• 文献检索
  • 文档翻译
  • 深度研究
  • 学术资讯
  • Suppr Zotero 插件Zotero 插件
  • 邀请有礼
  • 套餐&价格
  • 历史记录
应用&插件
Suppr Zotero 插件Zotero 插件浏览器插件Mac 客户端Windows 客户端微信小程序
定价
高级版会员购买积分包购买API积分包
服务
文献检索文档翻译深度研究API 文档MCP 服务
关于我们
关于 Suppr公司介绍联系我们用户协议隐私条款
关注我们

Suppr 超能文献

核心技术专利:CN118964589B侵权必究
粤ICP备2023148730 号-1Suppr @ 2026

文献检索

告别复杂PubMed语法,用中文像聊天一样搜索,搜遍4000万医学文献。AI智能推荐,让科研检索更轻松。

立即免费搜索

文件翻译

保留排版,准确专业,支持PDF/Word/PPT等文件格式,支持 12+语言互译。

免费翻译文档

深度研究

AI帮你快速写综述,25分钟生成高质量综述,智能提取关键信息,辅助科研写作。

立即免费体验

帕唑帕尼成功治疗伴有 、 和 共扩增的未分化多形性肉瘤:一例报告。

Successful pazopanib treatment of undifferentiated pleomorphic sarcoma with coamplification of , and : A case report.

作者信息

Matsuoka Haruki, Yoshida Ken-Ichi, Nakai Sho, Suzuki Rie, Imura Yoshinori, Takami Haruna, Watanabe Makiyo, Wakamatsu Toru, Tamiya Hironari, Outani Hidetatsu, Yagi Toshinari, Kakunaga Shigeki, Takenaka Satoshi

机构信息

Musculoskeletal Oncology Service, Osaka International Cancer Institute, Osaka 541-8567, Japan.

Department of Orthopaedic Surgery, Osaka Police Hospital, Osaka 543-0035, Japan.

出版信息

Mol Clin Oncol. 2024 Jul 29;21(4):69. doi: 10.3892/mco.2024.2767. eCollection 2024 Oct.

DOI:10.3892/mco.2024.2767
PMID:39113850
原文链接:https://pmc.ncbi.nlm.nih.gov/articles/PMC11304161/
Abstract

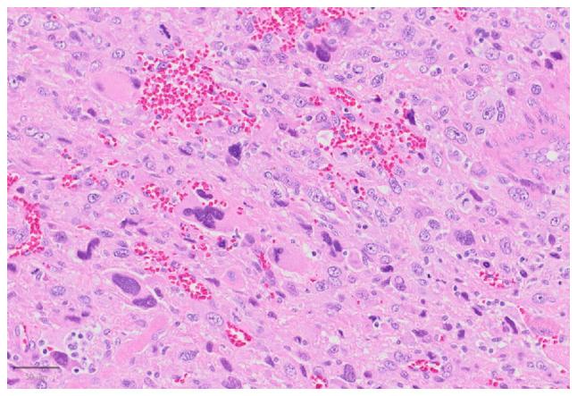
Undifferentiated pleomorphic sarcoma (UPS) is a high-grade, aggressive soft tissue sarcoma (STS) with a poor prognosis, and no definitive or effective treatment is currently available for it. Pazopanib, an orally available multiple tyrosine kinase inhibitor, has been approved for the treatment of advanced STS. The present study documents the case of a 51-year-old man with advanced UPS with coamplification of platelet-derived growth factor receptor A (), vascular endothelial growth factor receptor 2 () and stem cell factor receptor () genes. The patient exhibited a marked and sustained response to pazopanib. The patient presented with a retroperitoneal tumour with pancreatic head lymph node metastasis, and bone metastases in the second/fifth thoracic vertebrae and left femur. Based on the histological analysis of the retroperitoneal tumour and femoral mass, the patient was diagnosed with UPS. Palliative radiation therapy was administered to the left femur and second/fifth thoracic vertebrae to prevent fractures. After radiation therapy, the patient achieved a partial response after eight courses of doxorubicin. A comprehensive genomic profiling analysis (FoundationOne CDx) revealed coamplification of , and genes. Hence, pazopanib was initiated as a second-line treatment. Notably, the retroperitoneal tumour shrank, and no new lesions developed for 3 years after the initiation of pazopanib treatment. This response suggests that the coamplification of , and may predict favourable outcomes in response to pazopanib.

摘要

未分化多形性肉瘤(UPS)是一种高级别、侵袭性软组织肉瘤(STS),预后较差,目前尚无明确或有效的治疗方法。帕唑帕尼是一种口服的多靶点酪氨酸激酶抑制剂,已被批准用于治疗晚期STS。本研究记录了一例51岁患有晚期UPS的男性病例,其血小板衍生生长因子受体A()、血管内皮生长因子受体2()和干细胞因子受体()基因存在共扩增。该患者对帕唑帕尼表现出显著且持续的反应。患者表现为腹膜后肿瘤伴胰头淋巴结转移,以及第二/五胸椎和左股骨骨转移。根据腹膜后肿瘤和股骨肿块的组织学分析,患者被诊断为UPS。对左股骨和第二/五胸椎进行姑息性放射治疗以预防骨折。放射治疗后,患者在接受八个疗程的阿霉素治疗后获得部分缓解。全面基因组图谱分析(FoundationOne CDx)显示、和基因共扩增。因此,开始使用帕唑帕尼作为二线治疗。值得注意的是,腹膜后肿瘤缩小,在开始帕唑帕尼治疗后三年内未出现新病变。这种反应表明、和的共扩增可能预测对帕唑帕尼治疗的良好结果。

https://cdn.ncbi.nlm.nih.gov/pmc/blobs/33cb/11304161/9dccc8ec14f5/mco-21-04-02767-g02.jpg
https://cdn.ncbi.nlm.nih.gov/pmc/blobs/33cb/11304161/4a9fe4520cfe/mco-21-04-02767-g00.jpg
https://cdn.ncbi.nlm.nih.gov/pmc/blobs/33cb/11304161/542400096a99/mco-21-04-02767-g01.jpg
https://cdn.ncbi.nlm.nih.gov/pmc/blobs/33cb/11304161/9dccc8ec14f5/mco-21-04-02767-g02.jpg
https://cdn.ncbi.nlm.nih.gov/pmc/blobs/33cb/11304161/4a9fe4520cfe/mco-21-04-02767-g00.jpg
https://cdn.ncbi.nlm.nih.gov/pmc/blobs/33cb/11304161/542400096a99/mco-21-04-02767-g01.jpg
https://cdn.ncbi.nlm.nih.gov/pmc/blobs/33cb/11304161/9dccc8ec14f5/mco-21-04-02767-g02.jpg

相似文献

1
Successful pazopanib treatment of undifferentiated pleomorphic sarcoma with coamplification of , and : A case report.帕唑帕尼成功治疗伴有 、 和 共扩增的未分化多形性肉瘤:一例报告。
Mol Clin Oncol. 2024 Jul 29;21(4):69. doi: 10.3892/mco.2024.2767. eCollection 2024 Oct.
2
Assessment of Predictive Biomarkers of the Response to Pazopanib Based on an Integrative Analysis of High-grade Soft-tissue Sarcomas: Analysis of a Tumor Sample from a Responder and Patients with Other Soft-tissue Sarcomas.基于高级软组织肉瘤综合分析的帕唑帕尼反应预测生物标志物评估: responder 肿瘤样本和其他软组织肉瘤患者的分析。
Clin Orthop Relat Res. 2020 Nov;478(11):2461-2476. doi: 10.1097/CORR.0000000000001322.
3
Case report: The activity of multi-kinase VEGF inhibitor, Pazopanib, in metastatic undifferentiated round cell sarcomas harboring fusion: clinicopathological series of two cases and literature review.病例报告:多激酶血管内皮生长因子(VEGF)抑制剂帕唑帕尼在携带融合基因的转移性未分化圆形细胞肉瘤中的活性:两例临床病理系列及文献综述
Front Oncol. 2023 Sep 27;13:1215003. doi: 10.3389/fonc.2023.1215003. eCollection 2023.
4
Amplification and overexpression of KIT, PDGFRA, and VEGFR2 in medulloblastomas and primitive neuroectodermal tumors.在髓母细胞瘤和原始神经外胚层肿瘤中 KIT、PDGFRA 和 VEGFR2 的扩增和过表达。
J Neurooncol. 2010 Apr;97(2):217-24. doi: 10.1007/s11060-009-0014-2. Epub 2009 Sep 25.
5
Distinct phenotypic differences associated with differential amplification of receptor tyrosine kinase genes at 4q12 in glioblastoma.胶质母细胞瘤中 4q12 受体酪氨酸激酶基因扩增与不同表型差异相关。
PLoS One. 2013 Aug 21;8(8):e71777. doi: 10.1371/journal.pone.0071777. eCollection 2013.
6
Amplification of KIT, PDGFRA, VEGFR2, and EGFR in gliomas.胶质瘤中KIT、PDGFRA、VEGFR2和EGFR的扩增
Mol Cancer Res. 2006 Dec;4(12):927-34. doi: 10.1158/1541-7786.MCR-06-0085.
7
The Pan-Cancer Landscape of Coamplification of the Tyrosine Kinases KIT, KDR, and PDGFRA.泛癌种中酪氨酸激酶 KIT、KDR 和 PDGFRA 的共扩增全景。
Oncologist. 2020 Jan;25(1):e39-e47. doi: 10.1634/theoncologist.2018-0528. Epub 2019 Oct 11.
8
Amplification of genes encoding KIT, PDGFRalpha and VEGFR2 receptor tyrosine kinases is frequent in glioblastoma multiforme.编码KIT、PDGFRα和VEGFR2受体酪氨酸激酶的基因扩增在多形性胶质母细胞瘤中很常见。
J Pathol. 2005 Oct;207(2):224-31. doi: 10.1002/path.1823.
9
Assessment of the platelet-derived growth factor receptor alpha antibody olaratumab in a panel of patient-derived soft tissue sarcoma xenografts.评估血小板衍生生长因子受体 α 抗体奥拉单抗在一组患者来源的软组织肉瘤异种移植物中的作用。
BMC Cancer. 2019 Jul 22;19(1):724. doi: 10.1186/s12885-019-5872-1.
10
PDGFRa amplification in multiple skin lesions of undifferentiated pleomorphic sarcoma: A clue for intimal sarcoma metastases.未分化多形性肉瘤多发皮肤病变中的血小板衍生生长因子受体α(PDGFRα)扩增:内膜肉瘤转移的线索
J Cutan Pathol. 2017 May;44(5):477-479. doi: 10.1111/cup.12907. Epub 2017 Feb 15.

本文引用的文献

1
Gene expression-based prediction of pazopanib efficacy in sarcoma.基于基因表达的肉瘤帕唑帕尼疗效预测。
Eur J Cancer. 2022 Sep;172:107-118. doi: 10.1016/j.ejca.2022.05.025. Epub 2022 Jun 25.
2
Assessment of Predictive Biomarkers of the Response to Pazopanib Based on an Integrative Analysis of High-grade Soft-tissue Sarcomas: Analysis of a Tumor Sample from a Responder and Patients with Other Soft-tissue Sarcomas.基于高级软组织肉瘤综合分析的帕唑帕尼反应预测生物标志物评估: responder 肿瘤样本和其他软组织肉瘤患者的分析。
Clin Orthop Relat Res. 2020 Nov;478(11):2461-2476. doi: 10.1097/CORR.0000000000001322.
3
The Pan-Cancer Landscape of Coamplification of the Tyrosine Kinases KIT, KDR, and PDGFRA.
泛癌种中酪氨酸激酶 KIT、KDR 和 PDGFRA 的共扩增全景。
Oncologist. 2020 Jan;25(1):e39-e47. doi: 10.1634/theoncologist.2018-0528. Epub 2019 Oct 11.
4
Predicting the prognosis of undifferentiated pleomorphic soft tissue sarcoma: a 20-year experience of 266 cases.未分化多形性软组织肉瘤的预后预测:266例患者的20年经验
ANZ J Surg. 2019 Sep;89(9):1045-1050. doi: 10.1111/ans.15348. Epub 2019 Jul 30.
5
Soft tissue and visceral sarcomas: ESMO-EURACAN Clinical Practice Guidelines for diagnosis, treatment and follow-up.软组织和内脏肉瘤:ESMO-EURACAN诊断、治疗及随访临床实践指南
Ann Oncol. 2018 Oct 1;29(Suppl 4):iv51-iv67. doi: 10.1093/annonc/mdy096.
6
Undifferentiated pleomorphic sarcoma: Factors predictive of adverse outcomes.未分化多形性肉瘤:不良预后的预测因素。
J Am Acad Dermatol. 2018 Nov;79(5):853-859. doi: 10.1016/j.jaad.2018.05.022. Epub 2018 May 19.
7
Efficacy of Larotrectinib in TRK Fusion-Positive Cancers in Adults and Children.拉罗替尼在成人和儿童TRK融合阳性癌症中的疗效。
N Engl J Med. 2018 Feb 22;378(8):731-739. doi: 10.1056/NEJMoa1714448.
8
The role of pazopanib on tumour angiogenesis and in the management of cancers: A review.帕唑帕尼在肿瘤血管生成和癌症治疗中的作用:综述。
Biomed Pharmacother. 2017 Dec;96:768-781. doi: 10.1016/j.biopha.2017.10.058. Epub 2017 Nov 6.
9
Treatment patterns and clinical outcomes with pazopanib in patients with advanced soft tissue sarcomas in a compassionate use setting: results of the SPIRE study.在同情用药背景下,帕唑帕尼治疗晚期软组织肉瘤患者的治疗模式及临床结局:SPIRE研究结果
Acta Oncol. 2017 Dec;56(12):1769-1775. doi: 10.1080/0284186X.2017.1332779. Epub 2017 Jul 19.
10
A phase II study of axitinib (AG-013736) in patients with incurable adenoid cystic carcinoma.阿昔替尼(AG-013736)用于不可治愈性腺样囊性癌患者的II期研究。
Ann Oncol. 2016 Oct;27(10):1902-8. doi: 10.1093/annonc/mdw287. Epub 2016 Aug 26.