Division of Radioprotectants, Department of Pharmacology and Molecular Therapeutics, F. Edward Hébert School of Medicine, Uniformed Services University of the Health Sciences, 4301 Jones Bridge Road, Bethesda, MD, 20814-2712, USA.
Armed Forces Radiobiology Research Institute, Uniformed Services University of the Health Sciences, Bethesda, MD, 20814, USA.
Sci Rep. 2024 Jun 10;14(1):13315. doi: 10.1038/s41598-024-64102-8.
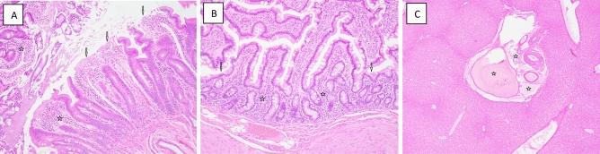
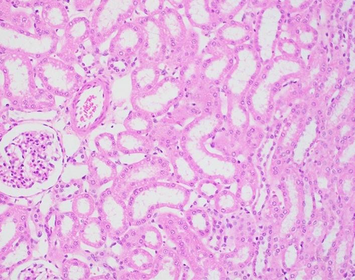
Exposure to high, marginally lethal doses or higher of ionizing radiation, either intentional or accidental, results in injury to various organs. Currently, there is only a limited number of safe and effective radiation countermeasures approved by US Food and Drug Administration for such injuries. These approved agents are effective for only the hematopoietic component of the acute radiation syndrome and must be administered only after the exposure event: currently, there is no FDA-approved agent that can be used prophylactically. The nutraceutical, gamma-tocotrienol (GT3) has been found to be a promising radioprotector of such exposure-related injuries, especially those of a hematopoietic nature, when tested in either rodents or nonhuman primates. We investigated the nature of injuries and the possible protective effects of GT3 within select organ systems/tissues caused by both non-lethal level (4.0 Gy), as well as potentially lethal level (5.8 Gy) of ionizing radiation, delivered as total-body or partial-body exposure. Results indicated that the most severe, dose-dependent injuries occurred within those organ systems with strong self-renewing capacities (e.g., the lymphohematopoietic and gastrointestinal systems), while in other tissues (e.g., liver, kidney, lung) endowed with less self-renewal, the pathologies noted tended to be less pronounced and less dependent on the level of exposure dose or on the applied exposure regimen. The prophylactic use of the test nutraceutical, GT3, appeared to limit the extent of irradiation-associated pathology within blood forming tissues and, to some extent, within the small intestine of the gastrointestinal tract. No distinct, global pattern of bodily protection was noted with the agent's use, although a hint of a possible radioprotective benefit was suggested not only by a lessening of apparent injury within select organ systems, but also by way of noting the lack of early onset of moribundity within select GT3-treated animals.
暴露于高剂量或稍高剂量的电离辐射,无论是故意还是意外,都会导致各种器官损伤。目前,美国食品和药物管理局仅批准了少数几种安全有效的辐射对策来治疗此类损伤。这些已批准的药物仅对急性辐射综合征的造血成分有效,并且必须在暴露事件后使用:目前,尚无经美国食品和药物管理局批准可用于预防的药物。营养保健品γ-生育三烯酚(GT3)已被发现是一种很有前途的辐射防护剂,可预防此类与辐射相关的损伤,尤其是造血性质的损伤,无论是在啮齿动物还是非人类灵长类动物中进行测试。我们研究了 GT3 在选择的器官系统/组织中对非致死剂量(4.0Gy)以及潜在致死剂量(5.8Gy)的电离辐射引起的损伤的性质和可能的保护作用,这些辐射通过全身或局部暴露进行传递。结果表明,在具有较强自我更新能力的器官系统(例如淋巴造血和胃肠道系统)中,最严重的、剂量依赖性损伤最为严重,而在其他组织(例如肝、肾、肺)中,自我更新能力较弱,所观察到的病变则不那么明显,并且与暴露剂量水平或所应用的暴露方案的关系较小。该测试营养保健品 GT3 的预防性使用似乎限制了辐照相关病理在造血组织中的程度,并在一定程度上限制了胃肠道中小肠中的程度。在使用该药物时,未观察到明显的全身保护模式,尽管不仅通过减少选定器官系统中明显的损伤,而且通过注意到在选定的 GT3 治疗动物中没有早期出现濒死状态,表明存在可能的辐射防护益处的暗示。