Suppr超能文献

非专业人员和正畸医生对上颌侧切牙和犬牙种植体支持的牙冠的美学评估。

Aesthetic assessment of maxillary lateral and canine implant-supported crowns by laypersons and orthodontists.

机构信息

Department of Pediatric Dentistry, Institute of Odontology, Sahlgrenska Academy, University of Gothenburg, Göteborg, Sweden.

Public Dental Service, Region Västra Götaland, Göteborg, Sweden.

出版信息

Acta Odontol Scand. 2024 Jun 12;83:362-370. doi: 10.2340/aos.v83.40738.

Abstract

INTRODUCTION

The objectives of this study were to evaluate how laypersons and orthodontists evaluate and rank aesthetic parameters of an implant-supported crown (ISC) on the canine position (ISC-C) and lateral position (ISC-L).

METHODS

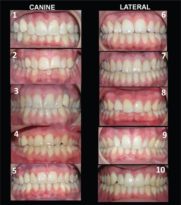
A digital survey of 11 cases, 5 ISC-C, 5 ISC-L and 1 control case without ISC, was distributed to 207 laypersons and 296 orthodontists. All cases included one extraoral photograph and three intraoral photographs. The respondents were asked to identify the ISC and to evaluate the aesthetic parameters regarding colour of the implant (CI), shape of the implant (SI) and gingival colour around ISC (GCI). Differences within and between the groups were tested using Chi-2-test and Independent-Samples t-test.

RESULTS

All invited laypersons and 184 orthodontists (62% response rate) answered the survey. Orthodontists (89%) more correctly identified the ISC, regardless of its position, than laypersons (50%) (p < 0.001). Both laypersons (54%) and orthodontists (23%) rated higher proportions of acceptance of CI, SI and GCI in favour for the ISC-L than ISC-C (laypersons: 40%, orthodontists: 10%) (p < 0.001). Assessing each parameter separately, orthodontists rated higher for ISC-L, compared to the ISC-C (p < 0.001). In general, laypersons and orthodontist ranked tooth colour (mean, standard deviation [SD]:8.0,1.5 and 9.0, 1.0) and tooth shape (mean, SD: 8.0, 1.7 and 8.8, 1.2) as aesthetically higher than the gingival colour (mean, SD: 7.2, 2.2 and 8.0, 1.7) (p > 0.001).  Conclusion: Laypersons and orthodontists consider the ISC-L as aesthetically more preferable, compared to the ISC-C.

摘要

简介

本研究的目的是评估非专业人士和正畸医生如何评估和排列种植体支持的牙冠(ISC)在犬齿位置(ISC-C)和侧位(ISC-L)的美学参数。

方法

向 207 名非专业人士和 296 名正畸医生分发了 11 例病例的数字调查,其中 5 例为 ISC-C,5 例为 ISC-L,1 例为无 ISC 的对照病例。所有病例均包括一张口外照片和三张口内照片。要求受访者识别 ISC,并评估与种植体颜色(CI)、种植体形状(SI)和 ISC 周围牙龈颜色(GCI)有关的美学参数。使用卡方检验和独立样本 t 检验对组内和组间的差异进行检验。

结果

所有受邀的非专业人士和 184 名正畸医生(62%的回复率)都回答了调查。正畸医生(89%)比非专业人士(50%)更正确地识别了 ISC,无论其位置如何(p<0.001)。非专业人士(54%)和正畸医生(23%)对 ISC-L 的 CI、SI 和 GCI 的接受度评价更高,而对 ISC-C 的评价较低(非专业人士:40%,正畸医生:10%)(p<0.001)。分别评估每个参数时,正畸医生对 ISC-L 的评价高于 ISC-C(p<0.001)。一般来说,非专业人士和正畸医生将牙齿颜色(平均值,标准差[SD]:8.0,1.5 和 9.0,1.0)和牙齿形状(平均值,SD:8.0,1.7 和 8.8,1.2)评为比牙龈颜色(平均值,SD:7.2,2.2 和 8.0,1.7)更美观(p>0.001)。结论:非专业人士和正畸医生认为 ISC-L 比 ISC-C 更美观。

https://cdn.ncbi.nlm.nih.gov/pmc/blobs/03b7/11302503/86820e97e73b/AOS-83-40738-g001.jpg

文献检索

告别复杂PubMed语法,用中文像聊天一样搜索,搜遍4000万医学文献。AI智能推荐,让科研检索更轻松。

立即免费搜索

文件翻译

保留排版,准确专业,支持PDF/Word/PPT等文件格式,支持 12+语言互译。

免费翻译文档

深度研究

AI帮你快速写综述,25分钟生成高质量综述,智能提取关键信息,辅助科研写作。

立即免费体验