Suppr超能文献

种植体失败的多学科管理:一例报告。

Multidisciplinary management of implant failure: A case report.

作者信息

Samadi Alaa, Ismaili Zouheir, El Yamani Amal

机构信息

Department of Prosthodontics, Faculty of Dentistry Mohammed V University in Rabat Rabat Morocco.

Department of Periodontology, Faculty of Dentistry Mohammed V Universityin Rabat Rabat Morocco.

出版信息

Clin Case Rep. 2024 Aug 5;12(8):e9269. doi: 10.1002/ccr3.9269. eCollection 2024 Aug.

Abstract

KEY CLINICAL MESSAGE

This case report presents the interest of multidisciplinary management of extreme peri-implantitis requiring removal of implant emphasizing the different surgical and showing that the ovate pontic of conventional bridge is an optimal alternative for rehabilitation of the premolar sector, despite the fact that its main diffusion has been in the anterior sector due to the high demand aesthetic.

ABSTRACT

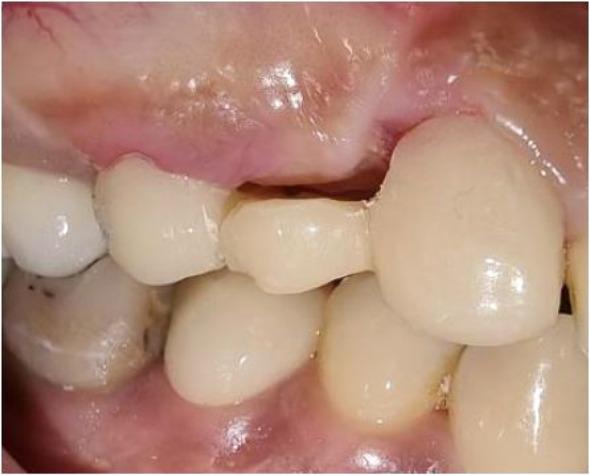
Peri-implantitis leads to gradual peri-implant bone loss. Severe and extreme cases lead to complete implant failure and imply lost implants have to be removed. Residual ridge deformity management after implant removal is one of the factors contributing to improved aesthetic and functional results. Various grafting procedures have been developed to achieve this goal. This report describes a case of implant removal from the upper right first premolar due to advanced peri-implantitis in a 51-year-old female patient. Guided bone regeneration with a alloplastic bone graft and resorbable collagen membrane combined with roll pedicle connective tissue graftt was used for both socket and soft-tissue augmentation. This was combined with ovate design conventional provisional bridge. After a 6-month of healing phase, a perfect adaptation of the marginal gingiva around the provisional restoration was obtained. Cone beam computed tomography revealed significant bone fill and buccolingual dimensional stability. A conventional all-ceramic bridge with an oval pontic design was chosen as a definitive prosthetic solution to compensate for edentulism and maintain the good aesthetic results. According to the encouraging result obtained in this clinical case, the conventional prosthetic restoration associated with surgical reconstruction of failing tissues can be considered as a successful treatment in the case of advanced peri-implantitis requiring implant removal.

摘要

关键临床信息

本病例报告展示了对需要移除种植体的极端种植体周围炎进行多学科管理的意义,强调了不同的手术方式,并表明尽管传统桥体的卵形桥体主要因其高美学需求而在前牙区应用广泛,但它仍是前磨牙区修复的最佳选择。

摘要

种植体周围炎会导致种植体周围骨质逐渐流失。严重和极端的病例会导致种植体完全失败,意味着必须移除丢失的种植体。种植体移除后对剩余牙槽嵴畸形的处理是改善美学和功能效果的因素之一。已经开发了各种植骨手术来实现这一目标。本报告描述了一名51岁女性患者因严重种植体周围炎而拔除右上第一前磨牙种植体的病例。采用异体骨移植和可吸收胶原膜引导骨再生,并结合带蒂结缔组织瓣移植进行牙槽窝和软组织增量。这与卵形设计的传统临时桥体相结合。经过6个月的愈合期,临时修复体周围的边缘牙龈实现了完美贴合。锥形束计算机断层扫描显示骨填充显著且颊舌向尺寸稳定。选择了具有椭圆形桥体设计的传统全瓷桥作为最终修复方案,以弥补牙列缺失并保持良好的美学效果。根据该临床病例获得的令人鼓舞的结果,对于需要移除种植体的晚期种植体周围炎病例,与失败组织的手术重建相关的传统修复体可以被视为一种成功的治疗方法。

https://cdn.ncbi.nlm.nih.gov/pmc/blobs/cec1/11299075/7d8c2805392c/CCR3-12-e9269-g011.jpg

文献AI研究员

20分钟写一篇综述,助力文献阅读效率提升50倍。

立即体验

用中文搜PubMed

大模型驱动的PubMed中文搜索引擎

马上搜索

文档翻译

学术文献翻译模型,支持多种主流文档格式。

立即体验