Suppr超能文献

低剂量计算机断层扫描中肝脏与脾脏比值降低作为脂肪肝疾病的生物标志物反映了心肌缺血风险。

Decreased liver-to-spleen ratio in low-dose computed tomography as a biomarker of fatty liver disease reflects risk for myocardial ischaemia.

作者信息

Hokkanen A, Hämäläinen H, Laitinen T M, Laitinen T P

机构信息

Department of Clinical Physiology and Nuclear Medicine, Kuopio University Hospital, Puijonlaaksontie 2, 70200 Kuopio, Finland.

School of Medicine, University College Cork, Ireland.

出版信息

Eur Heart J Imaging Methods Pract. 2023 Aug 10;1(1):qyad016. doi: 10.1093/ehjimp/qyad016. eCollection 2023 May.

Abstract

AIMS

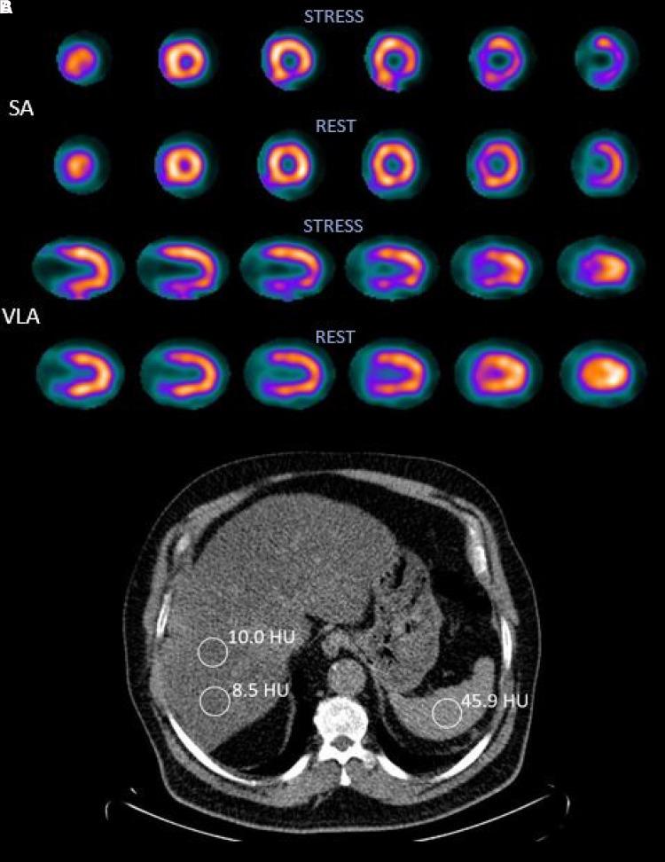
A strong association between fatty liver disease (FLD) and coronary artery disease is consistently reported. Our aim was to evaluate whether FLD diagnosed using low-dose non-contrast computed tomography (LDCT), as a by-product of myocardial perfusion imaging (MPI), is associated with myocardial ischaemia or left ventricular function parameters.

METHODS AND RESULTS

We analysed 742 patients who had undergone MPI using single photon emission computed tomography (SPECT) and LDCT. A liver-to-spleen ratio (in Hounsfield units) of <1 was defined as FLD. Myocardial ischaemia was defined as a summed difference score (SDS) ≥3. Left ventricular size and systolic function were assessed from the electrocardiogram-gated SPECT. FLD patients were younger (63 vs. 68 years) and had a higher body mass index (34.6 vs. 29.0 kg/m) and a higher SDS (2.65 vs. 1.63), < 0.001 for all. Independently of several possible confounding factors including traditional risk factors, patients with FLD had a 1.70-fold risk of ischaemia (95% confidence interval 1.11-2.58, = 0.014). Left ventricular end-diastolic volume (109 vs. 109 mL) and ejection fraction (61 vs. 61%) were comparable in those with and without FLD (non-significant for both).

CONCLUSIONS

With the help of LDCT, it is possible to identify FLD, which is associated with an increased risk of myocardial ischaemia. Therefore, evaluation of FLD from LDCT is recommended along with MPI.

摘要

目的

脂肪肝(FLD)与冠状动脉疾病之间的密切关联已被持续报道。我们的目的是评估在心肌灌注成像(MPI)过程中作为副产品使用低剂量非增强计算机断层扫描(LDCT)诊断出的FLD是否与心肌缺血或左心室功能参数相关。

方法与结果

我们分析了742例行单光子发射计算机断层扫描(SPECT)和LDCT的MPI患者。肝脏与脾脏的比值(以亨氏单位计)<1被定义为FLD。心肌缺血被定义为总差异评分(SDS)≥3。从心电图门控SPECT评估左心室大小和收缩功能。FLD患者更年轻(63岁对68岁),体重指数更高(34.6对29.0 kg/m),SDS更高(2.65对1.63),所有差异均<0.001。独立于包括传统危险因素在内的几个可能的混杂因素,FLD患者发生缺血的风险高1.70倍(95%置信区间1.11 - 2.58, = 0.014)。有和没有FLD的患者左心室舒张末期容积(109对109 mL)和射血分数(61对61%)相当(两者均无统计学意义)。

结论

借助LDCT能够识别FLD,其与心肌缺血风险增加相关。因此,建议在进行MPI的同时从LDCT评估FLD。

https://cdn.ncbi.nlm.nih.gov/pmc/blobs/ece7/11240163/fdbbfde55ba6/qyad016_ga1.jpg

文献AI研究员

20分钟写一篇综述,助力文献阅读效率提升50倍。

立即体验

用中文搜PubMed

大模型驱动的PubMed中文搜索引擎

马上搜索

文档翻译

学术文献翻译模型,支持多种主流文档格式。

立即体验