• 文献检索
  • 文档翻译
  • 深度研究
  • 学术资讯
  • Suppr Zotero 插件Zotero 插件
  • 邀请有礼
  • 套餐&价格
  • 历史记录
应用&插件
Suppr Zotero 插件Zotero 插件浏览器插件Mac 客户端Windows 客户端微信小程序
定价
高级版会员购买积分包购买API积分包
服务
文献检索文档翻译深度研究API 文档MCP 服务
关于我们
关于 Suppr公司介绍联系我们用户协议隐私条款
关注我们

Suppr 超能文献

核心技术专利:CN118964589B侵权必究
粤ICP备2023148730 号-1Suppr @ 2026

文献检索

告别复杂PubMed语法,用中文像聊天一样搜索,搜遍4000万医学文献。AI智能推荐,让科研检索更轻松。

立即免费搜索

文件翻译

保留排版,准确专业,支持PDF/Word/PPT等文件格式,支持 12+语言互译。

免费翻译文档

深度研究

AI帮你快速写综述,25分钟生成高质量综述,智能提取关键信息,辅助科研写作。

立即免费体验

放疗后类卒中样偏头痛发作(SMART)综合征:一例报告

Stroke-Like Migraine Attacks After Radiation Therapy (SMART) Syndrome: A Case Report.

作者信息

Valappil Ashraf V, Ahammed Pk Danish, Karunanidhi Sellam, Sp Harish Babu, Janardhanan Sujith

机构信息

Neurology, Aster Malabar Institute of Medical Sciences Ltd (MIMS) Hospital Calicut, Kozhikode, IND.

Nuclear Medicine, Aster Malabar Institute of Medical Sciences Ltd (MIMS) Hospital Calicut, Kozhikode, IND.

出版信息

Cureus. 2024 Jul 1;16(7):e63599. doi: 10.7759/cureus.63599. eCollection 2024 Jul.

DOI:10.7759/cureus.63599
PMID:39087141
原文链接:https://pmc.ncbi.nlm.nih.gov/articles/PMC11290572/
Abstract

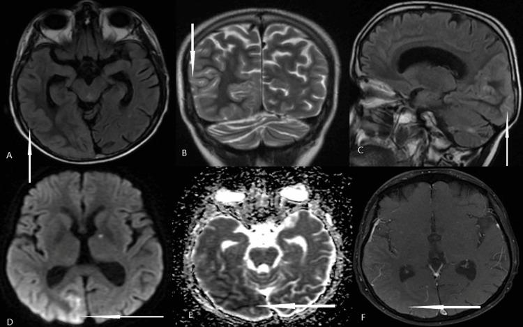
Stroke-like migraine attacks after radiation therapy (SMART) syndrome is a rare and delayed complication of brain irradiation involving impaired cerebrovascular autoregulation, and diagnosis is based on distinct clinic-radiographic findings and exclusion of differentials. We report a 38-year-old man, who received cranial irradiation 28 years before and developed episodes of headache and visual aura, followed by left hemianopia, aphasia, behavioral disturbances, and focal seizures. An MRI of the brain revealed gyral swelling with restricted diffusion and mild contrast enhancement over the right temporoparietal and occipital region, and fludeoxyglucose-FDG PET scan showed hyperperfusion in the corresponding brain region. He improved completely with pulse steroids and antiseizure medications. The recognition of this syndrome is important as we can reassure patients and their families and help avoid unnecessary and invasive diagnostic tests.

摘要

放射治疗后类卒中样偏头痛发作(SMART)综合征是脑部放疗罕见的迟发性并发症,涉及脑血管自动调节功能受损,诊断基于独特的临床影像学表现及鉴别诊断的排除。我们报告一名38岁男性,他在28年前接受了颅脑照射,之后出现头痛和视觉先兆发作,随后出现左侧偏盲、失语、行为障碍和局灶性癫痫发作。脑部MRI显示右侧颞顶枕区脑回肿胀伴扩散受限及轻度强化,氟脱氧葡萄糖-FDG PET扫描显示相应脑区血流灌注增加。他通过脉冲类固醇和抗癫痫药物治疗后完全康复。认识到这种综合征很重要,因为我们可以让患者及其家属放心,并有助于避免不必要的侵入性诊断检查。

https://cdn.ncbi.nlm.nih.gov/pmc/blobs/f0df/11290572/29ffb7bffb0e/cureus-0016-00000063599-i02.jpg
https://cdn.ncbi.nlm.nih.gov/pmc/blobs/f0df/11290572/458197c252fd/cureus-0016-00000063599-i01.jpg
https://cdn.ncbi.nlm.nih.gov/pmc/blobs/f0df/11290572/29ffb7bffb0e/cureus-0016-00000063599-i02.jpg
https://cdn.ncbi.nlm.nih.gov/pmc/blobs/f0df/11290572/458197c252fd/cureus-0016-00000063599-i01.jpg
https://cdn.ncbi.nlm.nih.gov/pmc/blobs/f0df/11290572/29ffb7bffb0e/cureus-0016-00000063599-i02.jpg

相似文献

1
Stroke-Like Migraine Attacks After Radiation Therapy (SMART) Syndrome: A Case Report.放疗后类卒中样偏头痛发作(SMART)综合征:一例报告
Cureus. 2024 Jul 1;16(7):e63599. doi: 10.7759/cureus.63599. eCollection 2024 Jul.
2
Stroke-Like Migraine Attacks After Radiation Therapy Syndrome and Radiation Necrosis After Cerebral Proton Beam Radiation: A Case Report of Dual Radiotherapy Complications.放射治疗综合征后类中风偏头痛发作及脑质子束放疗后放射性坏死:一例双重放疗并发症病例报告
Neurohospitalist. 2022 Jul;12(3):567-570. doi: 10.1177/19418744221102290. Epub 2022 May 15.
3
Refractory status epilepticus due to SMART syndrome.SMART综合征所致难治性癫痫持续状态。
Epilepsy Behav. 2015 Aug;49:189-92. doi: 10.1016/j.yebeh.2015.05.033. Epub 2015 Jun 11.
4
SMART Syndrome (Stroke-like migraine attacks after radiation therapy): When to suspect it?SMART综合征(放疗后类卒中样偏头痛发作):何时应怀疑此病?
Surg Neurol Int. 2021 Nov 16;12:561. doi: 10.25259/SNI_893_2021. eCollection 2021.
5
Cerebral Hyperperfusion in a Child with Stroke-Like Migraine Attacks after Radiation Therapy Syndrome.放疗综合征后出现类中风性偏头痛发作的儿童的脑血流灌注过多
Neuropediatrics. 2016 Aug;47(4):259-62. doi: 10.1055/s-0036-1582246. Epub 2016 Apr 22.
6
Stroke-Like Migraine Attacks After Radiation Therapy (SMART) Syndrome: A Comprehensive Review.放射性治疗后偏头痛样发作(SMART)综合征:全面综述
Curr Pain Headache Rep. 2021 Mar 24;25(5):33. doi: 10.1007/s11916-021-00946-3.
7
Unusual case of recurrent SMART (stroke-like migraine attacks after radiation therapy) syndrome.放射性治疗后出现类似中风的偏头痛发作(SMART)综合征复发的罕见病例。
Ann Indian Acad Neurol. 2016 Jul-Sep;19(3):399-401. doi: 10.4103/0972-2327.168634.
8
Case Report: Stroke-like migraine attacks after radiation therapy syndrome: a rare complication 26 years after cranial radiotherapy.病例报告:放射治疗综合征后类似中风的偏头痛发作:颅脑放疗26年后的罕见并发症
Front Oncol. 2023 Oct 2;13:1202918. doi: 10.3389/fonc.2023.1202918. eCollection 2023.
9
SMART syndrome: a case report.SMART 综合征:病例报告。
Acta Neurol Belg. 2023 Jun;123(3):1137-1140. doi: 10.1007/s13760-022-01965-6. Epub 2022 May 19.
10
Stroke-Like Migraine Attacks after Radiation Therapy Syndrome: Clinical and Imaging Characteristics.放射治疗综合征后的类中风性偏头痛发作:临床及影像学特征
J Clin Imaging Sci. 2019 Feb 27;9:5. doi: 10.25259/JCIS-9-5. eCollection 2019.

本文引用的文献

1
Advanced imaging findings in stroke-like migraine attacks after radiation therapy (SMART) syndrome.放疗后类卒中偏头痛发作(SMART)综合征的高级影像学表现
Eur J Nucl Med Mol Imaging. 2023 Mar;50(4):1264-1265. doi: 10.1007/s00259-022-06042-x. Epub 2022 Nov 23.
2
Brainstem SMART Syndrome - Be-SMART.脑干SMART综合征——Be-SMART。
Neurol India. 2022 Jul-Aug;70(4):1731-1733. doi: 10.4103/0028-3886.355087.
3
Prognostic Factors of Stroke-Like Migraine Attacks after Radiation Therapy (SMART) Syndrome.放疗后似偏头痛样发作(SMART)综合征的预后因素。
AJNR Am J Neuroradiol. 2022 Mar;43(3):396-401. doi: 10.3174/ajnr.A7424. Epub 2022 Feb 17.
4
Clinical Presentation and Management of SMART Syndrome.SMART综合征的临床表现与管理
Neurology. 2021 Jul 19;97(3):118-120. doi: 10.1212/WNL.0000000000012150.
5
Stroke-Like Migraine Attacks After Radiation Therapy (SMART) Syndrome: A Comprehensive Review.放射性治疗后偏头痛样发作(SMART)综合征:全面综述
Curr Pain Headache Rep. 2021 Mar 24;25(5):33. doi: 10.1007/s11916-021-00946-3.
6
Atypical imaging findings of presumed stroke-like migraine attacks after radiation therapy syndrome in the brainstem.脑辐射治疗后综合征中疑为类中风样偏头痛发作的非典型影像学表现。
Neuroradiology. 2021 Aug;63(8):1377-1381. doi: 10.1007/s00234-021-02684-0. Epub 2021 Mar 11.
7
SMART syndrome: retrospective review of a rare delayed complication of radiation.SMART 综合征:一种罕见的辐射延迟并发症的回顾性研究。
Eur J Neurol. 2021 Apr;28(4):1316-1323. doi: 10.1111/ene.14632. Epub 2020 Dec 3.
8
Stroke-like migraine attacks after radiation therapy (SMART) syndrome-a case series and review.放射治疗后类中风性偏头痛发作(SMART)综合征——病例系列及综述
Neurol Sci. 2020 Nov;41(11):3123-3134. doi: 10.1007/s10072-020-04586-0. Epub 2022 Jul 13.
9
SMART (Stroke-Like Migraine Attacks After Radiation Therapy) Syndrome: A Case Study with Imaging Supporting the Theory of Vascular Dysfunction.SMART(放射治疗后类似中风的偏头痛发作)综合征:一项影像学支持血管功能障碍理论的病例研究。
Am J Case Rep. 2020 Mar 28;21:e921795. doi: 10.12659/AJCR.921795.
10
Stroke-like events after brain radiotherapy: a large series with long-term follow-up.脑放疗后卒中样事件:一项具有长期随访的大系列研究。
Eur J Neurol. 2019 Apr;26(4):639-650. doi: 10.1111/ene.13870. Epub 2019 Jan 10.