Suppr超能文献

炎症性肠病(IBD)患者中白细胞介素-19和白细胞介素-24表达的免疫组织化学分析:一项单中心回顾性研究的结果

Immunohistochemical Analysis of IL-19 and IL-24 Expression in Inflammatory Bowel Disease (IBD) Patients: Results From a Single Center Retrospective Study.

作者信息

Toskas Alexandros, Milias Stephanos, Delis Georgios, Meditskou Soultana, Sioga Antonia, Karachrysafi Sofia, Papamitsou Theodora

机构信息

Histology, Aristotle University of Thessaloniki, Thessaloniki, GRC.

Histopathology, Private Histopathology Laboratory, Thessaloniki, GRC.

出版信息

Cureus. 2024 Jul 12;16(7):e64441. doi: 10.7759/cureus.64441. eCollection 2024 Jul.

Abstract

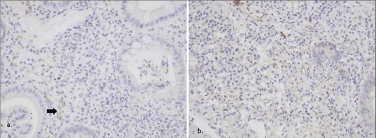
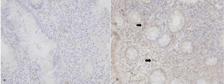
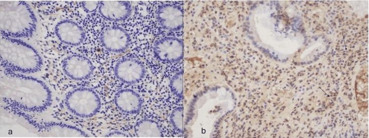
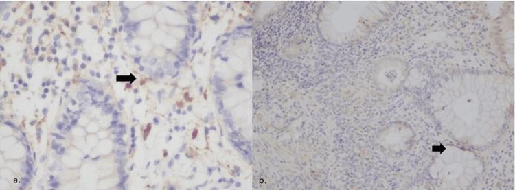
Background IL-19 and IL-24 induce proinflammatory cytokine production through the Janus kinase-signal transducer and activator of transcription (JAK-STAT) pathway. The primary objective of this study was to investigate any changes in IL-19 and IL-24 expression between inflammatory bowel disease (IBD) patients and healthy controls, as well as before and after the initiation of biologics. The secondary objective was to investigate any relation between their expression and disease phenotype and activity.  Methods IL-19 and IL-24 expression was measured in intestinal tissue samples from 121 patients with moderate to severe IBD versus healthy controls using immunohistochemistry. Their expression was then measured 12 months after treatment on the patient group treated with biologics. The disease activity was measured before and after treatment using the Harvey Bradshaw Index (HBI) for Crohn's disease (CD) patients and the Mayo Score (MS) for ulcerative colitis (UC) patients. Data were analyzed using SPSS (IBM Inc., Armonk, New York).  Results IL-19 expression was raised in the IBD group versus healthy controls. In the CD group, the IL-19 expression was related with the disease activity score post-biologic treatment. IL-24 was also highly expressed in patients with active UC and CD and was increased post-treatment. Its expression in UC was statistically related with the MS. Conclusions IL-24 and IL-19 are key factors in IBD-related intestinal inflammation and this is one of the few human studies to suggest that. An immunosuppressive role of IL-24 was demonstrated in the UC group. A future use as biomarkers of disease activity and response to treatment might be feasible.

摘要

背景

白细胞介素-19(IL-19)和白细胞介素-24(IL-24)通过Janus激酶-信号转导子和转录激活子(JAK-STAT)途径诱导促炎细胞因子的产生。本研究的主要目的是调查炎症性肠病(IBD)患者与健康对照之间以及生物制剂治疗开始前后IL-19和IL-24表达的任何变化。次要目的是研究它们的表达与疾病表型和活动之间的任何关系。方法:使用免疫组织化学法检测121例中重度IBD患者与健康对照的肠道组织样本中IL-19和IL-24的表达。然后对接受生物制剂治疗的患者组在治疗12个月后测量其表达。使用Harvey Bradshaw指数(HBI)对克罗恩病(CD)患者和Mayo评分(MS)对溃疡性结肠炎(UC)患者在治疗前后测量疾病活动度。使用SPSS(IBM公司,纽约州阿蒙克)分析数据。结果:与健康对照相比,IBD组中IL-19表达升高。在CD组中,IL-19表达与生物制剂治疗后的疾病活动评分相关。IL-24在活动性UC和CD患者中也高表达,且治疗后升高。其在UC中的表达与MS有统计学相关性。结论:IL-24和IL-19是IBD相关肠道炎症的关键因素,本研究是少数表明这一点的人体研究之一。在UC组中证实了IL-24的免疫抑制作用。作为疾病活动度和治疗反应生物标志物的未来用途可能是可行的。

https://cdn.ncbi.nlm.nih.gov/pmc/blobs/e768/11245665/209b04ebd94f/cureus-0016-00000064441-i01.jpg

文献检索

告别复杂PubMed语法,用中文像聊天一样搜索,搜遍4000万医学文献。AI智能推荐,让科研检索更轻松。

立即免费搜索

文件翻译

保留排版,准确专业,支持PDF/Word/PPT等文件格式,支持 12+语言互译。

免费翻译文档

深度研究

AI帮你快速写综述,25分钟生成高质量综述,智能提取关键信息,辅助科研写作。

立即免费体验