Suppr超能文献

异常揭秘:一例I型肺动脉至左心房瘘的精彩病例研究

Anomalies Unveiled: A Fascinating Case Study of Type I Pulmonary Artery-to-Left Atrium Fistula.

作者信息

Shahid Samreen, Ahmad Mehtab, Abqari Shaad, Yusuf Masood Syed

机构信息

Radiodiagnosis, Jawaharlal Nehru Medical College, Aligarh Muslim University, Aligarh, IND.

Pediatrics, Jawaharlal Nehru Medical College, Aligarh Muslim University, Aligarh, IND.

出版信息

Cureus. 2024 Jul 12;16(7):e64435. doi: 10.7759/cureus.64435. eCollection 2024 Jul.

Abstract

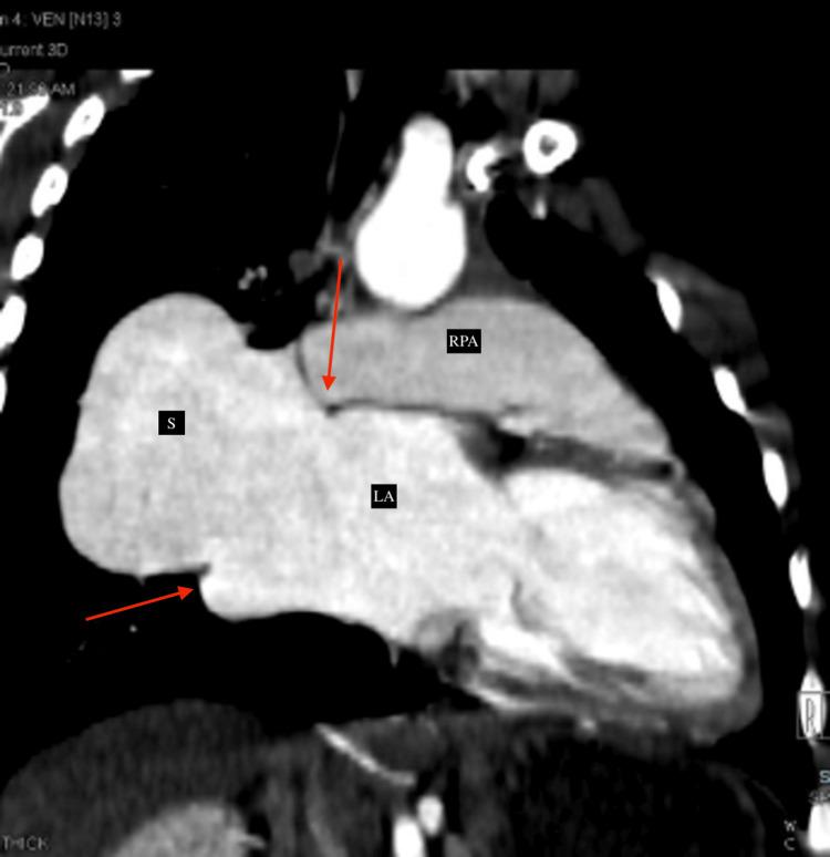
The pulmonary artery-to-left atrium (LA) fistula is one of the rare and unique structural causes of silent cyanosis. This correctable abnormality can be identified by having a high index of clinical suspicion and appropriate investigations using echocardiography and cardiac computed tomography (CT). We report an eight-year-old child who had worsening exertional dyspnea, long-standing central cyanosis, and recurrent infections. A large-sized fistula connecting the right pulmonary artery (RPA) to the LA with all the right- and left-sided pulmonary veins showed normal drainage into the LA, suggesting a type I RPA-to-LA fistula, which was diagnosed on cardiac CT. Percutaneous closure using the occluder device is planned as further management for the patient.

摘要

肺动脉至左心房瘘是导致隐匿性发绀的罕见且独特的结构性病因之一。这种可纠正的异常情况可通过高度的临床怀疑指数以及使用超声心动图和心脏计算机断层扫描(CT)进行适当检查来识别。我们报告一名8岁儿童,其劳力性呼吸困难加重、长期中心性发绀且反复感染。一个连接右肺动脉(RPA)与左心房的大型瘘管,所有左右肺静脉均正常引流至左心房,提示为I型RPA至左心房瘘,这是通过心脏CT诊断出来的。计划使用封堵器进行经皮封堵作为该患者的进一步治疗措施。

https://cdn.ncbi.nlm.nih.gov/pmc/blobs/18c0/11322686/be0f06a7f9ae/cureus-0016-00000064435-i01.jpg

文献AI研究员

20分钟写一篇综述,助力文献阅读效率提升50倍。

立即体验

用中文搜PubMed

大模型驱动的PubMed中文搜索引擎

马上搜索

文档翻译

学术文献翻译模型,支持多种主流文档格式。

立即体验