Suppr超能文献

CEUS 对 CT/MRI 检查中 HCC 风险患者的非典型性观察结果和中等恶性可能性观察结果的临床影响。

Clinical impact of CEUS on non-characterizable observations and observations with intermediate probability of malignancy on CT/MRI in patients at risk for HCC.

机构信息

Division of Gastroenterology and Hepatology, Department of Medicine, University of California, San Diego, La Jolla, CA, USA.

Division of Internal Medicine, Hepatobiliary and Immunoallergic Diseases, IRCCS Azienda Ospedaliero-Universitaria di Bologna, Bologna, Italy.

出版信息

Abdom Radiol (NY). 2024 Aug;49(8):2639-2649. doi: 10.1007/s00261-024-04305-9. Epub 2024 Jun 11.

Abstract

BACKGROUND

Hepatocellular carcinoma (HCC) is a unique cancer allowing tumor diagnosis with identification of definitive patterns of enhancement on contrast-enhanced imaging, avoiding invasive biopsy. However, it is still unclear to what extent Contrast-Enhanced Ultrasound (CEUS) is a clinically useful additional step when Computed tomography (CT) or Magnetic resonance imaging (MRI) are inconclusive.

METHODS

A prospective international multicenter validation study for CEUS Liver Imaging Reporting and Data System (LI-RADS) was conducted between January 2018 and August 2021. 646 patients at risk for HCC with focal liver lesions were enrolled. CEUS was performed using an intravenous ultrasound contrast agent within 4 weeks of CT/MRI. Liver nodules were categorized based on LI-RADS (LR) criteria. Histology or one-year follow-up CT/MRI imaging results were used as the reference standard. The diagnostic performance of CEUS was evaluated for inconclusive CT/MRI scan in two scenarios for which the AASLD recommends repeat imaging or imaging follow-up: observations deemed non-characterizable (LR-NC) or with indeterminate probability of malignancy (LR-3).

RESULTS

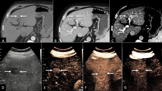
75 observations on CT or MRI were categorized as LR-3 (n = 54) or LR-NC (n = 21) CEUS recategorization of such observations into a different LR category (namely, into one among LR-1, LR-2, LR-5, LR-M, or LR-TIV) resulted in management recommendation changes in 33.3% (25/75) and in all but one (96.0%, 24/25) observation, the new management recommendations were correct.

CONCLUSION

CEUS LI-RADS resulted in management recommendations change in substantial number of liver observations with initial indeterminate CT/MRI characterization, identifying both non-malignant lesions and HCC, potentially accelerating the diagnostic process and alleviating the need for biopsy or follow-up imaging.

CLINICALTRIALS

gov number, NCT03318380.

摘要

背景

肝细胞癌 (HCC) 是一种独特的癌症,通过在对比增强成像中识别明确的增强模式即可诊断肿瘤,从而避免了侵入性活检。然而,在 CT 或 MRI 结果不确定的情况下,增强超声 (CEUS) 作为一种额外的临床有用手段的程度仍不清楚。

方法

2018 年 1 月至 2021 年 8 月期间,进行了一项针对 CEUS 肝脏成像报告和数据系统 (LI-RADS) 的前瞻性国际多中心验证研究。共纳入 646 例有 HCC 风险的局灶性肝病变患者。在 CT/MRI 检查后 4 周内使用静脉内超声造影剂进行 CEUS。根据 LI-RADS (LR) 标准对肝结节进行分类。以组织学或 1 年 CT/MRI 随访结果作为参考标准。对于 AASLD 建议重复成像或影像学随访的两种情况下的不确定 CT/MRI 扫描,评估 CEUS 的诊断性能:观察结果被认为是非特征性的 (LR-NC) 或恶性程度不确定的 (LR-3)。

结果

75 个 CT 或 MRI 观察结果被归类为 LR-3 (n=54) 或 LR-NC (n=21)。CEUS 重新分类为不同的 LR 类别(即 LR-1、LR-2、LR-5、LR-M 或 LR-TIV),结果导致 33.3%(25/75)的管理建议发生变化,且除 1 例外(96.0%,24/25),新的管理建议都是正确的。

结论

CEUS LI-RADS 导致初始 CT/MRI 特征不确定的大量肝观察结果的管理建议发生变化,既能识别出良性病变,也能识别出 HCC,可能会加速诊断过程,并减轻活检或随访成像的需求。

临床试验

gov 编号,NCT03318380。

https://cdn.ncbi.nlm.nih.gov/pmc/blobs/e78e/11300564/90e9a43ec39d/261_2024_4305_Fig1_HTML.jpg

文献AI研究员

20分钟写一篇综述,助力文献阅读效率提升50倍。

立即体验

用中文搜PubMed

大模型驱动的PubMed中文搜索引擎

马上搜索

文档翻译

学术文献翻译模型,支持多种主流文档格式。

立即体验