Suppr超能文献

[1型神经纤维瘤病患者的神经血管病理学。病例报告]

[Neurovascular pathology in a patient with neurofibromatosis type 1. Case report].

作者信息

Simal-Antuña M, Fernández-Fernández C, Larrosa-Campo D

机构信息

Hospital Universitario Central de Asturias, Oviedo, España.

Instituto de Investigación Sanitaria del Principado de Asturias, Oviedo, España.

出版信息

Rev Neurol. 2024 Aug 16;79(4):115-118. doi: 10.33588/rn.7904.2024172.

Abstract

INTRODUCTION

Neurovascular involvement in patients with neurofibromatosis type 1 (NF1) presents with a wide spectrum of manifestations. Its frequency is low, albeit probably underestimated. There is currently no known specific treatment, and treatment is based on recommendations with limited evidence. This report describes a case of vascular dysplasia in a patient with NF1.

CASE REPORT

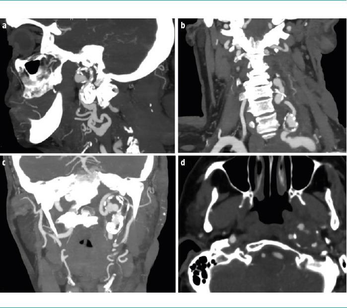
A 67-year-old woman with a genetic diagnosis of NF1 and a history of multiple exeresis of neurofibromas in the left cervical region. The patient presented with a painful flare-up and swelling in the region. A cervical magnetic resonance imaging was performed, which showed signs of plexiform neurinoma growth and a lesion suggestive of aneurysm in the left cervical internal carotid artery. A subsequent computed tomographic angiography confirmed the presence of a thrombosed aneurysm with associated critical stenosis, and identified three additional aneurysms in the proximal left vertebral artery. Given the asymptomatic presentation and adequate haemodynamic compensation, the patient was prescribed a conservative treatment and clinicoradiological follow-up.

CONCLUSIONS

Neurovascular alterations associated with NF1 are infrequent, and the optimal treatment for them is unknown. Studies to define its true prevalence, determine its pathophysiological substrate and estimate the risk of cerebrovascular complications more precisely are needed. This could provide more robust recommendations for the population of NF1 patients, especially in asymptomatic cases.

摘要

引言

1型神经纤维瘤病(NF1)患者的神经血管受累表现形式多样。其发生率较低,尽管可能被低估。目前尚无已知的特异性治疗方法,治疗基于证据有限的建议。本报告描述了1例NF1患者的血管发育异常情况。

病例报告

一名67岁女性,基因诊断为NF1,有左侧颈部多个神经纤维瘤切除术史。患者该区域出现疼痛发作和肿胀。进行了颈部磁共振成像检查,显示有丛状神经鞘瘤生长迹象以及左侧颈内动脉有一个提示动脉瘤的病变。随后的计算机断层血管造影证实存在一个血栓形成的动脉瘤并伴有严重狭窄,且在左侧椎动脉近端发现另外3个动脉瘤。鉴于患者无症状表现且血流动力学代偿良好,对其进行了保守治疗及临床影像学随访。

结论

与NF1相关的神经血管改变并不常见,其最佳治疗方法尚不清楚。需要开展研究以更准确地确定其真实患病率、确定其病理生理基础并评估脑血管并发症的风险。这可为NF1患者群体提供更有力的建议,尤其是对于无症状病例。

https://cdn.ncbi.nlm.nih.gov/pmc/blobs/0ad1/11469116/e46b358edd57/RN-79-115-g001.jpg

文献检索

告别复杂PubMed语法,用中文像聊天一样搜索,搜遍4000万医学文献。AI智能推荐,让科研检索更轻松。

立即免费搜索

文件翻译

保留排版,准确专业,支持PDF/Word/PPT等文件格式,支持 12+语言互译。

免费翻译文档

深度研究

AI帮你快速写综述,25分钟生成高质量综述,智能提取关键信息,辅助科研写作。

立即免费体验