Suppr超能文献

肾上腺嗜铬细胞瘤射频消融术中的高血压危象及处理:一例报告

Hypertension crises and management during radiofrequency ablation of adrenal pheochromocytoma: A case report.

作者信息

Ahmadzade Mohadese, Rouientan Hamidreza, Akhlaghpoor Shahram

机构信息

Department of Interventional Radiology, Pardis Noor Medical Imaging and Cancer Center, Tehran, Iran.

出版信息

Radiol Case Rep. 2024 Jul 6;19(9):4012-4016. doi: 10.1016/j.radcr.2024.06.024. eCollection 2024 Sep.

Abstract

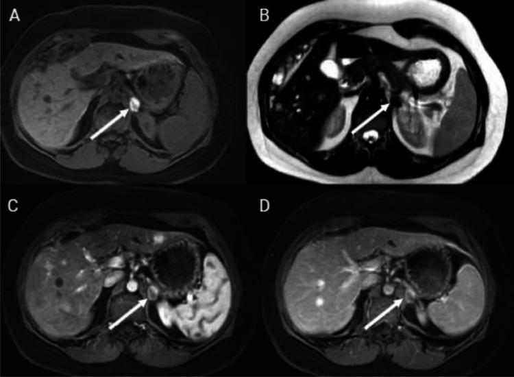
This case report describes the radiofrequency (RF) ablation of a pheochromocytoma in a 35-year-old female with multiple endocrine neoplasia (MEN) II syndrome, who previously underwent a right adrenalectomy and thyroidectomy. The patient presented with a new tumor in the left adrenal gland, detected via imaging, without evidence of metastasis. Opting against surgical adrenalectomy due to previous surgeries, she underwent RF ablation after preparatory alpha and beta blockader. During RF ablation, a hypertensive crisis occurred, managed effectively with nitroprusside sodium and supportive measures. Postprocedure recovery was uneventful, with normal metanephrine levels and imaging indicating successful ablation. This report highlights the feasibility and challenges of using RF ablation for adrenal pheochromocytoma, suggesting a potential shift towards less invasive management for select cases.

摘要

本病例报告描述了一名患有多发性内分泌腺瘤病(MEN)II 综合征的 35 岁女性嗜铬细胞瘤的射频(RF)消融治疗情况。该患者此前接受过右肾上腺切除术和甲状腺切除术。通过影像学检查发现患者左肾上腺有一个新肿瘤,且无转移迹象。由于既往手术史,患者未选择手术切除肾上腺,而是在进行了α和β受体阻滞剂预处理后接受了射频消融治疗。在射频消融过程中发生了高血压危象,通过硝普钠和支持措施得到了有效控制。术后恢复顺利,甲氧基肾上腺素水平正常,影像学检查显示消融成功。本报告强调了使用射频消融治疗肾上腺嗜铬细胞瘤的可行性和挑战,提示对于某些病例可能会转向侵入性较小的治疗方式。

https://cdn.ncbi.nlm.nih.gov/pmc/blobs/4ebf/11282923/e6768c94ea7b/gr1.jpg

文献AI研究员

20分钟写一篇综述,助力文献阅读效率提升50倍。

立即体验

用中文搜PubMed

大模型驱动的PubMed中文搜索引擎

马上搜索

文档翻译

学术文献翻译模型,支持多种主流文档格式。

立即体验