Suppr超能文献

韧带样型纤维瘤病患者的临床表现、预后及治疗综述

A Review of the Clinical Presentation, Outcomes, and Treatments of Patients Having Desmoid Tumors.

作者信息

Figueredo Carlos, Schiano Thomas

机构信息

Department of Gastroenterology and Hepatology, Montefiore Medical Center/Albert Einstein College of Medicine, New York, New York.

Recanati-Miller Transplantation Institute, The Mount Sinai Medical Center, New York, New York.

出版信息

Gastro Hep Adv. 2023 Jan 20;2(4):588-600. doi: 10.1016/j.gastha.2023.01.010. eCollection 2023.

Abstract

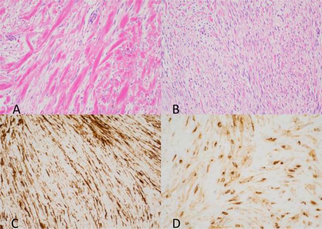
Desmoid tumors (DTs) are deep fibroblastic neoplasms that arise from musculo-aponeurotic stromal elements. DTs may result in significant morbidity by infiltrating vital anatomic structures. Their mortality is often due to the local aggressiveness, most commonly when intra-abdominal in location. Some indolent DTs can be observed expectantly; infiltrative tumors require an aggressive and multidisciplinary approach and are offered conservative therapies such as nonsteroidal anti-inflammatory drugs or antiestrogens when surgery is not feasible. Comparably, chemotherapy is considered for those cases not amenable to surgery or radiation. Bowel resection and at times intestinal transplantation may be necessary. However, DTs may recur postsurgery making long-term management of these patients. Herein, we review the genetics, clinical presentations, outcomes, and treatments of DTs.

摘要

硬纤维瘤(DTs)是起源于肌筋膜基质成分的深部纤维瘤性肿瘤。硬纤维瘤可通过浸润重要解剖结构而导致显著的发病率。其死亡率通常归因于局部侵袭性,最常见于位于腹腔内时。一些惰性硬纤维瘤可进行观察等待;浸润性肿瘤需要积极的多学科方法,在手术不可行时可提供非甾体抗炎药或抗雌激素等保守治疗。同样,对于那些不适合手术或放疗的病例可考虑化疗。有时可能需要进行肠切除甚至肠道移植。然而,硬纤维瘤术后可能复发,这给这些患者的长期管理带来挑战。在此,我们综述硬纤维瘤的遗传学、临床表现、治疗结果及治疗方法。

https://cdn.ncbi.nlm.nih.gov/pmc/blobs/b46a/11308132/d2e5750442b8/gr1.jpg

文献检索

告别复杂PubMed语法,用中文像聊天一样搜索,搜遍4000万医学文献。AI智能推荐,让科研检索更轻松。

立即免费搜索

文件翻译

保留排版,准确专业,支持PDF/Word/PPT等文件格式,支持 12+语言互译。

免费翻译文档

深度研究

AI帮你快速写综述,25分钟生成高质量综述,智能提取关键信息,辅助科研写作。

立即免费体验