Suppr超能文献

暴发性单纯疱疹病毒性脑炎辅助性皮质类固醇治疗的见解:对比结果的病例分析

Insights into adjunctive corticosteroid therapy in fulminant herpes simplex virus encephalitis: case analysis with contrasting outcomes.

作者信息

Algahtani Hussein, Shirah Bader, Jamaluddin Hussam A, Abdelghaffar Nawal

机构信息

Neurology Section, Department of Medicine, Aseer Central Hospital, Abha, Saudi Arabia.

Department of Neuroscience, King Faisal Specialist Hospital & Research Centre, Jeddah, Saudi Arabia.

出版信息

Encephalitis. 2024 Jul;4(3):62-68. doi: 10.47936/encephalitis.2024.00031. Epub 2024 Jul 10.

Abstract

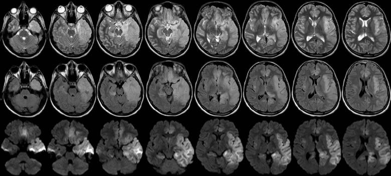
Herpes simplex virus (HSV) encephalitis, predominantly caused by HSV-1, presents with significant morbidity and mortality challenges. This research investigates the particular role of adjunctive corticosteroid therapy in fulminant HSV encephalitis through in-depth analyses of two contrasting cases. Corticosteroids show potential benefits to improve an exaggerated immune response and limit viral dissemination within the brain. Daily assessments and frequent neuroimaging, particularly using magnetic resonance imaging, aid in the management of fulminant cases. Although existing evidence relies on limited case series and retrospective comparisons, the results of the present study emphasize the necessity for large-scale controlled trials to establish definitive guidelines. The discretion of the treating neurologist governs the decision to implement corticosteroids, emphasizing the imperative need for continued research and evidence-based strategies for this challenging neurological condition.

摘要

单纯疱疹病毒(HSV)脑炎主要由HSV-1引起,带来了显著的发病率和死亡率挑战。本研究通过对两个对比病例的深入分析,探讨辅助性皮质类固醇疗法在暴发性HSV脑炎中的特殊作用。皮质类固醇显示出潜在益处,可改善过度的免疫反应并限制病毒在脑内传播。每日评估和频繁的神经影像学检查,尤其是使用磁共振成像,有助于暴发性病例的管理。尽管现有证据依赖于有限的病例系列和回顾性比较,但本研究结果强调了进行大规模对照试验以制定明确指南的必要性。治疗神经科医生的判断决定了是否使用皮质类固醇,这凸显了针对这种具有挑战性的神经系统疾病持续开展研究和采用循证策略的迫切需求。

https://cdn.ncbi.nlm.nih.gov/pmc/blobs/f474/11237186/46931cf4b536/encephalitis-2024-00031f1.jpg

文献AI研究员

20分钟写一篇综述,助力文献阅读效率提升50倍。

立即体验

用中文搜PubMed

大模型驱动的PubMed中文搜索引擎

马上搜索

文档翻译

学术文献翻译模型,支持多种主流文档格式。

立即体验