• 文献检索
  • 文档翻译
  • 深度研究
  • 学术资讯
  • Suppr Zotero 插件Zotero 插件
  • 邀请有礼
  • 套餐&价格
  • 历史记录
应用&插件
Suppr Zotero 插件Zotero 插件浏览器插件Mac 客户端Windows 客户端微信小程序
定价
高级版会员购买积分包购买API积分包
服务
文献检索文档翻译深度研究API 文档MCP 服务
关于我们
关于 Suppr公司介绍联系我们用户协议隐私条款
关注我们

Suppr 超能文献

核心技术专利:CN118964589B侵权必究
粤ICP备2023148730 号-1Suppr @ 2026

文献检索

告别复杂PubMed语法,用中文像聊天一样搜索,搜遍4000万医学文献。AI智能推荐,让科研检索更轻松。

立即免费搜索

文件翻译

保留排版,准确专业,支持PDF/Word/PPT等文件格式,支持 12+语言互译。

免费翻译文档

深度研究

AI帮你快速写综述,25分钟生成高质量综述,智能提取关键信息,辅助科研写作。

立即免费体验

孕期胰岛素瘤的首例机器人辅助手术:首例病例报告及文献综述

Pioneering robotic-assisted surgery for insulinoma during pregnancy: The first case report and literature review.

作者信息

Taweerutchana Voraboot, Choksakunwong Sawaraj, Lerwattrakarn Amornrat, Chalermwai Wipapat Vicki, Intralawan Thita, Lertwattanarak Raweewan

机构信息

Minimally Invasive Surgery Unit, Division of General Surgery, Department of Surgery, Faculty of Medicine Siriraj Hospital, Mahidol University, Bangkok, Thailand.

Division of Endocrinology and Metabolism, Department of Medicine, Faculty of Medicine Siriraj Hospital, Mahidol University, Bangkok, Thailand.

出版信息

Heliyon. 2024 Jul 6;10(14):e34239. doi: 10.1016/j.heliyon.2024.e34239. eCollection 2024 Jul 30.

DOI:10.1016/j.heliyon.2024.e34239
PMID:39100462
原文链接:https://pmc.ncbi.nlm.nih.gov/articles/PMC11296031/
Abstract

INTRODUCTION

Insulinoma during pregnancy is a rare condition with vague clinical symptoms, making diagnosis challenging. The standard treatment for insulinoma is surgical tumor removal, preferably using a minimally invasive method. However, there have been no recorded examples of employing a robotic platform in pregnant women with insulinoma. In this report, we present the first successful case of robotic enucleation for insulinoma during pregnancy.

CASE PRESENTATION

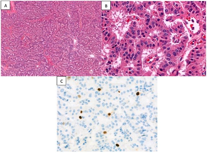
A 30-year-old pregnant woman presented with recurrent hypoglycemic symptoms throughout her first trimester that were relieved by food intake. After confirming endogenous hyperinsulinemia, an abdominal magnetic resonance imaging scan was performed to locate the tumor. A well-defined 2-cm mass was found in the pancreatic body. Robotic enucleation was performed at week 18 of gestation, and the patient experienced relief from hypoglycemic episodes postoperatively. Her blood glucose levels returned to normal, and she had an uneventful pregnancy. The patient eventually delivered a healthy baby via cesarean section without any complications.

CONCLUSIONS

For a subset of pregnant individuals with insulinoma, a minimally invasive approach as robotic-assisted surgery is safe and feasible. This innovative technique has the potential to both mothers and fetuses.

摘要

引言

妊娠期胰岛素瘤是一种临床症状不明确的罕见疾病,诊断具有挑战性。胰岛素瘤的标准治疗方法是手术切除肿瘤,最好采用微创方法。然而,尚无在妊娠期胰岛素瘤患者中使用机器人平台的记录实例。在本报告中,我们展示了首例妊娠期胰岛素瘤机器人摘除术成功病例。

病例介绍

一名30岁孕妇在孕早期出现反复低血糖症状,进食后缓解。在确认内源性高胰岛素血症后,进行了腹部磁共振成像扫描以定位肿瘤。在胰体部发现一个边界清晰的2厘米肿块。在妊娠第18周进行了机器人摘除术,患者术后低血糖发作症状缓解。她的血糖水平恢复正常,孕期顺利。患者最终通过剖宫产分娩出一名健康婴儿,无任何并发症。

结论

对于一部分患有胰岛素瘤的孕妇,机器人辅助手术这种微创方法是安全可行的。这种创新技术对母亲和胎儿都有潜在益处。

https://cdn.ncbi.nlm.nih.gov/pmc/blobs/210d/11296031/5ad7ae065d23/gr6.jpg
https://cdn.ncbi.nlm.nih.gov/pmc/blobs/210d/11296031/51d0944eb42c/gr1.jpg
https://cdn.ncbi.nlm.nih.gov/pmc/blobs/210d/11296031/065dfec9f6b5/gr2.jpg
https://cdn.ncbi.nlm.nih.gov/pmc/blobs/210d/11296031/bcc9725ac521/gr3.jpg
https://cdn.ncbi.nlm.nih.gov/pmc/blobs/210d/11296031/98bff23afacc/gr4.jpg
https://cdn.ncbi.nlm.nih.gov/pmc/blobs/210d/11296031/62de6ddd1267/gr5.jpg
https://cdn.ncbi.nlm.nih.gov/pmc/blobs/210d/11296031/5ad7ae065d23/gr6.jpg
https://cdn.ncbi.nlm.nih.gov/pmc/blobs/210d/11296031/51d0944eb42c/gr1.jpg
https://cdn.ncbi.nlm.nih.gov/pmc/blobs/210d/11296031/065dfec9f6b5/gr2.jpg
https://cdn.ncbi.nlm.nih.gov/pmc/blobs/210d/11296031/bcc9725ac521/gr3.jpg
https://cdn.ncbi.nlm.nih.gov/pmc/blobs/210d/11296031/98bff23afacc/gr4.jpg
https://cdn.ncbi.nlm.nih.gov/pmc/blobs/210d/11296031/62de6ddd1267/gr5.jpg
https://cdn.ncbi.nlm.nih.gov/pmc/blobs/210d/11296031/5ad7ae065d23/gr6.jpg

相似文献

1
Pioneering robotic-assisted surgery for insulinoma during pregnancy: The first case report and literature review.孕期胰岛素瘤的首例机器人辅助手术:首例病例报告及文献综述
Heliyon. 2024 Jul 6;10(14):e34239. doi: 10.1016/j.heliyon.2024.e34239. eCollection 2024 Jul 30.
2
Robotic enucleation for pediatric insulinoma with MEN1 syndrome: a case report and literature review.机器人辅助摘除术治疗小儿伴多发性内分泌腺瘤1型综合征的胰岛素瘤:病例报告及文献综述
BMC Surg. 2018 Jun 19;18(1):44. doi: 10.1186/s12893-018-0376-5.
3
Robotic Enucleation of Pancreatic Head Insulinomas in Close Proximity to the Pancreatic Duct.机器人胰腺头部胰岛素瘤切除术:与胰腺管近距离毗邻
Ann Surg Oncol. 2024 Mar;31(3):1834. doi: 10.1245/s10434-023-14627-5. Epub 2023 Nov 28.
4
Robotic-assisted single-site abdominal cerclage in the bicornuate uterus patient with cervical insufficiency.机器人辅助单孔腹腔镜宫颈环扎术治疗双角子宫伴宫颈机能不全患者
Fertil Steril. 2024 May;121(5):887-889. doi: 10.1016/j.fertnstert.2024.01.036. Epub 2024 Feb 3.
5
Hypoglycemia identified by a continuous glucose monitoring system in a second-trimester pregnant woman with insulinoma: a case report.胰岛素瘤致孕中期孕妇连续血糖监测系统识别低血糖:一例报告
J Med Case Rep. 2017 Apr 21;11(1):117. doi: 10.1186/s13256-017-1265-8.
6
Insulinoma in a third-trimester pregnant woman combined with pre-eclampsia: a case report and review of the diagnostic strategies.孕晚期孕妇胰岛素瘤合并子痫前期:一例病例报告及诊断策略综述
Gynecol Endocrinol. 2008 Jul;24(7):417-22. doi: 10.1080/09513590802210931.
7
Sporadic insulinoma in a 10-year-old boy: a case report and literature review.一名10岁男孩的散发性胰岛素瘤:病例报告及文献综述
JOP. 2014 Jan 10;15(1):53-7. doi: 10.6092/1590-8577/1925.
8
[Insulinoma and pregnancy: anesthesia and perioperative management].[胰岛素瘤与妊娠:麻醉及围手术期管理]
Rev Bras Anestesiol. 2017 Jul-Aug;67(4):426-429. doi: 10.1016/j.bjan.2016.06.003. Epub 2016 Aug 11.
9
Unmasked insulinoma occasioned by severe hypoglycemic coma immediately postpartum: a case report.产后即刻发生严重低血糖昏迷的去掩蔽胰岛素瘤:病例报告。
BMC Endocr Disord. 2023 Aug 10;23(1):168. doi: 10.1186/s12902-023-01415-1.
10
Laparoscopic enucleation of a pancreatic insulinoma: report of a case.腹腔镜下摘除胰腺胰岛素瘤:病例报告
Surg Today. 1998;28(11):1188-91. doi: 10.1007/s005950050311.

本文引用的文献

1
International consensus guidelines on robotic pancreatic surgery in 2023.《2023年机器人胰腺手术国际共识指南》
Hepatobiliary Surg Nutr. 2024 Feb 1;13(1):89-104. doi: 10.21037/hbsn-23-132. Epub 2024 Jan 18.
2
Surgeon perception of factors affecting the efficiency of conventional and robotic laparoscopy: A Pan India study.外科医生对影响传统腹腔镜手术和机器人辅助腹腔镜手术效率因素的认知:一项全印度研究。
Heliyon. 2022 Dec 24;8(12):e12561. doi: 10.1016/j.heliyon.2022.e12561. eCollection 2022 Dec.
3
Nonobstetrical Robotic-Assisted Laparoscopic Surgery in Pregnancy: A Systematic Literature Review.
非产科机器人辅助腹腔镜手术在妊娠中的应用:系统文献回顾。
Urology. 2021 May;151:58-66. doi: 10.1016/j.urology.2020.05.017. Epub 2020 May 20.
4
Insulinoma Identified in Puerperium: Association with Pregnancy and Literature Review.产褥期发现的胰岛素瘤:与妊娠的关联及文献综述
Eur J Case Rep Intern Med. 2020 Mar 16;7(4):001556. doi: 10.12890/2020_001556. eCollection 2020.
5
Pregnancy outcomes of women with hypoglycemia in the oral glucose tolerance test.口服葡萄糖耐量试验中低血糖妇女的妊娠结局。
J Gynecol Obstet Hum Reprod. 2020 Apr;49(4):101703. doi: 10.1016/j.jogoh.2020.101703. Epub 2020 Feb 1.
6
Surgical resection of pancreatic insulinoma during pregnancy: Case report and literature review.妊娠期胰腺胰岛素瘤的手术切除:病例报告及文献综述
Int J Surg Case Rep. 2019;61:119-122. doi: 10.1016/j.ijscr.2019.07.019. Epub 2019 Jul 22.
7
The Pathophysiology of Gestational Diabetes Mellitus.妊娠期糖尿病的病理生理学。
Int J Mol Sci. 2018 Oct 26;19(11):3342. doi: 10.3390/ijms19113342.
8
Multidisciplinary management of refractory insulinomas.难治性胰岛素瘤的多学科综合管理。
Clin Endocrinol (Oxf). 2018 May;88(5):615-624. doi: 10.1111/cen.13528. Epub 2018 Mar 2.
9
A Review of Systemic Corticosteroid Use in Pregnancy and the Risk of Select Pregnancy and Birth Outcomes.孕期全身使用皮质类固醇与特定妊娠及分娩结局风险的综述
Rheum Dis Clin North Am. 2017 Aug;43(3):489-502. doi: 10.1016/j.rdc.2017.04.013.
10
Octreotide therapy and restricted fetal growth: pregnancy in familial hyperinsulinemic hypoglycemia.奥曲肽治疗与胎儿生长受限:家族性高胰岛素性低血糖症患者的妊娠情况
Endocrinol Diabetes Metab Case Rep. 2017 Feb 15;2017. doi: 10.1530/EDM-16-0126. eCollection 2017.