Suppr超能文献

手术瓣环成形环裂开后经导管缘对缘修复治疗心房功能性二尖瓣反流:一例报告

Successful transcatheter edge-to-edge repair for atrial functional mitral regurgitation after surgical annuloplasty ring dehiscence: a case report.

作者信息

Kosaki Ryota, Mochizuki Yasuhide, Toyosaki Eiji, Fukuoka Hiroto, Shinke Toshiro

机构信息

Division of Cardiology, Department of Medicine, Showa University School of Medicine, 1-5-8 Hatanodai, Shinagawa-ku, Tokyo 142-8555, Japan.

出版信息

Eur Heart J Case Rep. 2024 Aug 6;8(8):ytae396. doi: 10.1093/ehjcr/ytae396. eCollection 2024 Aug.

Abstract

BACKGROUND

Annuloplasty ring dehiscence (ARD) after surgical mitral valve repair is a rare complication, which causes recurrent mitral regurgitation (MR) and is associated with adverse outcomes in patients with a prohibitive risk of repeat surgery. However, a patient developed severe MR, when challenging transcatheter edge-to-edge repair (TEER) after surgical ring dehiscence, it should be considering the relative efficacy and safety.

CASE SUMMARY

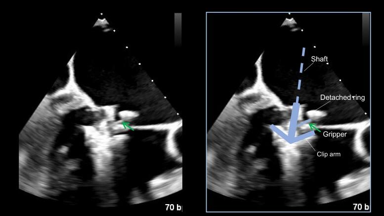
An 89-year-old man underwent mitral valve repair with an annuloplasty ring for moderate atrial functional MR (AFMR). Post-operative transthoracic echocardiography on Day 7 suggested a dislodged mitral annuloplasty ring and recurrent moderate AFMR. However, the MR developed severely, which led to two hospitalizations for congestive heart failure in the past year. Transoesophageal echocardiography (TOE) was performed carefully to ensure that the TEER clip did not interfere with the dislodged annuloplasty ring. Consequently, only the therapeutic target on the medial side of the A2-P2 region was approached posteriorly behind the peri-ring space, without gripper interference.

DISCUSSION

Transcatheter edge-to-edge repair using the G4-MitraClip® system is feasible and safe in patients with recurrent severe AFMR after surgical mitral valve repair concomitant with ARD. Meticulous simulation with pre-operative TOE is one of the crucial steps for successful outcomes.

摘要

背景

二尖瓣手术修复后瓣环成形环裂开(ARD)是一种罕见的并发症,可导致二尖瓣反流(MR)复发,对于再次手术风险极高的患者,该并发症与不良预后相关。然而,当一名患者在手术瓣环裂开后进行具有挑战性的经导管缘对缘修复(TEER)时出现严重MR,应考虑其相对疗效和安全性。

病例摘要

一名89岁男性因中度心房功能性二尖瓣反流(AFMR)接受二尖瓣瓣环成形术修复。术后第7天经胸超声心动图显示二尖瓣瓣环成形环移位且AFMR复发。然而,二尖瓣反流严重,导致患者在过去一年因充血性心力衰竭住院两次。仔细进行经食管超声心动图(TOE)检查以确保TEER夹不会干扰移位的瓣环成形环。因此,仅在A2-P2区域内侧的治疗靶点在瓣环周围间隙后方经后路处理,未受到夹钳干扰。

讨论

对于二尖瓣手术修复合并ARD后复发严重AFMR的患者,使用G4-MitraClip®系统进行经导管缘对缘修复是可行且安全的。术前TOE的细致模拟是取得成功结果的关键步骤之一。

https://cdn.ncbi.nlm.nih.gov/pmc/blobs/c68b/11328528/eca8920591b7/ytae396f1.jpg

文献检索

告别复杂PubMed语法,用中文像聊天一样搜索,搜遍4000万医学文献。AI智能推荐,让科研检索更轻松。

立即免费搜索

文件翻译

保留排版,准确专业,支持PDF/Word/PPT等文件格式,支持 12+语言互译。

免费翻译文档

深度研究

AI帮你快速写综述,25分钟生成高质量综述,智能提取关键信息,辅助科研写作。

立即免费体验