Suppr超能文献

一名患有重复小脑上动脉的多发性硬化症患者并发缺血性中风:来自沙特阿拉伯的病例报告。

An Uncommon Coexistence of Ischemic Stroke in a Multiple Sclerosis Patient With Duplicated Superior Cerebellar Artery: A Case Report From Saudi Arabia.

作者信息

AlQahtani Bashaier G, Kajtazi Naim, Aljaidi Hanan K, Alhatlany Khawlah

机构信息

Neurology Department, Prince Sultan Military Medical City, Riyadh, SAU.

出版信息

Cureus. 2024 May 13;16(5):e60218. doi: 10.7759/cureus.60218. eCollection 2024 May.

Abstract

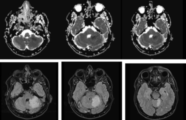
The case describes a middle-aged man with well-managed multiple sclerosis who experienced an acute ischemic stroke attributed to a rare anatomical variant - a duplicated left superior cerebellar artery (SCA). Despite his prior lack of neurological issues, the patient presented with severe headaches and walking difficulties. Imaging confirmed the ischemic stroke in the left SCA territory and revealed the duplicated left SCA. This case highlights the importance of considering cerebrovascular anatomy in stroke risk assessment, especially in individuals with unique vascular features such as duplicated SCAs, which can predispose to vascular complications.

摘要

该病例描述了一名患有多发性硬化症且病情得到良好控制的中年男性,他经历了一次急性缺血性中风,病因是一种罕见的解剖变异——左侧小脑上动脉(SCA)重复。尽管患者此前没有神经系统问题,但此次出现了严重头痛和行走困难。影像学检查证实左侧SCA区域发生了缺血性中风,并发现了左侧SCA重复。该病例强调了在中风风险评估中考虑脑血管解剖结构的重要性,尤其是在具有独特血管特征(如SCA重复)的个体中,这种特征可能易引发血管并发症。

https://cdn.ncbi.nlm.nih.gov/pmc/blobs/70dd/11168737/5a2ab823450e/cureus-0016-00000060218-i01.jpg

文献AI研究员

20分钟写一篇综述,助力文献阅读效率提升50倍。

立即体验

用中文搜PubMed

大模型驱动的PubMed中文搜索引擎

马上搜索

文档翻译

学术文献翻译模型,支持多种主流文档格式。

立即体验