Suppr超能文献

计算机断层扫描在腹壁疝评估中的价值——valsalva 动作的价值如何?

Computed tomography for evaluation of abdominal wall hernias-what is the value of the Valsalva maneuver?

机构信息

Institute of Diagnostic and Interventional Radiology, University Hospital Zurich, University of Zurich, Zurich, Switzerland.

Department of Visceral and Transplantation Surgery, University Hospital of Zurich, Zurich, Switzerland.

出版信息

Hernia. 2024 Oct;28(5):1709-1718. doi: 10.1007/s10029-024-03036-6. Epub 2024 Jun 14.

Abstract

PURPOSE

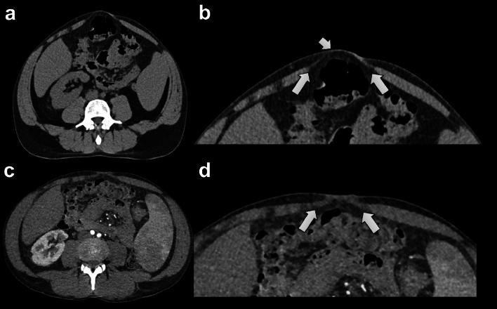
To investigate the differences in the visibility and size of abdominal wall hernias in computed tomography (CT) with and without Valsalva maneuver.

METHODS

This single-center retrospective study included consecutive patients who underwent abdominal CTs with Valsalva maneuver between January 2018 and January 2022. Inclusion criteria was availability of an additional non-Valsalva CT within 6 months. A combined reference standard including clinical and surgical findings was used. Two independent, blinded radiologists measured the hernia sac size and rated hernia visibility on CTs with and without Valsalva. Differences were tested with a Wilcoxon signed rank test and McNemar's test.

RESULTS

The final population included 95 patients (16 women; mean age 46 ± 11.6 years) with 205 hernias. Median hernia sac size on Valsalva CT was 31 mm compared with 24 mm on non-Valsalva CT (p < 0.001). In 73 and 82% of cases, the hernias were better visible on CT with Valsalva as compared to that without. 14 and 17% of hernias were only visible on the Valsalva CT. Hernia visibility on non-Valsalva CT varied according to subtype, with only 0 and 3% of umbilical hernias not being visible compared with 43% of femoral hernias.

CONCLUSIONS

Abdominal wall hernias are larger and better visible on Valsalva CT compared with non-Valsalva CT in a significant proportion of patients and some hernias are only visible on the Valsalva CT. Therefore, this method should be preferred for the evaluation of abdominal wall hernias.

摘要

目的

研究在有和没有瓦尔萨尔瓦动作(Valsalva maneuver)的情况下,计算机断层扫描(CT)中腹壁疝的可见度和大小的差异。

方法

这是一项单中心回顾性研究,纳入了 2018 年 1 月至 2022 年 1 月期间接受过带有瓦尔萨尔瓦动作的腹部 CT 检查的连续患者。纳入标准为在 6 个月内有额外的非瓦尔萨尔瓦 CT 检查。使用包括临床和手术发现的综合参考标准。两位独立的、盲法的放射科医生在有和没有瓦尔萨尔瓦动作的 CT 上测量疝囊大小并对疝的可见度进行评级。使用 Wilcoxon 符号秩检验和 McNemar 检验测试差异。

结果

最终的研究人群包括 95 名患者(16 名女性;平均年龄 46 ± 11.6 岁),共有 205 个疝。在瓦尔萨尔瓦 CT 上,疝囊的中位数大小为 31mm,而非瓦尔萨尔瓦 CT 上为 24mm(p < 0.001)。与非瓦尔萨尔瓦 CT 相比,在 73%和 82%的情况下,疝在带有瓦尔萨尔瓦动作的 CT 上更好可见。14%和 17%的疝仅在瓦尔萨尔瓦 CT 上可见。非瓦尔萨尔瓦 CT 上的疝可见度根据亚型而有所不同,只有 0%和 3%的脐疝不可见,而 43%的股疝不可见。

结论

在很大一部分患者中,与非瓦尔萨尔瓦 CT 相比,腹壁疝在带有瓦尔萨尔瓦动作的 CT 上更大且更可见,一些疝仅在瓦尔萨尔瓦 CT 上可见。因此,这种方法应优先用于评估腹壁疝。

https://cdn.ncbi.nlm.nih.gov/pmc/blobs/36c3/11449955/9665ac08da64/10029_2024_3036_Fig1_HTML.jpg

文献AI研究员

20分钟写一篇综述,助力文献阅读效率提升50倍。

立即体验

用中文搜PubMed

大模型驱动的PubMed中文搜索引擎

马上搜索

文档翻译

学术文献翻译模型,支持多种主流文档格式。

立即体验