Ayadi Taha Yassine, Behi Hager, Guelmami Hanene, Changuel Amel, Tlili Karima, Khalifa Mohamed Bachir
General Surgery Department, Military Hospital of Tunis, Mont Fleury-1008, Tunis, Tunisia; Faculty of Medicine of Tunis, 15, Djebel Lakhdhar Street - 1007 Bab Saadoun, Tunis, Tunisia.
General Surgery Department, Military Hospital of Tunis, Mont Fleury-1008, Tunis, Tunisia; Faculty of Medicine of Tunis, 15, Djebel Lakhdhar Street - 1007 Bab Saadoun, Tunis, Tunisia.
Int J Surg Case Rep. 2024 Jul;120:109857. doi: 10.1016/j.ijscr.2024.109857. Epub 2024 Jun 8.
Xanthogranulomatous Cholecystitis (XGC) is a rare inflammatory condition characterized by the presence of xanthogranulomas within the gallbladder wall, often mimicking gallbladder carcinoma (GBC). Diagnosis is challenging and may require biopsy. Once GBC is excluded, an open cholecystectomy is recommended, although laparoscopic cholecystectomy is increasingly being performed with great caution. This case report aims to evaluate clinical and radiological features, surgical outcomes, and treatment approaches for XGC.
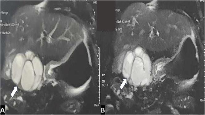
A 70-year-old patient presented with right hypochondrial pain and a palpable gallbladder. A CT scan revealed a distended lithiasic gallbladder with a thickened irregular wall and hepatic nodules. A hepatic MRI suggested xanthogranulomatous cholecystitis. A CT-guided biopsy of the liver nodule showed no signs of malignancy. An open cholecystectomy with a trans-cystic drain was performed. Histological examination confirmed chronic xanthogranulomatous cholecystitis. The patient was discharged on postoperative day 10. A clinical and radiological follow-up at 6 months postoperatively showed no abnormalities.
XGC presents diagnostic challenges due to its resemblance to GBC. Imaging aids in diagnosis, but biopsy may be necessary. Open cholecystectomy is the recommended surgical treatment due to excessive local inflammation and the risk of concomitant malignancy.
Managing XGC demands a holistic approach that integrates all clinical insights and mandates close collaboration among a multidisciplinary team of surgeons, radiologists, and pathologists. Further research is needed to refine diagnostic and therapeutic strategies for this rare condition, especially in geriatric patients.
黄色肉芽肿性胆囊炎(XGC)是一种罕见的炎症性疾病,其特征是胆囊壁内存在黄色肉芽肿,常酷似胆囊癌(GBC)。诊断具有挑战性,可能需要活检。一旦排除GBC,建议行开腹胆囊切除术,尽管越来越谨慎地进行腹腔镜胆囊切除术。本病例报告旨在评估XGC的临床和影像学特征、手术结果及治疗方法。
一名70岁患者出现右季肋部疼痛且可触及胆囊。CT扫描显示胆囊扩张伴结石,胆囊壁增厚且不规则,还有肝脏结节。肝脏MRI提示黄色肉芽肿性胆囊炎。肝脏结节的CT引导下活检未发现恶性迹象。行开腹胆囊切除术并经胆囊置管引流。组织学检查证实为慢性黄色肉芽肿性胆囊炎。患者术后第10天出院。术后6个月的临床和影像学随访未发现异常。
由于XGC与GBC相似,故存在诊断挑战。影像学有助于诊断,但可能需要活检。鉴于局部炎症严重及存在伴发恶性肿瘤的风险,开腹胆囊切除术是推荐的手术治疗方法。
处理XGC需要一种综合所有临床见解的整体方法,并要求外科医生、放射科医生和病理科医生组成的多学科团队密切协作。需要进一步研究以完善针对这种罕见疾病的诊断和治疗策略,尤其是在老年患者中。