Suppr超能文献

姜黄素作为一种减轻一氧化碳中毒的潜在治疗剂:来自实验大鼠研究的证据。

Curcumin as a Potential Therapeutic Agent for Mitigating Carbon Monoxide Poisoning: Evidence from an Experimental Rat Study.

机构信息

Department of Anesthesiology and Reanimation, Faculty of Medicine, Hitit University, Çorum, Turkey.

Department of Histology and Embryology, Faculty of Medicine, Hitit University, Çorum, Turkey.

出版信息

Med Sci Monit. 2024 Jun 19;30:e943739. doi: 10.12659/MSM.943739.

Abstract

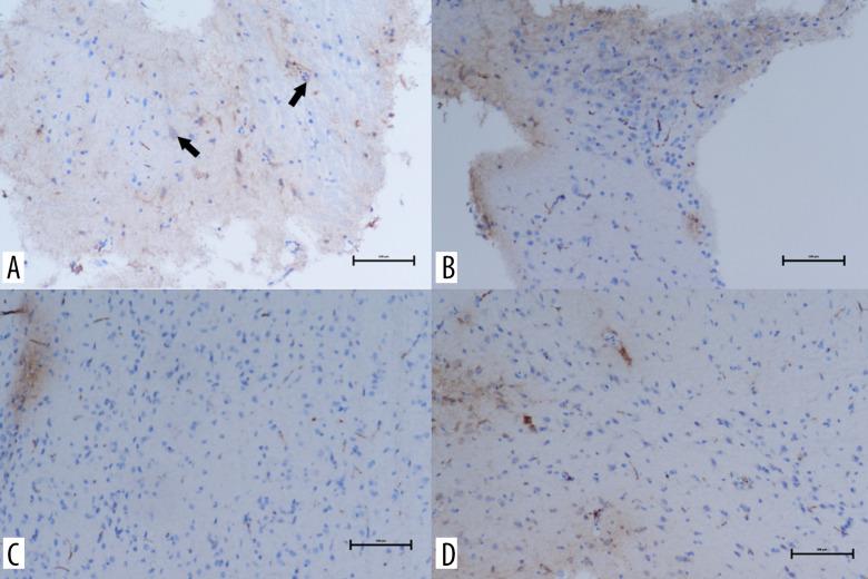
BACKGROUND Carbon monoxide (CO) is a poisonous gas and causes tissue damage through oxidative stress. We aimed to investigate the protective value of curcumin in CO poisoning. MATERIAL AND METHODS Twenty-four female Spraque Dawley rats were divided into 4 subgroups: controls (n=6), curcumin group (n=6), CO group (n=6), and curcumin+CO group (n=6). The experimental group was exposed to 3 L/min of CO gas at 3000 ppm. Curcumin was administered intraperitoneally at a dosage of 50 mg/kg. Hippocampal tissues were removed and separated for biochemical and immunohistochemical analysis. Tissue malondialdehyde (MDA) levels, nitric oxide (NO) levels, and superoxide dismutase (SOD) and catalase (CAT) activities were assayed spectrophotometrically, and serum asymmetric dimethylarginine (ADMA) were measured using the ELISA technique. Tissue Bcl-2 levels were detected by the immunohistochemistry method. RESULTS Tissue CAT and SOD activities and NO levels were significantly lower, and MDA and serum ADMA levels were higher in the CO group than in the control group (P<0.001). The curcumin+CO group had higher CAT activities (P=0.007) and lower MDA than the CO group (P<0.001) and higher ADMA levels than the control group (P=0.023). However, there was no significant difference observed for tissue SOD activity or NO levels between these 2 groups. In the curcumin+CO group, the Bcl-2 level was higher than that in the CO group (P=0.017). CONCLUSIONS The positive effect of curcumin on CAT activities, together with suppression of MDA levels, has shown that curcumin may have a protective effect against CO poisoning.

摘要

背景

一氧化碳(CO)是一种有毒气体,通过氧化应激导致组织损伤。我们旨在研究姜黄素在 CO 中毒中的保护价值。

材料与方法

将 24 只雌性 Spraque Dawley 大鼠分为 4 组:对照组(n=6)、姜黄素组(n=6)、CO 组(n=6)和姜黄素+CO 组(n=6)。实验组暴露于 3000ppm 的 3L/min CO 气体中。姜黄素以 50mg/kg 的剂量腹腔给药。取出海马组织进行生化和免疫组织化学分析。分光光度法测定组织丙二醛(MDA)水平、一氧化氮(NO)水平以及超氧化物歧化酶(SOD)和过氧化氢酶(CAT)活性,酶联免疫吸附试验(ELISA)技术测定血清不对称二甲基精氨酸(ADMA)。免疫组织化学法检测组织 Bcl-2 水平。

结果

CO 组组织 CAT 和 SOD 活性及 NO 水平明显降低,MDA 和血清 ADMA 水平明显高于对照组(P<0.001)。姜黄素+CO 组 CAT 活性(P=0.007)高于 CO 组(P<0.001),MDA 低于 CO 组(P<0.001),ADMA 水平高于对照组(P=0.023)。然而,两组之间组织 SOD 活性或 NO 水平无显著差异。在姜黄素+CO 组中,Bcl-2 水平高于 CO 组(P=0.017)。

结论

姜黄素对 CAT 活性的积极作用以及 MDA 水平的抑制表明,姜黄素可能对 CO 中毒具有保护作用。

https://cdn.ncbi.nlm.nih.gov/pmc/blobs/9552/11305075/cd93d1cf39a2/medscimonit-30-e943739-g001.jpg

文献检索

告别复杂PubMed语法,用中文像聊天一样搜索,搜遍4000万医学文献。AI智能推荐,让科研检索更轻松。

立即免费搜索

文件翻译

保留排版,准确专业,支持PDF/Word/PPT等文件格式,支持 12+语言互译。

免费翻译文档

深度研究

AI帮你快速写综述,25分钟生成高质量综述,智能提取关键信息,辅助科研写作。

立即免费体验