Suppr超能文献

一例罕见的播散性鼻孢子虫病,酷似结核病。

A rare case of disseminated rhinosporidiosis mimicking tuberculosis.

作者信息

Ahmad Mohamad Firdaus, Samri Shafora Bibi, Ahmed Wan Aireene Wan, Jalil Nur Asyilla Che, Sapiai Nur Asma

机构信息

Department of Radiology, School of Medical Sciences, Universiti Sains Malaysia, Health Campus, Kubang Kerian, Kelantan, Malaysia.

Hospital Universiti Sains Malaysia, Universiti Sains Malaysia, Health Campus, Jalan Raja Perempuan Zainab 2, 16150 Kota Bharu, Kelantan, Malaysia.

出版信息

IDCases. 2024 Jun 5;36:e02009. doi: 10.1016/j.idcr.2024.e02009. eCollection 2024.

Abstract

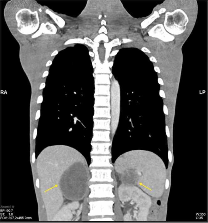
Rhinosporidiosis is one of the granulomatous diseases endemic in Asia, Africa, and Europe, with Southern India and Sri Lanka having the greatest prevalence rates. It is typically understood to affect the upper respiratory system. Involvement of the lungs beyond the trachea is infrequent as compared to the upper respiratory tract. We revealed an uncommon case of disseminated rhinosporidiosis in a diabetic patient, who initially presented with shortness of breath associated with cough and fever. Two months prior to these symptoms, he was having oral ulcer and dysphagia and, subsequently, loss of weight. Chest radiograph and CT thorax revealed military nodules with multiple suppurative neck and mediastinal lymphadenopathy and bilateral adrenal lesions. He was initially investigated for tuberculosis, metastatic malignancy, or lymphangitic carcinomatosis before a biopsy revealed Rhinosporidiosis. Hence, histopathological or laboratory evidence is frequently crucial to back up imaging concerns so the appropriate treatment can be given.

摘要

鼻孢子虫病是一种在亚洲、非洲和欧洲流行的肉芽肿性疾病,印度南部和斯里兰卡的患病率最高。通常认为它会影响上呼吸道系统。与上呼吸道相比,气管以外的肺部受累情况并不常见。我们报告了一例糖尿病患者罕见的播散性鼻孢子虫病病例,该患者最初表现为伴有咳嗽和发热的呼吸急促。在出现这些症状的两个月前,他有口腔溃疡和吞咽困难,随后体重减轻。胸部X光片和胸部CT显示粟粒状结节,伴有多个化脓性颈部和纵隔淋巴结肿大以及双侧肾上腺病变。在活检显示为鼻孢子虫病之前,他最初被怀疑患有结核病、转移性恶性肿瘤或淋巴管癌病。因此,组织病理学或实验室证据对于支持影像学诊断至关重要,以便能够给予适当的治疗。

https://cdn.ncbi.nlm.nih.gov/pmc/blobs/0cc2/11214292/5f5843960aab/gr1.jpg

文献AI研究员

20分钟写一篇综述,助力文献阅读效率提升50倍。

立即体验

用中文搜PubMed

大模型驱动的PubMed中文搜索引擎

马上搜索

文档翻译

学术文献翻译模型,支持多种主流文档格式。

立即体验