Suppr超能文献

胰腺实性假乳头状肿瘤与神经内分泌肿瘤的影像学鉴别

Imaging differentiation of solid pseudopapillary neoplasms and neuroendocrine neoplasms of the pancreas.

作者信息

Khristenko Ekaterina, Gaida Matthias M, Tjaden Christine, Steinle Verena, Loos Martin, Krieger Korbinian, Weber Tim F, Kauczor Hans-Ulrich, Klauß Miriam, Mayer Philipp

机构信息

Clinic for Diagnostic and Interventional Radiology, Heidelberg University Hospital, Heidelberg 69120, Germany.

Institute of Pathology, University Medical Center Mainz, JGU-Mainz, Mainz 55131, Germany.

出版信息

Eur J Radiol Open. 2024 May 31;12:100576. doi: 10.1016/j.ejro.2024.100576. eCollection 2024 Jun.

Abstract

PURPOSE

The present study aimed to compare the computed tomography (CT) and magnetic resonance imaging (MRI) features of solid pseudopapillary neoplasms (SPNs) and pancreatic neuroendocrine neoplasms (pNENs).

METHOD

Lesion imaging features of 39 patients with SPNs and 127 patients with pNENs were retrospectively extracted from 104 CT and 91 MRI scans.

RESULTS

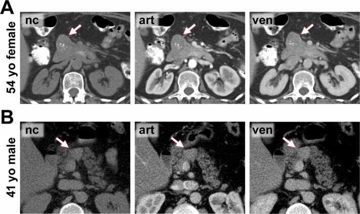
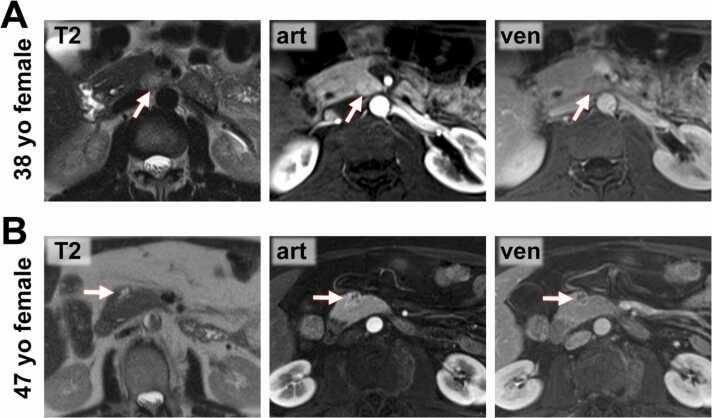
Compared to pNEN patients, SPN patients were significantly younger (mean age 51.8 yrs versus 32.7 yrs) and more often female (female: male ratio, 5.50:1 versus 1.19:1). Most SPNs and pNENs presented as well-defined lesions with an expansive growth pattern. SPNs more often appeared as round or ovoid lesions, compared to pNENs which showed a lobulated or irregular shape in more than half of cases (p<0.01). A surrounding capsule was detected in the majority of SPNs, but only in a minority of pNENs (<0.01). Hemorrhage occurred non-significantly more often in SPNs (p=0.09). Signal inhomogeneity in T1-fat-saturated (p<0.01) and T2-weighted imaging (p=0.046) as well as cystic degeneration (p<0.01) were more often observed in SPNs. Hyperenhancement in the arterial and portal-venous phase was more common in pNENs (p<0.01). Enlargement of locoregional lymph nodes (p<0.01) and liver metastases (p=0.03) were observed in some pNEN patients, but not in SPN patients. Multivariate logistic regression identified the presence of a capsule (p<0.01), absence of arterial hyperenhancement (p<0.01), and low patient age (p<0.01), as independent predictors for SPN.

CONCLUSIONS

The present study provides three key features for differentiating SPNs from pNENs extracted from a large patient cohort: presence of a capsule, absence of arterial hyperenhancement, and low patient age.

摘要

目的

本研究旨在比较实性假乳头状肿瘤(SPN)和胰腺神经内分泌肿瘤(pNEN)的计算机断层扫描(CT)和磁共振成像(MRI)特征。

方法

回顾性提取了104例CT扫描和91例MRI扫描中39例SPN患者和127例pNEN患者的病变影像特征。

结果

与pNEN患者相比,SPN患者明显更年轻(平均年龄51.8岁对32.7岁),且女性更为常见(女性与男性比例为5.50:1对1.19:1)。大多数SPN和pNEN表现为边界清晰的病变,呈膨胀性生长模式。与pNEN相比,SPN更常表现为圆形或椭圆形病变,而pNEN在超过一半的病例中呈分叶状或不规则形状(p<0.01)。大多数SPN可检测到周围包膜,但pNEN中只有少数有包膜(p<0.01)。SPN中出血的发生率略高,但无统计学意义(p=0.09)。在SPN中更常观察到T1脂肪饱和成像(p<0.01)和T2加权成像(p=0.046)中的信号不均匀以及囊性变(p<0.01)。pNEN在动脉期和门静脉期的强化更常见(p<0.01)。部分pNEN患者观察到局部区域淋巴结肿大(p<0.01)和肝转移(p=0.03),但SPN患者未出现。多因素逻辑回归分析确定包膜的存在(p<0.01)、无动脉期强化(p<0.01)和患者年龄较小(p<0.01)是SPN的独立预测因素。

结论

本研究从大量患者队列中提取了区分SPN和pNEN的三个关键特征:包膜的存在、无动脉期强化和患者年龄较小。

https://cdn.ncbi.nlm.nih.gov/pmc/blobs/355f/11176946/2c0ed5357caa/ga1.jpg

文献AI研究员

20分钟写一篇综述,助力文献阅读效率提升50倍。

立即体验

用中文搜PubMed

大模型驱动的PubMed中文搜索引擎

马上搜索

文档翻译

学术文献翻译模型,支持多种主流文档格式。

立即体验