Suppr超能文献

胸锁乳突肌囊尾蚴病的罕见表现。

A Rare Presentation of Cysticercosis in the Sternocleidomastoid Muscle.

作者信息

Goyal Akshita, Kalra Yash, Babu Manu, Ingale Mayur, Chavan Paresh

机构信息

Department of Otolaryngology, Head and Neck Surgery, Dr. D. Y. Patil Medical College and Hospital, Dr. D. Y. Patil Vidyapeeth, Pimpri, Pune, IND.

出版信息

Cureus. 2024 May 28;16(5):e61275. doi: 10.7759/cureus.61275. eCollection 2024 May.

Abstract

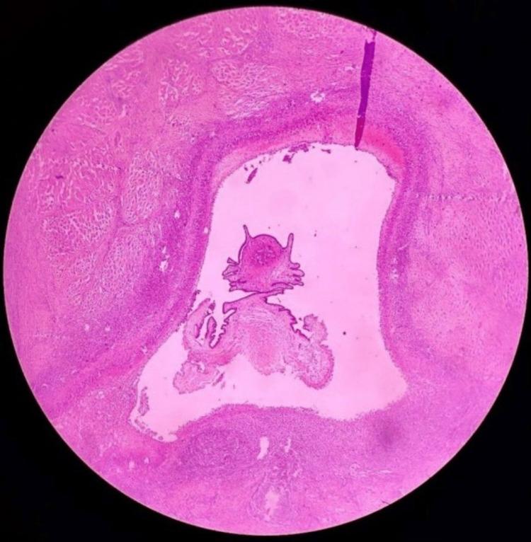
Cysticercosis is a rare condition associated with the development of cysticercus (larval form) of Taenia solium (pork tapeworm), within an intermediate host. Accidental ingestion of infectious eggs is most likely the cause of humans becoming intermediate hosts. The most common site for larval cysts is the central nervous system followed by vitreous humor of the eye, striated muscle, and, in rare cases, subcutaneous and other tissues. Isolated muscular involvement with nonspecific symptoms makes this condition challenging to diagnose. We present an unusual case of cysticercus in the sternocleidomastoid muscle diagnosed with ultrasonography and contrast-enhanced scans, which was subsequently treated with surgical excision and a short course of anthelmintics.

摘要

囊尾蚴病是一种罕见疾病,与猪带绦虫(猪肉绦虫)的囊尾蚴(幼虫形式)在中间宿主体内发育有关。意外摄入感染性虫卵很可能是人类成为中间宿主的原因。幼虫囊肿最常见的部位是中枢神经系统,其次是眼玻璃体液、横纹肌,在罕见情况下还有皮下组织和其他组织。孤立的肌肉受累伴非特异性症状使得这种疾病的诊断具有挑战性。我们报告一例罕见的胸锁乳突肌囊尾蚴病例,通过超声检查和增强扫描得以诊断,随后接受了手术切除和短期驱虫治疗。

https://cdn.ncbi.nlm.nih.gov/pmc/blobs/08d1/11211646/6b701e322179/cureus-0016-00000061275-i01.jpg

相似文献

1
A Rare Presentation of Cysticercosis in the Sternocleidomastoid Muscle.
Cureus. 2024 May 28;16(5):e61275. doi: 10.7759/cureus.61275. eCollection 2024 May.
2
Isolated Myocysticercosis.
J Assoc Physicians India. 2016 Mar;64(3):94-95.
3
Lacrimal sac cysticercosis: a rare site for manifestation.
Case Rep Ophthalmol Med. 2014;2014:961815. doi: 10.1155/2014/961815. Epub 2014 Nov 13.
4
Myocysticercosis as a Rare Cause of Hand Swelling involving Thenar Group of Muscles: A Case Report.
JNMA J Nepal Med Assoc. 2020 Jul 31;58(228):618-620. doi: 10.31729/jnma.5101.
5
Isolated Cysticercosis of Sternocleidomastoid Muscle: Role of Ultrasonography.
Case Rep Infect Dis. 2021 Sep 28;2021:7102416. doi: 10.1155/2021/7102416. eCollection 2021.
6
Ultrasonography Guided Excision of Isolated Cysticercosis of the Temporalis Muscle Causing Intractable Headache: A Rare Case Report.
Indian J Otolaryngol Head Neck Surg. 2016 Sep;68(3):387-90. doi: 10.1007/s12070-015-0933-5. Epub 2015 Dec 10.
7
An Interesting Case Report on a Myocysticercosis Cyst.
Cureus. 2024 Apr 24;16(4):e58884. doi: 10.7759/cureus.58884. eCollection 2024 Apr.
8
It's Even Here! Two Rare Cases of Pyriformis Myocysticercus.
JNMA J Nepal Med Assoc. 2016 Jul-Sep;55(203):29-32.
9
Isolated intramuscular cysticercosis: a case report.
Malays J Med Sci. 2015 Mar-Apr;22(2):65-8.
10
Ocular myocysticercosis: an unusual case of ptosis.
Nepal J Ophthalmol. 2013 Jul-Dec;5(2):279-81. doi: 10.3126/nepjoph.v5i2.8745.

引用本文的文献

1
Diagnosis and management of a rare case of isolated myocysticercosis of biceps brachii muscle: a case report.
Ann Med Surg (Lond). 2025 Mar 7;87(5):2992-2995. doi: 10.1097/MS9.0000000000003088. eCollection 2025 May.

本文引用的文献

1
An Interesting Case Report on a Myocysticercosis Cyst.
Cureus. 2024 Apr 24;16(4):e58884. doi: 10.7759/cureus.58884. eCollection 2024 Apr.
2
Isolated Myocysticercosis of Pectoralis Major: A Rare Case.
Cureus. 2024 Mar 1;16(3):e55320. doi: 10.7759/cureus.55320. eCollection 2024 Mar.
3
Myocysticercosis as a Rare Cause of Hand Swelling involving Thenar Group of Muscles: A Case Report.
JNMA J Nepal Med Assoc. 2020 Jul 31;58(228):618-620. doi: 10.31729/jnma.5101.
4
Solitary myocysticercosis of masseter muscle: A rare presentation.
Natl J Maxillofac Surg. 2018 Jul-Dec;9(2):229-231. doi: 10.4103/njms.NJMS_18_18.
5
It's Even Here! Two Rare Cases of Pyriformis Myocysticercus.
JNMA J Nepal Med Assoc. 2016 Jul-Sep;55(203):29-32.
6
Ocular myocysticercosis: favorable outcomes with early diagnosis and appropriate therapy.
Nepal J Ophthalmol. 2012 Jul-Dec;4(2):315-8. doi: 10.3126/nepjoph.v4i2.6551.

文献AI研究员

20分钟写一篇综述,助力文献阅读效率提升50倍。

立即体验

用中文搜PubMed

大模型驱动的PubMed中文搜索引擎

马上搜索

文档翻译

学术文献翻译模型,支持多种主流文档格式。

立即体验