• 文献检索
  • 文档翻译
  • 深度研究
  • 学术资讯
  • Suppr Zotero 插件Zotero 插件
  • 邀请有礼
  • 套餐&价格
  • 历史记录
应用&插件
Suppr Zotero 插件Zotero 插件浏览器插件Mac 客户端Windows 客户端微信小程序
定价
高级版会员购买积分包购买API积分包
服务
文献检索文档翻译深度研究API 文档MCP 服务
关于我们
关于 Suppr公司介绍联系我们用户协议隐私条款
关注我们

Suppr 超能文献

核心技术专利:CN118964589B侵权必究
粤ICP备2023148730 号-1Suppr @ 2026

文献检索

告别复杂PubMed语法,用中文像聊天一样搜索,搜遍4000万医学文献。AI智能推荐,让科研检索更轻松。

立即免费搜索

文件翻译

保留排版,准确专业,支持PDF/Word/PPT等文件格式,支持 12+语言互译。

免费翻译文档

深度研究

AI帮你快速写综述,25分钟生成高质量综述,智能提取关键信息,辅助科研写作。

立即免费体验

左旋支动脉导丝断裂并嵌顿的后果及处理:一例报告

Consequences and management of guidewire fracture-entrapment in the left circumflex artery: a case report.

作者信息

Paul Mathews

机构信息

Consultant Interventional Cardiologist, Moulana Hospital, Mysuru - Ooty Rd, Perintalmanna, Kerala 679322, India.

出版信息

Eur Heart J Case Rep. 2024 Jul 23;8(8):ytae341. doi: 10.1093/ehjcr/ytae341. eCollection 2024 Aug.

DOI:10.1093/ehjcr/ytae341
PMID:39104512
原文链接:https://pmc.ncbi.nlm.nih.gov/articles/PMC11299023/
Abstract

BACKGROUND

Entrapment and fracture of the coronary guidewire are rare but major complications of percutaneous coronary intervention (PCI). The incidence of these complications is reported to be <1%.

CASE SUMMARY

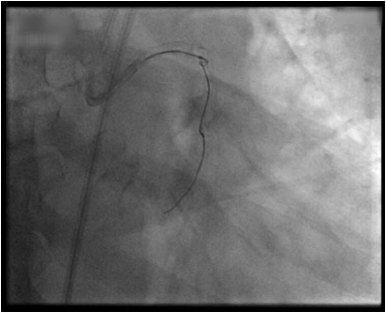
A 52-year-old male patient with diabetes and dyslipidaemia presented with posterior wall myocardial infarction. An angiogram revealed occlusion in the left circumflex (LCX) artery. Attempts to pass a guidewire through the lesion led to its entrapment and eventual fracture. Several techniques and manoeuvres failed to retrieve the fractured guidewire, which remained lodged in the LCX. An endovascular snare catheter also proved unsuccessful. The fragment was eventually removed using the triple-wire technique, although this caused coronary perforation and dissection. The perforation was identified and stented. A subsequent stent addressed a dissection in the left main/left ascending artery area, likely caused by the coronary snare. These interventions were crucial in stabilizing the patient's condition, leading to recovery with a left ventricular ejection fraction of 50% and a viable LCX artery. The patient exhibited an uneventful progression at the 1-year follow-up.

DISCUSSION

Coronary guidewire fracture during PCI is a rare event often associated with coronary calcifications. Percutaneous removal remains the mainstay treatment for fragment removal; however, it carries risks. The triple-wire technique, a newer method that entangles and extracts the fractured guidewire without specialized equipment, was effective in removing the fragmented guidewire. If asymptomatic, leaving the wire is documented as a favourable approach. This case highlights that the triple-wire technique can effectively be used for the extraction of fractured guidewire fragments from the coronary vessels.

摘要

背景

冠状动脉导丝陷入和断裂虽罕见,但却是经皮冠状动脉介入治疗(PCI)的严重并发症。据报道,这些并发症的发生率<1%。

病例摘要

一名52岁男性患者,患有糖尿病和血脂异常,出现后壁心肌梗死。血管造影显示左旋支(LCX)动脉闭塞。试图使导丝穿过病变部位导致导丝陷入并最终断裂。多种技术和操作未能取出断裂的导丝,其仍留在LCX中。血管内圈套导管也未成功。最终采用三线技术取出了碎片,尽管这导致了冠状动脉穿孔和夹层。穿孔被识别并置入了支架。随后的支架处理了左主干/左前降支动脉区域的夹层,可能是由冠状动脉圈套器所致。这些干预措施对稳定患者病情至关重要,患者得以康复,左心室射血分数为50%,LCX动脉存活。患者在1年随访中病情进展顺利。

讨论

PCI期间冠状动脉导丝断裂是一种罕见事件,常与冠状动脉钙化有关。经皮取出仍然是碎片取出的主要治疗方法;然而,它存在风险。三线技术是一种无需专门设备即可缠绕并取出断裂导丝的较新方法,在取出断裂导丝方面有效。如果无症状,将导丝留在原位被记录为一种有利的方法。本病例强调三线技术可有效地用于从冠状动脉血管中取出断裂的导丝碎片。

https://cdn.ncbi.nlm.nih.gov/pmc/blobs/29a8/11299023/5bd0f1c2d6f9/ytae341f5.jpg
https://cdn.ncbi.nlm.nih.gov/pmc/blobs/29a8/11299023/411737ead5e1/ytae341il2.jpg
https://cdn.ncbi.nlm.nih.gov/pmc/blobs/29a8/11299023/e1e54d2566d9/ytae341f1.jpg
https://cdn.ncbi.nlm.nih.gov/pmc/blobs/29a8/11299023/786e9055bada/ytae341f2.jpg
https://cdn.ncbi.nlm.nih.gov/pmc/blobs/29a8/11299023/7c45f348d65e/ytae341f3.jpg
https://cdn.ncbi.nlm.nih.gov/pmc/blobs/29a8/11299023/545b6c3a11db/ytae341f4.jpg
https://cdn.ncbi.nlm.nih.gov/pmc/blobs/29a8/11299023/5bd0f1c2d6f9/ytae341f5.jpg
https://cdn.ncbi.nlm.nih.gov/pmc/blobs/29a8/11299023/411737ead5e1/ytae341il2.jpg
https://cdn.ncbi.nlm.nih.gov/pmc/blobs/29a8/11299023/e1e54d2566d9/ytae341f1.jpg
https://cdn.ncbi.nlm.nih.gov/pmc/blobs/29a8/11299023/786e9055bada/ytae341f2.jpg
https://cdn.ncbi.nlm.nih.gov/pmc/blobs/29a8/11299023/7c45f348d65e/ytae341f3.jpg
https://cdn.ncbi.nlm.nih.gov/pmc/blobs/29a8/11299023/545b6c3a11db/ytae341f4.jpg
https://cdn.ncbi.nlm.nih.gov/pmc/blobs/29a8/11299023/5bd0f1c2d6f9/ytae341f5.jpg

相似文献

1
Consequences and management of guidewire fracture-entrapment in the left circumflex artery: a case report.左旋支动脉导丝断裂并嵌顿的后果及处理:一例报告
Eur Heart J Case Rep. 2024 Jul 23;8(8):ytae341. doi: 10.1093/ehjcr/ytae341. eCollection 2024 Aug.
2
Attempted retrieval of guidewire fragment using the twisting wire technique causes coronary perfusion: Case report.尝试使用扭线技术取出导丝碎片导致冠状动脉灌注:病例报告。
Medicine (Baltimore). 2024 Apr 19;103(16):e37842. doi: 10.1097/MD.0000000000037842.
3
Hardware Failure as a Rare Complication of Percutaneous Coronary Intervention: A Case Report.硬件故障作为经皮冠状动脉介入治疗的罕见并发症:一例报告
J Tehran Heart Cent. 2021 Oct;16(4):169-173. doi: 10.18502/jthc.v16i4.8603.
4
Consequences and treatment of guidewire entrapment and fracture during percutaneous coronary intervention.经皮冠状动脉介入治疗期间导丝嵌顿和断裂的后果及处理
Cardiovasc Revasc Med. 2016 Mar;17(2):129-33. doi: 10.1016/j.carrev.2015.12.005. Epub 2016 Jan 5.
5
Unprecedented guidewire entrapment salvaged by combined rotational atherectomy and 'Twist-wire' technique: a case report.
Eur Heart J Case Rep. 2024 May 20;8(5):ytae258. doi: 10.1093/ehjcr/ytae258. eCollection 2024 May.
6
Retrieving entrapped guidewire using rotablation technique: case series and literature review.使用旋磨技术取出嵌顿导丝:病例系列及文献综述
Eur Heart J Case Rep. 2022 Jul 1;6(7):ytac261. doi: 10.1093/ehjcr/ytac261. eCollection 2022 Jul.
7
Management of Guidewire Entrapment and Fracture During Percutaneous Coronary Intervention: When All Bailout Techniques Fail!经皮冠状动脉介入治疗中导丝嵌顿和断裂的处理:当所有的抢救技术都失败时!
Tex Heart Inst J. 2023 Mar 1;50(2). doi: 10.14503/THIJ-21-7685.
8
Management of Guidewire Entrapment With Laser Atherectomy.
J Invasive Cardiol. 2017 May;29(5):E61-E62.
9
Fractured guide wire in the main pancreatic duct during ERCP: A case report.内镜逆行胰胆管造影术(ERCP)期间主胰管内导丝断裂:一例报告
Int J Surg Case Rep. 2023 Jan;102:107843. doi: 10.1016/j.ijscr.2022.107843. Epub 2022 Dec 22.
10
Snaring Technique for Removal of Entrapped Coronary Guidewire in the Left Anterior Descending Artery.用于取出左前降支中被困冠状动脉导丝的圈套技术。
Cardiol Res. 2022 Apr;13(2):118-121. doi: 10.14740/cr1369. Epub 2022 Apr 5.

本文引用的文献

1
A Simple Rescue Maneuver to Retrieve Intravascular Foreign Body: The Triple Wire Twisting Technique.一种简单的血管内异物取出的抢救方法:三丝扭转技术。
Ann Vasc Surg. 2021 Aug;75:523-526. doi: 10.1016/j.avsg.2021.03.035. Epub 2021 Apr 26.
2
Iatrogenic catheter-induced ostial coronary artery dissections: Prevalence, management, and mortality from a cohort of 55,968 patients over 10 years.医源性导管所致冠状动脉口夹层:10 年间 55968 例患者的发生率、处理方法和死亡率。
Catheter Cardiovasc Interv. 2021 Oct;98(4):649-655. doi: 10.1002/ccd.29382. Epub 2020 Nov 25.
3
Broken guidewire - A tale of three cases.
折断的导丝——三例病例报告
Indian Heart J. 2015 Dec;67 Suppl 3(Suppl 3):S49-52. doi: 10.1016/j.ihj.2015.07.025. Epub 2016 Jan 14.
4
Retrieval of trapped and broken guide wire with immediate rescue off-pump coronary bypass surgery.通过立即进行非体外循环冠状动脉搭桥手术来取出被困和折断的导丝。
Interact Cardiovasc Thorac Surg. 2014 Sep;19(3):529-31. doi: 10.1093/icvts/ivu164. Epub 2014 May 28.
5
Fatal subacute stent thrombosis induced by guidewire fracture with retained filaments in the coronary artery.冠状动脉内导丝断裂并遗留纤维丝导致致命性亚急性支架内血栓形成。
Korean Circ J. 2013 Nov;43(11):761-5. doi: 10.4070/kcj.2013.43.11.761. Epub 2013 Nov 30.
6
Management of retained intervention guide-wire: a literature review.残留介入导丝的处理:文献综述
Curr Cardiol Rev. 2013 Aug;9(3):260-6. doi: 10.2174/1573403x11309030010.
7
Left main approach for retrieval of retained guidewire fragment.采用左主支入路取出残留导丝碎片。
J Card Surg. 2012 May;27(3):307-8. doi: 10.1111/j.1540-8191.2011.01352.x. Epub 2011 Dec 18.
8
An unusual case of guide wire fractured during primary percutaneous coronary intervention, and two year follow-up.经皮冠状动脉介入治疗中导丝断裂的罕见病例及两年随访。
Kardiol Pol. 2010 Nov;68(11):1291-3.
9
Curriculum in cath lab: coronary hardware--part II. Guidewire selection for coronary angioplasty.
Indian Heart J. 2009 May-Jun;61(3):275-80.
10
Entrapment of hydrophilic coated coronary guidewire tips: which form of management is best?亲水涂层冠状动脉导丝尖端嵌顿:哪种处理方式最佳?
Cardiol J. 2010;17(1):104-8.