Suppr超能文献

腮腺上皮-肌上皮癌:1例罕见病例报告及文献复习

Epithelial-Myoepithelial Carcinoma of the Parotid Gland: A Report of a Rare Case and Review of Literature.

作者信息

Surolia Prachi, Kambala Rajanikanth, Bhola Nitin

机构信息

Oral and Maxillofacial Surgery, Sharad Pawar Dental College and Hospital, Datta Meghe Institute of Higher Education and Research, Wardha, IND.

出版信息

Cureus. 2024 May 5;16(5):e59701. doi: 10.7759/cureus.59701. eCollection 2024 May.

Abstract

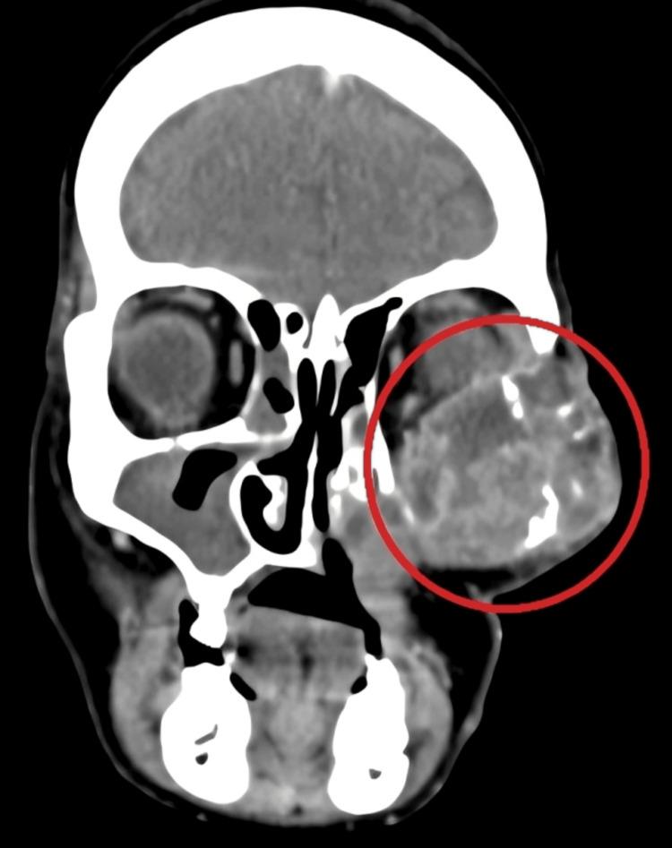
Epithelial-myoepithelial carcinoma (EMC) is a rare tumor, characterized by two different cell populations and both demonstrate a malignant nature microscopically. It constitutes less than 2% of all salivary gland malignancies. The World Health Organization (WHO) has classified this disease as a separate pathological category. The diagnosis of this tumor is arrived by biopsy. It shows slow growth and is small in size; it appears in ulcerative form of mucosa in some cases. Gland cells consist of two layers of outer myoepithelium cells and inner epithelial cells. Vimentin staining is positive. It shows calponin, muscle-specific actin, S100, smooth muscle actin, p63, and smooth muscle myosin heavy chain I. Examining different sets of data reveals that tumors exhibiting a solid growth pattern, nuclear atypia, DNA aneuploidy, and increased proliferative activity typically display a more aggressive nature, accompanied by a heightened likelihood of local recurrences and metastases. The clinical and radiological observations frequently resemble those of a benign tumor. Due to the uncommon nature of EMC, there is currently no established standard treatment protocol. It is considered a low-grade tumor where good resection holds better results. Individuals displaying histopathological indicators of aggressive disease should be evaluated for potential adjuvant radiotherapy. We present a case of a patient who had recurrence twice in a period of seven years despite surgical management, chemotherapy, and radiotherapy.

摘要

上皮-肌上皮癌(EMC)是一种罕见肿瘤,其特征为两种不同的细胞群,且在显微镜下均显示恶性特征。它占所有涎腺恶性肿瘤的比例不到2%。世界卫生组织(WHO)已将这种疾病归类为一个单独的病理类别。该肿瘤通过活检进行诊断。它生长缓慢且体积较小;在某些情况下,它以黏膜溃疡性形式出现。腺细胞由外层两层肌上皮细胞和内层上皮细胞组成。波形蛋白染色呈阳性。它显示钙调蛋白、肌肉特异性肌动蛋白、S100、平滑肌肌动蛋白、p63和平滑肌肌球蛋白重链I。对不同数据集的研究表明,呈现实体生长模式、核异型性、DNA非整倍体和增殖活性增加的肿瘤通常具有更具侵袭性的特征,同时局部复发和转移的可能性更高。临床和影像学表现常常类似于良性肿瘤。由于EMC较为罕见,目前尚无既定的标准治疗方案。它被认为是一种低级别肿瘤,手术切除效果较好。对于表现出侵袭性疾病组织病理学指标的个体,应评估其是否适合进行辅助放疗。我们报告一例患者,尽管接受了手术治疗、化疗和放疗,但在七年时间内复发了两次。

https://cdn.ncbi.nlm.nih.gov/pmc/blobs/ebfe/11151140/46404591d724/cureus-0016-00000059701-i01.jpg

文献AI研究员

20分钟写一篇综述,助力文献阅读效率提升50倍。

立即体验

用中文搜PubMed

大模型驱动的PubMed中文搜索引擎

马上搜索

文档翻译

学术文献翻译模型,支持多种主流文档格式。

立即体验