Suppr超能文献

1例以左心室假性动脉瘤为晚期表现的ST段抬高型心肌梗死并发症的病例

A Case of Left Ventricular Pseudoaneurysm as a Complication of Late-Presenting ST-Segment Elevation Myocardial Infarction.

作者信息

Engel-Rodriguez Andrew, Escabi-Mendoza Jose, Molina-Lopez Victor H, Engel-Rodriguez Natalie, Tiru-Vega Marilee

机构信息

Internal Medicine, VA (Veterans Affairs) Caribbean Healthcare Systems, San Juan, PRI.

Cardiovascular Disease, VA (Veterans Affairs) Caribbean Healthcare Systems, San Juan, PRI.

出版信息

Cureus. 2024 May 10;16(5):e60026. doi: 10.7759/cureus.60026. eCollection 2024 May.

Abstract

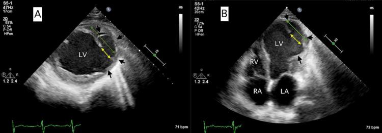
This case report delineates the clinical trajectory and management strategies of a 59-year-old Hispanic male diagnosed with a left ventricular pseudoaneurysm (LVPA) following a delayed presentation of ST-segment elevation myocardial infarction (STEMI), for which reperfusion treatment was not administered. Initially, an echocardiogram demonstrated an extensive anterolateral myocardial infarction, severe left ventricular systolic dysfunction, and an early-stage left ventricular apical aneurysm with thrombus, leading to the initiation of warfarin. Metabolic myocardial perfusion imaging via positron emission tomography indicated a substantial myocardial scar without viability, guiding the decision against revascularization. Post discharge, the patient, equipped with a wearable cardioverter defibrillator for sudden cardiac death prevention, experienced symptomatic ventricular tachycardia, which was resolved with defibrillator shocks. Subsequent imaging revealed an acute LVPA adjacent to the existing left ventricular aneurysm. Given the high surgical risk, conservative management was elected, resulting in thrombosis and closure of the pseudoaneurysm after two weeks. The patient eventually transitioned to home hospice, surviving an additional five months. This report underscores the complexities and therapeutic dilemmas in managing post-MI LVPA patients who are ineligible for surgical intervention.

摘要

本病例报告描述了一名59岁西班牙裔男性的临床病程及管理策略,该患者在ST段抬高型心肌梗死(STEMI)延迟就诊后被诊断为左心室假性动脉瘤(LVPA),未接受再灌注治疗。最初,超声心动图显示广泛前壁心肌梗死、严重左心室收缩功能障碍以及早期左心室心尖部动脉瘤伴血栓形成,遂开始使用华法林。通过正电子发射断层扫描进行的代谢心肌灌注成像显示存在大面积无存活心肌的心肌瘢痕,这为不进行血运重建的决策提供了依据。出院后,该患者佩戴了用于预防心脏性猝死的可穿戴式心脏复律除颤器,出现了有症状的室性心动过速,通过除颤器电击得以解决。随后的影像学检查显示在现有的左心室动脉瘤附近出现了急性LVPA。鉴于手术风险高,选择了保守治疗,两周后假性动脉瘤形成血栓并闭合。患者最终转入家庭临终关怀,又存活了五个月。本报告强调了在管理不符合手术干预条件的心肌梗死后LVPA患者时的复杂性和治疗困境。

https://cdn.ncbi.nlm.nih.gov/pmc/blobs/3cd3/11162561/30243a3e1772/cureus-0016-00000060026-i01.jpg

文献AI研究员

20分钟写一篇综述,助力文献阅读效率提升50倍。

立即体验

用中文搜PubMed

大模型驱动的PubMed中文搜索引擎

马上搜索

文档翻译

学术文献翻译模型,支持多种主流文档格式。

立即体验