENCAR mice used as controls in skin two-stage carcinogenesis studies.在皮肤两阶段致癌研究中用作对照的衰老雌性SENCAR小鼠的病理学
Environ Health Perspect. 1986 Sep;68:81-9. doi: 10.1289/ehp.866881.
10
Differential carcinogenic effects of intraperitoneal initiation with 7,12-dimethylbenz(a)anthracene or urethane and topical promotion with 12-O-tetradecanoylphorbol-13-acetate in skin and internal tissues of female SENCAR and BALB/c mice.7,12-二甲基苯并(a)蒽或氨基甲酸乙酯腹腔注射启动以及12-O-十四烷酰佛波醇-13-乙酸酯局部促癌对雌性SENCAR和BALB/c小鼠皮肤及内部组织的不同致癌作用。
Environ Health Perspect. 1986 Sep;68:61-8. doi: 10.1289/ehp.866861.
Gan. 1964 Jun;55:205-10.
4
Ultrastructure of pulmonary adenomas in mice.小鼠肺腺瘤的超微结构
Cancer Res. 1962 Nov;22:1197-201.
5
A scanning electron microscopic study of the Type II and Clara cell adenoma of the mouse lung.小鼠肺Ⅱ型和克拉拉细胞腺瘤的扫描电子显微镜研究。
Lab Invest. 1980 Jul;43(1):28-36.
6
A light and electron microscopic study of liver and lung tumors induced by a single low dose of diethylnitrosamine (DEN) in C57BLXC3H F1 mice.对C57BLXC3H F1小鼠单次低剂量二乙基亚硝胺(DEN)诱发的肝肿瘤和肺肿瘤进行的光镜和电镜研究。
Cancer Detect Prev. 1981;4(1-4):85-97.
7
Isolation and characterization of the lipid-containing interstitial cell from the developing rat lung.发育中大鼠肺脏含脂质间质细胞的分离与鉴定
Lab Invest. 1981 Sep;45(3):248-59.
8
Histogenesis of the papillary Clara cell adenoma.乳头状克拉拉细胞腺瘤的组织发生
Am J Pathol. 1981 May;103(2):174-80.
9
Sensitivity to carcinogenesis in nude mice: skin tumors caused by transplacental exposure to ethylnitrosourea.裸鼠对致癌作用的敏感性:经胎盘暴露于乙基亚硝基脲所致的皮肤肿瘤
Science. 1982 Nov 12;218(4573):682-4. doi: 10.1126/science.7134965.
10
Surfactant apoprotein in nonmalignant pulmonary disorders.非恶性肺部疾病中的表面活性物质载脂蛋白
Am J Pathol. 1980 Oct;101(1):51-61.