Suppr超能文献

揭示罕见病例:神经纤维瘤病患者的巨大颈内静脉动脉瘤:一例报告

Unveiling the uncommon: Giant internal jugular vein aneurysm in a neurofibromatosis patient: A case report.

作者信息

Khan Khalid, Kaya Ahmet, Mahdi Rawan A

机构信息

Department of Radiology; Salmaniya Medical Complex, Building 929, Road 1015, Sanabis 410, P.O. Box: 12, Kingdom of Bahrain.

出版信息

Radiol Case Rep. 2024 Jul 16;19(10):4133-4137. doi: 10.1016/j.radcr.2024.06.042. eCollection 2024 Oct.

Abstract

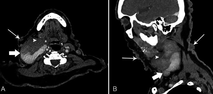
Neurofibromatosis Type 1 (NF1) is a rare autosomal dominant disorder that has a wide array of clinical manifestations. NF1 Vasculopathies constitute 0.4% to 6.4% of the findings and they often develop in the arterial circulation while venous involvement is rare. We present a case of a 73-year-old male with NF1 with an incidental finding of right neck swelling for 2 months. Different radiological modalities were performed, identifying the lesion as an internal jugular vein aneurysm. The patient was managed conservatively as he was asymptomatic in relation to the swelling. NF1 venous vasculopathies are rare but they have detrimental consequences such as rupture and severe hemorrhage in view of the fragility of the aneurysmal wall and the infiltration of the neurofibroma into the vessel. Hence, high clinical suspicion and selective imaging and follow-up is advisable for physicians.

摘要

1型神经纤维瘤病(NF1)是一种罕见的常染色体显性疾病,具有广泛的临床表现。NF1血管病变占所有检查结果的0.4%至6.4%,常发生于动脉循环,而静脉受累罕见。我们报告一例73岁男性NF1患者,偶然发现右颈部肿胀2个月。进行了不同的影像学检查,确定病变为颈内静脉动脉瘤。由于患者肿胀部位无症状,因此采取了保守治疗。鉴于动脉瘤壁的脆弱性以及神经纤维瘤向血管内浸润,NF1静脉血管病变虽罕见,但可导致破裂和严重出血等不良后果。因此,医生应保持高度临床怀疑,并进行选择性影像学检查和随访。

https://cdn.ncbi.nlm.nih.gov/pmc/blobs/cdd4/11305193/de28cccdd38d/gr1.jpg

文献检索

告别复杂PubMed语法,用中文像聊天一样搜索,搜遍4000万医学文献。AI智能推荐,让科研检索更轻松。

立即免费搜索

文件翻译

保留排版,准确专业,支持PDF/Word/PPT等文件格式,支持 12+语言互译。

免费翻译文档

深度研究

AI帮你快速写综述,25分钟生成高质量综述,智能提取关键信息,辅助科研写作。

立即免费体验