Histology Department, "George Emil Palade" University of Medicine, Pharmacy, Science and Technology of Targu Mures, 540142 Targu Mures, Romania.
Pathology Department, Mures Clinical County Hospital, 540011 Targu Mures, Romania.
Int J Mol Sci. 2024 May 30;25(11):5982. doi: 10.3390/ijms25115982.
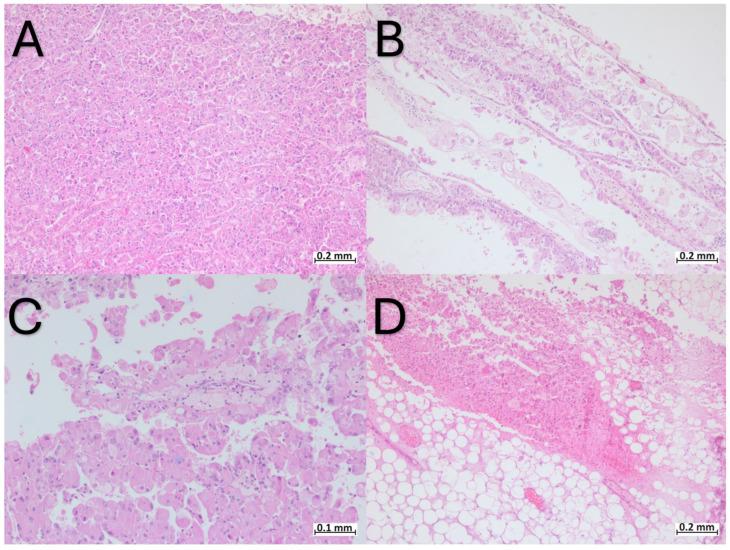
Eosinophilic solid and cystic renal cell carcinoma (ESC-RCC) is a novel and uncommon type of renal cell carcinoma, which has been recently recognized and introduced as a distinct entity in the WHO 2022 kidney tumor classification. Previously known as "unclassified RCC", followed by "tuberous sclerosis complex (TSC)-associated RCC", ESC-RCC is now a distinct category of kidney tumor, with its own name, with specific clinical manifestations, and a unique morphological, immunohistochemical and molecular profile. Due to its recent introduction and the limited available data, the diagnosis of ESC-RCC is still a complex challenge, and it is probably frequently misdiagnosed. The secret of diagnosing this tumor lies in the pathologists' knowledge, and keeping it up to date through research, thereby limiting the use of outdated nomenclature. The aim of our case-based review is to provide a better understanding of this pathology and to enrich the literature with a new case report, which has some particularities compared to the existing cases.
嗜酸性实囊性肾细胞癌(ESC-RCC)是一种新型且不常见的肾细胞癌,最近在 2022 年世界卫生组织(WHO)肾脏肿瘤分类中被确认为一种独特的实体。ESC-RCC 以前被称为“未分类肾细胞癌”,随后是“结节性硬化症(TSC)相关肾细胞癌”,现在是一种独特的肾脏肿瘤类别,有其自己的名称、特定的临床表现和独特的形态、免疫组织化学和分子特征。由于其最近的引入和可用数据有限,ESC-RCC 的诊断仍然是一个复杂的挑战,并且可能经常被误诊。诊断这种肿瘤的关键在于病理学家的知识,通过研究不断更新,从而限制使用过时的命名法。我们基于病例的回顾旨在更好地理解这种病理学,并通过新的病例报告丰富文献,与现有病例相比,该报告具有一些特殊性。