Suppr超能文献

山楂可溶性膳食纤维通过改善肠道菌群和炎症来缓解盐酸洛哌丁胺诱导的便秘,从而调节小鼠水通道蛋白离子途径。

Soluble Dietary Fiber of Hawthorn Relieves Constipation Induced by Loperamide Hydrochloride by Improving Intestinal Flora and Inflammation, Thereby Regulating the Aquaporin Ion Pathway in Mice.

作者信息

Zhang Henghui, Zu Qixin, Zhang Jiancai, Liu Suwen, Zhang Guohua, Chang Xuedong, Li Xiaojun

机构信息

Department of Environment and Safety Engineering, Taiyuan Institute of Technology, Taiyuan 030008, China.

College of Food Science & Technology, Hebei Yanshan Special Industrial Technology Research Institute, Hebei Normal University of Science and Technology, Qinhuangdao 066004, China.

出版信息

Foods. 2024 Jul 15;13(14):2220. doi: 10.3390/foods13142220.

Abstract

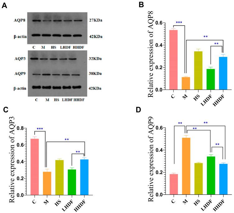
Dietary fiber can be fermented and utilized by gut microbiota to reshape the gut microbiota, thereby alleviating constipation. This experiment mainly studied the physicochemical functions of hawthorn soluble dietary fiber (HSDF)and its effect and mechanism in alleviating constipation in mice. Forty-five mice were divided into blank control group C, model group M, positive control HS group, low-dose LHSDF group (1 g/kg/bw), and high-dose HHSDF group (2 g/kg/bw). The mice were modeled at a dose of 10 mg/kg/bw of loperamide hydrochloride for 7 days, while the remaining groups were orally administered an equal amount of distilled water and test samples. After continuous gavage for 45 days we performed a bowel movement test, and then continued gavage for 7 days and performed a small intestine propulsion test and indicator testing. The results showed that HSDF is mainly composed of galacturonic acid, belonging to the type I crystal structure, with a loose surface resembling a snowflake, a small molecular weight, and strong water-holding and antioxidant abilities. Animal experiments showed that compared with group M, HSDF significantly upregulated AQP3 and AQP8 by 52.67% and 164.54%, respectively, and downregulated AQP9 protein expression by 45.88%, thereby promoting intestinal peristalsis. It can also alleviate constipation by increasing the levels of excitatory hormones such as MTL, GAS, and SP in the gastrointestinal tract, and reducing the levels of inhibitory hormones such as SS, NO, and MDA. In addition, HSDF can reduce the levels of inflammatory factors such as IL-6 and PL-1 β, increase the content of various short-chain fatty acids, alleviate intestinal inflammation, maintain intestinal integrity, and promote defecation. It can also promote the growth of probiotics such as Bacteroides, inhibit the growth of harmful bacteria such as Bifidobacterium and Lactobacillus, and alter the diversity of gut microbiota.

摘要

膳食纤维可被肠道微生物群发酵利用,以重塑肠道微生物群,从而缓解便秘。本实验主要研究山楂可溶性膳食纤维(HSDF)的理化功能及其缓解小鼠便秘的作用和机制。将45只小鼠分为空白对照组C、模型组M、阳性对照组HS、低剂量LHSDF组(1 g/kg体重)和高剂量HHSDF组(2 g/kg体重)。以10 mg/kg体重的盐酸洛哌丁胺对小鼠进行造模7天,其余各组灌胃等量的蒸馏水和受试样品。连续灌胃45天后进行排便试验,然后继续灌胃7天并进行小肠推进试验和指标检测。结果表明,HSDF主要由半乳糖醛酸组成,属于I型晶体结构,表面疏松类似雪花,分子量小,具有较强的持水和抗氧化能力。动物实验表明,与M组相比,HSDF能使AQP3和AQP8分别显著上调52.67%和164.54%,使AQP9蛋白表达下调45.88%,从而促进肠道蠕动。它还可通过提高胃肠道中MTL、GAS和SP等兴奋性激素水平,降低SS、NO和MDA等抑制性激素水平来缓解便秘。此外,HSDF可降低IL-6和PL-1β等炎症因子水平,增加各种短链脂肪酸含量,减轻肠道炎症,维持肠道完整性并促进排便。它还可促进拟杆菌等益生菌生长,抑制双歧杆菌和乳酸杆菌等有害菌生长,并改变肠道微生物群的多样性。

https://cdn.ncbi.nlm.nih.gov/pmc/blobs/2f6d/11275587/9b82fdfc41b7/foods-13-02220-g001.jpg

文献检索

告别复杂PubMed语法,用中文像聊天一样搜索,搜遍4000万医学文献。AI智能推荐,让科研检索更轻松。

立即免费搜索

文件翻译

保留排版,准确专业,支持PDF/Word/PPT等文件格式,支持 12+语言互译。

免费翻译文档

深度研究

AI帮你快速写综述,25分钟生成高质量综述,智能提取关键信息,辅助科研写作。

立即免费体验