Suppr超能文献

利用缺少C末端延伸的604个氨基酸的同工型对视网膜肌苷酸脱氢酶1(IMPDH1)的构象和合适的药物靶点位点的见解。

Insights on the conformation and appropriate drug-target sites on retinal IMPDH1 using the 604-aa isoform lacking the C-terminal extension.

作者信息

Elyasi-Ebli Parisa, Yazdanparast Razieh, Gharaghani Sajjad, Barzegari Ebrahim

机构信息

Institute of Biochemistry and Biophysics, University of Tehran, Tehran, Iran.

Medical Biology Research Center, Health Technology Institute, Kermanshah University of Medical Sciences, Kermanshah, Iran.

出版信息

Res Pharm Sci. 2023 Nov 23;18(6):638-647. doi: 10.4103/1735-5362.389951. eCollection 2023 Dec.

Abstract

BACKGROUND AND PURPOSE

Retinitis pigmentosa (RP) accounts for 2 percent of global cases of blindness. The RP10 form of the disease results from mutations in isoform 1 of inosine 5'-monophosphate dehydrogenase (IMPDH1), the rate-limiting enzyme in the purine nucleotide synthesis pathway. Retinal photoreceptors contain specific isoforms of IMPDH1 characterized by terminal extensions. Considering previously reported significantly varied kinetics among retinal isoforms, the current research aimed to investigate possible structural explanations and suitable functional sites for the pharmaceutical targeting of IMPDH1 in RP.

EXPERIMENTAL APPROACH

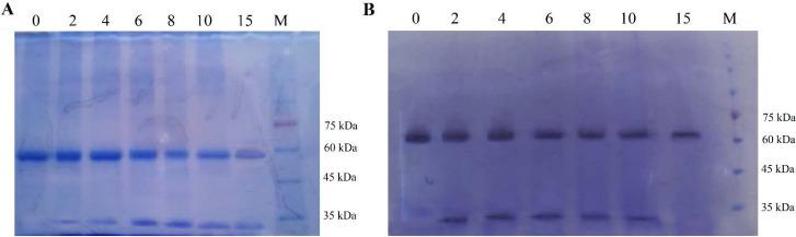
A recombinant 604-aa IMPDH1 isoform lacking the carboxyl-terminal peptide was produced and underwent proteolytic digestion with α-chymotrypsin. Dimer models of wild type and engineered 604-aa isoform were subjected to molecular dynamics simulation.

FINDINGS/RESULTS: The IMPDH1 retinal isoform lacking C-terminal peptide was shown to tend to have more rapid proteolysis (~16% digestion in the first two minutes). Our computational data predicted the potential of the amino-terminal peptide to induce spontaneous inhibition of IMPDH1 by forming a novel helix in a GTP binding site. On the other hand, the C-terminal peptide might block the probable inhibitory role of the N-terminal extension.

CONCLUSION AND IMPLICATIONS

According to the findings, augmenting IMPDH1 activity by suppressing its filamentation is suggested as a suitable strategy to compensate for its disrupted activity in RP. This needs specific small molecule inhibitors to target the filament assembly interface of the enzyme.

摘要

背景与目的

视网膜色素变性(RP)占全球失明病例的2%。该疾病的RP10型是由肌苷5'-单磷酸脱氢酶1(IMPDH1)同工型1的突变引起的,IMPDH1是嘌呤核苷酸合成途径中的限速酶。视网膜光感受器含有以末端延伸为特征的IMPDH1特定同工型。考虑到先前报道的视网膜同工型之间动力学存在显著差异,当前研究旨在探究IMPDH1在RP中药物靶向的可能结构解释和合适的功能位点。

实验方法

制备了一种缺少羧基末端肽的重组604个氨基酸的IMPDH1同工型,并用α-胰凝乳蛋白酶进行蛋白水解消化。对野生型和工程化604个氨基酸同工型的二聚体模型进行分子动力学模拟。

研究结果

结果表明,缺少C末端肽的IMPDH1视网膜同工型倾向于有更快的蛋白水解(在前两分钟内约16%被消化)。我们的计算数据预测了氨基末端肽通过在GTP结合位点形成新的螺旋来诱导IMPDH1自发抑制的可能性。另一方面,C末端肽可能会阻断N末端延伸的可能抑制作用。

结论与启示

根据研究结果,通过抑制其丝状化来增强IMPDH1活性被认为是补偿其在RP中被破坏的活性的合适策略。这需要特定的小分子抑制剂来靶向该酶的丝状组装界面。

https://cdn.ncbi.nlm.nih.gov/pmc/blobs/040a/11246115/f084feeebdf7/RPS-18-638-g001.jpg

相似文献

1
Insights on the conformation and appropriate drug-target sites on retinal IMPDH1 using the 604-aa isoform lacking the C-terminal extension.
Res Pharm Sci. 2023 Nov 23;18(6):638-647. doi: 10.4103/1735-5362.389951. eCollection 2023 Dec.
2
The functional impact of the C/N-terminal extensions of the mouse retinal IMPDH1 isoforms: a kinetic evaluation.
Mol Cell Biochem. 2020 Feb;465(1-2):155-164. doi: 10.1007/s11010-019-03675-9. Epub 2019 Dec 14.
3
Terminal Peptide Extensions Augment the Retinal IMPDH1 Catalytic Activity and Attenuate the ATP-induced Fibrillation Events.
Cell Biochem Biophys. 2021 Jun;79(2):221-229. doi: 10.1007/s12013-021-00973-2. Epub 2021 Mar 17.
4
On the molecular pathology of neurodegeneration in IMPDH1-based retinitis pigmentosa.
Hum Mol Genet. 2004 Mar 15;13(6):641-50. doi: 10.1093/hmg/ddh061.
7
Retinal isoforms of inosine 5'-monophosphate dehydrogenase type 1 are poor nucleic acid binding proteins.
Arch Biochem Biophys. 2008 Apr 15;472(2):100-4. doi: 10.1016/j.abb.2008.02.012. Epub 2008 Feb 14.

本文引用的文献

2
IMPDH1 retinal variants control filament architecture to tune allosteric regulation.
Nat Struct Mol Biol. 2022 Jan;29(1):47-58. doi: 10.1038/s41594-021-00706-2. Epub 2022 Jan 10.
5
Terminal Peptide Extensions Augment the Retinal IMPDH1 Catalytic Activity and Attenuate the ATP-induced Fibrillation Events.
Cell Biochem Biophys. 2021 Jun;79(2):221-229. doi: 10.1007/s12013-021-00973-2. Epub 2021 Mar 17.
8
The functional impact of the C/N-terminal extensions of the mouse retinal IMPDH1 isoforms: a kinetic evaluation.
Mol Cell Biochem. 2020 Feb;465(1-2):155-164. doi: 10.1007/s11010-019-03675-9. Epub 2019 Dec 14.
9
Improving the solubility, activity, and stability of reteplase using design of new variants.
Res Pharm Sci. 2019 Aug;14(4):359-368. doi: 10.4103/1735-5362.263560.

文献AI研究员

20分钟写一篇综述,助力文献阅读效率提升50倍。

立即体验

用中文搜PubMed

大模型驱动的PubMed中文搜索引擎

马上搜索

文档翻译

学术文献翻译模型,支持多种主流文档格式。

立即体验