• 文献检索
  • 文档翻译
  • 深度研究
  • 学术资讯
  • Suppr Zotero 插件Zotero 插件
  • 邀请有礼
  • 套餐&价格
  • 历史记录
应用&插件
Suppr Zotero 插件Zotero 插件浏览器插件Mac 客户端Windows 客户端微信小程序
定价
高级版会员购买积分包购买API积分包
服务
文献检索文档翻译深度研究API 文档MCP 服务
关于我们
关于 Suppr公司介绍联系我们用户协议隐私条款
关注我们

Suppr 超能文献

核心技术专利:CN118964589B侵权必究
粤ICP备2023148730 号-1Suppr @ 2026

文献检索

告别复杂PubMed语法,用中文像聊天一样搜索,搜遍4000万医学文献。AI智能推荐,让科研检索更轻松。

立即免费搜索

文件翻译

保留排版,准确专业,支持PDF/Word/PPT等文件格式,支持 12+语言互译。

免费翻译文档

深度研究

AI帮你快速写综述,25分钟生成高质量综述,智能提取关键信息,辅助科研写作。

立即免费体验

一名21岁女性滥用一氧化二氮:病例报告及文献综述

Nitrous oxide abuse in a 21-year-old female: a case report and review of literature.

作者信息

Dai Qi, Chen Shutong, Zhang Xiaodan, Fan Kuixin, Zhang Jingfeng, Zheng Jianjun

机构信息

Department of Radiology, Ningbo No.2 Hospital, Ningbo, China.

School of Medical Imaging, Hangzhou Medical College, Hangzhou, China.

出版信息

Front Neurol. 2024 Jun 27;15:1416557. doi: 10.3389/fneur.2024.1416557. eCollection 2024.

DOI:10.3389/fneur.2024.1416557
PMID:38994489
原文链接:https://pmc.ncbi.nlm.nih.gov/articles/PMC11236749/
Abstract

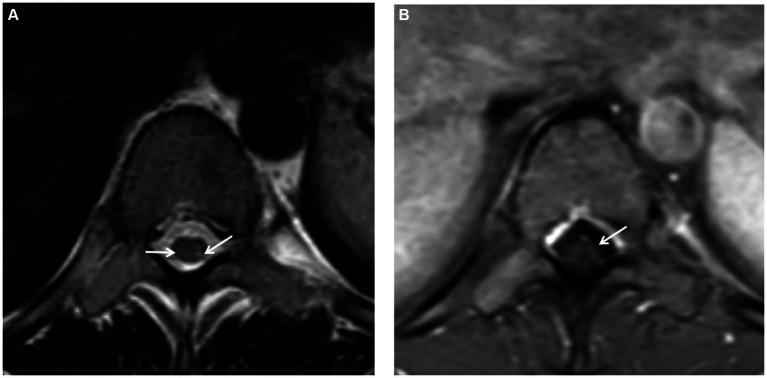
The abuse of nitrous oxide (NO) poses a substantial public health challenge. In many countries, including China, regulations governing the utilization and accessibility to NO remain ambiguous, particularly within the food industry. Here, we report a case of a 21-year-old female who presented with symptoms of subacute combined degeneration (SCD) of the spinal cord due to NO abuse. The patient exhibited bilateral lower limb numbness and weakness, low serum vitamin B12 levels with elevated homocysteine levels, and lumbar spine magnetic resonance imaging (MRI) revealed abnormal signals of the spinal cord. Following cessation of NO and comprehensive therapy including methylcobalamin and nerve growth factor, the symptoms significantly improved. A follow-up examination 3 months later showed good progress in gait stability. At a 5-year follow-up, the patient's previous clinical symptoms had completely disappeared, and her quality of life had returned to normal. This case underscores the urgency of raising awareness and prevention of NO abuse, emphasizing the importance of timely diagnosis and comprehensive treatment for patient recovery. Clear formulation and enforcement of relevant regulatory measures are equally crucial in reducing instances of abuse.

摘要

一氧化二氮(NO)的滥用对公众健康构成了重大挑战。在包括中国在内的许多国家,关于NO使用和获取的规定仍然不明确,尤其是在食品行业。在此,我们报告一例21岁女性因滥用NO出现脊髓亚急性联合变性(SCD)症状的病例。患者表现为双侧下肢麻木和无力,血清维生素B12水平低且同型半胱氨酸水平升高,腰椎磁共振成像(MRI)显示脊髓信号异常。在停止使用NO并进行包括甲钴胺和神经生长因子在内的综合治疗后,症状明显改善。3个月后的随访检查显示步态稳定性有良好进展。在5年的随访中,患者先前的临床症状完全消失,生活质量恢复正常。该病例强调了提高对NO滥用的认识和预防的紧迫性,强调了及时诊断和综合治疗对患者康复的重要性。明确制定和执行相关监管措施对于减少滥用情况同样至关重要。

https://cdn.ncbi.nlm.nih.gov/pmc/blobs/c3a9/11236749/187dedd5f08f/fneur-15-1416557-g004.jpg
https://cdn.ncbi.nlm.nih.gov/pmc/blobs/c3a9/11236749/8a310539469e/fneur-15-1416557-g001.jpg
https://cdn.ncbi.nlm.nih.gov/pmc/blobs/c3a9/11236749/795e6a66586a/fneur-15-1416557-g002.jpg
https://cdn.ncbi.nlm.nih.gov/pmc/blobs/c3a9/11236749/c895b108d9e1/fneur-15-1416557-g003.jpg
https://cdn.ncbi.nlm.nih.gov/pmc/blobs/c3a9/11236749/187dedd5f08f/fneur-15-1416557-g004.jpg
https://cdn.ncbi.nlm.nih.gov/pmc/blobs/c3a9/11236749/8a310539469e/fneur-15-1416557-g001.jpg
https://cdn.ncbi.nlm.nih.gov/pmc/blobs/c3a9/11236749/795e6a66586a/fneur-15-1416557-g002.jpg
https://cdn.ncbi.nlm.nih.gov/pmc/blobs/c3a9/11236749/c895b108d9e1/fneur-15-1416557-g003.jpg
https://cdn.ncbi.nlm.nih.gov/pmc/blobs/c3a9/11236749/187dedd5f08f/fneur-15-1416557-g004.jpg

相似文献

1
Nitrous oxide abuse in a 21-year-old female: a case report and review of literature.一名21岁女性滥用一氧化二氮:病例报告及文献综述
Front Neurol. 2024 Jun 27;15:1416557. doi: 10.3389/fneur.2024.1416557. eCollection 2024.
2
Clinical and MRI Differences Between Patients With Subacute Combined Degeneration of the Spinal Cord Related vs. Unrelated to Recreational Nitrous Oxide Use: A Retrospective Study.与娱乐性使用氧化亚氮相关和无关的脊髓亚急性联合变性患者的临床和MRI差异:一项回顾性研究
Front Neurol. 2021 Feb 2;12:626174. doi: 10.3389/fneur.2021.626174. eCollection 2021.
3
Nitrous Oxide-Induced Subacute Combined Degeneration in a 38-Year-Old Pregnant Female After Recreational Use.一名38岁孕妇在娱乐性使用笑气后发生的亚急性联合变性
Cureus. 2023 Apr 17;15(4):e37696. doi: 10.7759/cureus.37696. eCollection 2023 Apr.
4
Case report: Subacute combined degeneration of the spinal cord due to nitrous oxide abuse.病例报告:因滥用氧化亚氮导致的脊髓亚急性联合变性。
Front Neurol. 2023 Jan 26;14:1099077. doi: 10.3389/fneur.2023.1099077. eCollection 2023.
5
Clinical-radiological dissociation in a patient with nitrous oxide-induced subacute combined degeneration: a case report.一氧化二氮诱导的亚急性联合变性患者的临床-放射学分离:病例报告。
BMC Neurol. 2020 Mar 17;20(1):99. doi: 10.1186/s12883-020-01685-5.
6
Nitrous oxide abuse induced subacute combined degeneration despite patient initiated B12 supplementation.一氧化二氮滥用导致亚急性联合变性,尽管患者开始补充 B12。
Clin Toxicol (Phila). 2022 Jul;60(7):872-875. doi: 10.1080/15563650.2022.2046772. Epub 2022 Mar 7.
7
Recreational nitrous oxide abuse related subacute combined degeneration of the spinal cord in adolescents - A case series and literature review.青少年娱乐性一氧化二氮滥用相关的脊髓亚急性联合变性——病例系列及文献综述
Brain Dev. 2019 May;41(5):428-435. doi: 10.1016/j.braindev.2018.12.003. Epub 2019 Jan 2.
8
'From highs to lows: a cautionary tale of nitrous oxide recreational use leading to sub-acute combined degeneration of the cord'.从兴奋到低落:一氧化二氮娱乐性使用导致亚急性联合变性脊髓的警示故事
Oxf Med Case Reports. 2024 Jul 13;2024(7):omae068. doi: 10.1093/omcr/omae068. eCollection 2024 Jul.
9
Subacute Combined Degeneration Caused by Nitrous Oxide Intoxication: A Report of Two Cases.一氧化二氮中毒所致亚急性联合变性:两例报告
Ann Rehabil Med. 2019 Aug;43(4):530-534. doi: 10.5535/arm.2019.43.4.530. Epub 2019 Aug 31.
10
The sharp rise of neurological disorders associated with recreational nitrous oxide use in China: a single-center experience and a brief review of Chinese literature.与娱乐性一氧化二氮使用相关的神经系统疾病在中国的急剧上升:单中心经验及中国文献复习。
J Neurol. 2020 Feb;267(2):422-429. doi: 10.1007/s00415-019-09600-w. Epub 2019 Oct 26.

本文引用的文献

1
A case of functional vitamin B12 deficiency after recreational nitrous oxide use.一起消遣性吸入一氧化二氮后出现的功能性维生素 B12 缺乏症病例报告
Biochem Med (Zagreb). 2024 Feb 15;34(1):010801. doi: 10.11613/BM.2024.010801. Epub 2023 Dec 15.
2
Neuropsychiatric disorders associated with recreational nitrous oxide use.与娱乐性使用一氧化二氮相关的神经精神障碍。
Clin Toxicol (Phila). 2023 Nov;61(11):961-967. doi: 10.1080/15563650.2023.2279936. Epub 2023 Dec 19.
3
Nitrous Oxide Inhalant Abuse: Preliminary Results from a Cross-Sectional Study on Knowledge, Attitudes, and Practices of Italian Physicians (2023).
笑气吸入滥用:一项关于意大利医生知识、态度和实践的横断面研究的初步结果(2023 年)。
Medicina (Kaunas). 2023 Oct 12;59(10):1820. doi: 10.3390/medicina59101820.
4
Nitrous oxide-induced polyneuropathy, pancytopenia and pulmonary embolism: a case report.氧化亚氮所致多发性神经病、全血细胞减少症和肺栓塞:病例报告。
J Med Case Rep. 2023 Aug 17;17(1):350. doi: 10.1186/s13256-023-04075-w.
5
Nitrous oxide-induced neurotoxicity: Clinical characteristics and impacts on overall neurological impairments.氧化亚氮诱导的神经毒性:临床特征及其对整体神经损伤的影响。
Front Neurol. 2023 Feb 23;14:1132542. doi: 10.3389/fneur.2023.1132542. eCollection 2023.
6
Comparison of biomarker for diagnosis of nitrous oxide abuse: challenge of cobalamin metabolic parameters, a retrospective study.用于诊断一氧化二氮滥用的生物标志物比较:钴胺素代谢参数面临的挑战,一项回顾性研究
J Neurol. 2023 Apr;270(4):2237-2245. doi: 10.1007/s00415-023-11570-z. Epub 2023 Jan 24.
7
Neurological and Psychological Characteristics of Young Nitrous Oxide Abusers and Its Underlying Causes During the COVID-19 Lockdown.新冠疫情封锁期间青少年一氧化二氮滥用者的神经心理特征及其潜在原因。
Front Public Health. 2022 Jun 2;10:854977. doi: 10.3389/fpubh.2022.854977. eCollection 2022.
8
Review article: Clinical manifestations and outcomes of chronic nitrous oxide misuse: A systematic review.综述文章:慢性氧化亚氮滥用的临床表现和结局:系统评价。
Emerg Med Australas. 2022 Aug;34(4):492-503. doi: 10.1111/1742-6723.13997. Epub 2022 Jun 13.
9
Analysis of clinical characteristics and prognostic factors in 110 patients with nitrous oxide abuse.110例一氧化二氮滥用患者的临床特征及预后因素分析
Brain Behav. 2022 Apr;12(4):e2533. doi: 10.1002/brb3.2533. Epub 2022 Mar 20.
10
Psychoactive substance use among students: A cross-sectional analysis.学生的精神活性物质使用情况:一项横断面分析。
Fundam Clin Pharmacol. 2022 Oct;36(5):908-914. doi: 10.1111/fcp.12771. Epub 2022 Mar 4.