Suppr超能文献

累及大脑镰和上矢状窦的罗萨伊-多夫曼病的放射治疗结果:1例罕见病例报告及长期随访

Radiotherapeutic outcomes of Rosai-Dorfman disease with falx cerebri and superior sagittal sinus involvement: A rare case report with long-term follow-up.

作者信息

Nasrollahi Hamid, Andalibi Susan, Ansari Mansour, Mokhtari Maral, Hosseini Ehsan Mohammad, Foroughi Mina, Sourani Arman

机构信息

Department of Radiation Oncology Shiraz University of Medical Sciences Shiraz Iran.

Department of Pathology Shiraz University of Medical Sciences Shiraz Iran.

出版信息

Clin Case Rep. 2024 Jun 11;12(6):e9053. doi: 10.1002/ccr3.9053. eCollection 2024 Jun.

Abstract

KEY CLINICAL MESSAGE

Intracranial RDD is rare medical event mimicking different diagnoses. Although the surgical resection is the best treatment option, but radiation therapy can also achieves long-term suboptimal outcomes.

ABSTRACT

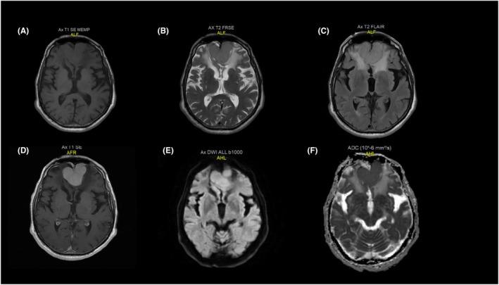
An 83-year-old male with a history of tension-type headaches was evaluated. He was conscious with no focal neurological deficits. His brain MRI revealed an enhancable bifrontal tumor originating from falx cerebri and superior sagittal sinus dura. Due to the patient's preference and decline for gross total resection, she underwent a stereotactic biopsy. The pathology was positive for Rosai-Dorfman diseases. He received definitive targeted radiation with a total dose of 4500 cGy administered in 200 cGy daily fractions. His 4-year follow-up showed regional tumor control with excellent neurological outcome.

摘要

关键临床信息

颅内罗萨伊-多夫曼病(RDD)是一种罕见的医学事件,可模拟不同诊断。虽然手术切除是最佳治疗选择,但放射治疗也可取得长期次优结果。

摘要

对一名有紧张型头痛病史的83岁男性进行了评估。他意识清醒,无局灶性神经功能缺损。他的脑部MRI显示一个可强化的双额叶肿瘤,起源于大脑镰和上矢状窦硬脑膜。由于患者偏好并拒绝全切除,她接受了立体定向活检。病理结果显示罗萨伊-多夫曼病阳性。他接受了总剂量为4500 cGy的确定性靶向放疗,每日分次给予200 cGy。他的4年随访显示局部肿瘤得到控制,神经功能结果良好。

https://cdn.ncbi.nlm.nih.gov/pmc/blobs/c6f9/11166549/77c7006a6a47/CCR3-12-e9053-g001.jpg

文献AI研究员

20分钟写一篇综述,助力文献阅读效率提升50倍。

立即体验

用中文搜PubMed

大模型驱动的PubMed中文搜索引擎

马上搜索

文档翻译

学术文献翻译模型,支持多种主流文档格式。

立即体验