Suppr超能文献

使用羟基磷灰石/藻酸盐复合颗粒对关键骨缺损再生进行生物学评估。

Biological evaluation of critical bone defect regeneration using hydroxyapatite/ alginate composite granules.

作者信息

Ribeiro Iorrana Índira Dos Anjos, Almeida Renata Dos Santos, Silva Ana Maria Guerreiro Braga da, Barbosa Júnior Aryon de Almeida, Rossi Alexandre Malta, Miguel Fúlvio Borges, Rosa Fabiana Paim

机构信息

Universidade Federal da Bahia - Instituto de Ciências da Saúde - Salvador (BA), Brazil.

Universidade Federal do Recôncavo da Bahia - Centro de Ciências Agrárias, Ambientais e Biológicas - Cruz das Almas (BA), Brazil.

出版信息

Acta Cir Bras. 2024 Jul 22;39:e392824. doi: 10.1590/acb392824. eCollection 2024.

Abstract

PURPOSE

to evaluate biocompatibility and osteogenic potential of hydroxyapatite/alginate composite after its implantation on rat calvarian critical bone defect.

METHODS

thirty adults male Wistar rats were randomly distributed into two groups: GHA - critical bone defect filled with hydroxyapatite/alginate composite granules (HA/Alg) and CG - critical bone defect without biomaterial; evaluated at biological points of 15, 45 and 120 days.

RESULTS

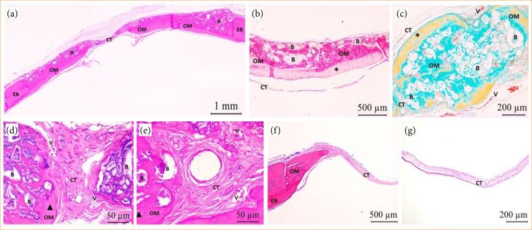
the histomorphometrically analyses for GHA showed osteoid matrix deposition (OM) among the granules and towards the center of the defect in centripetal direction throughout the study, with evident new bone formation at 120 days, resulting in filling 4/5 of the initial bone defect. For CG, this finding was restricted to the edges of the bone margins and formation of connective tissue on the residual area was found in all biological points. Inflammatory response on GHA was chronic granulomatous type, discrete and regressive for all biological points. Throughout the study, the CG presented mononuclear inflammatory infiltrate diffuse and regressive. Histomorphometry analyses showed that OM percentage was evident for GHA group when compared to CG group in all analyzed periods (p > 0.05).

CONCLUSIONS

the biomaterial evaluated at this study showed to be biocompatible, bioactive, osteoconductive and biodegradable synchronously with bone formation.

摘要

目的

评估羟基磷灰石/藻酸盐复合材料植入大鼠颅骨临界骨缺损后其生物相容性和成骨潜力。

方法

将30只成年雄性Wistar大鼠随机分为两组:GHA组——临界骨缺损填充羟基磷灰石/藻酸盐复合颗粒(HA/Alg);CG组——临界骨缺损不植入生物材料;在15天、45天和120天的生物学时间点进行评估。

结果

对GHA组的组织形态计量学分析显示,在整个研究过程中,颗粒间及向缺损中心呈向心性方向有类骨质基质沉积(OM),在120天时可见明显的新骨形成,致使初始骨缺损的4/5被填充。对于CG组,这一发现仅限于骨边缘,在所有生物学时间点均发现残余区域有结缔组织形成。GHA组的炎症反应为慢性肉芽肿型,在所有生物学时间点均为轻度且逐渐消退。在整个研究过程中,CG组呈现弥漫性且逐渐消退的单核炎性浸润。组织形态计量学分析表明,在所有分析时间段,GHA组的OM百分比与CG组相比均有明显差异(p>0.05)。

结论

本研究评估的生物材料显示出与骨形成同步的生物相容性、生物活性、骨传导性和可生物降解性。

https://cdn.ncbi.nlm.nih.gov/pmc/blobs/2a34/11262755/3d29a0e096e2/1678-2674-acb-39-e392824-gf01.jpg

文献检索

告别复杂PubMed语法,用中文像聊天一样搜索,搜遍4000万医学文献。AI智能推荐,让科研检索更轻松。

立即免费搜索

文件翻译

保留排版,准确专业,支持PDF/Word/PPT等文件格式,支持 12+语言互译。

免费翻译文档

深度研究

AI帮你快速写综述,25分钟生成高质量综述,智能提取关键信息,辅助科研写作。

立即免费体验