• 文献检索
  • 文档翻译
  • 深度研究
  • 学术资讯
  • Suppr Zotero 插件Zotero 插件
  • 邀请有礼
  • 套餐&价格
  • 历史记录
应用&插件
Suppr Zotero 插件Zotero 插件浏览器插件Mac 客户端Windows 客户端微信小程序
定价
高级版会员购买积分包购买API积分包
服务
文献检索文档翻译深度研究API 文档MCP 服务
关于我们
关于 Suppr公司介绍联系我们用户协议隐私条款
关注我们

Suppr 超能文献

核心技术专利:CN118964589B侵权必究
粤ICP备2023148730 号-1Suppr @ 2026

文献检索

告别复杂PubMed语法,用中文像聊天一样搜索,搜遍4000万医学文献。AI智能推荐,让科研检索更轻松。

立即免费搜索

文件翻译

保留排版,准确专业,支持PDF/Word/PPT等文件格式,支持 12+语言互译。

免费翻译文档

深度研究

AI帮你快速写综述,25分钟生成高质量综述,智能提取关键信息,辅助科研写作。

立即免费体验

BRD4 特异性 PROTAC 通过下调 KLF5 表达部分抑制基底样乳腺癌。

BRD4-specific PROTAC inhibits basal-like breast cancer partially through downregulating KLF5 expression.

机构信息

Pathology Department, The First Affiliated Hospital of Shenzhen University, Shenzhen Second People's Hospital, Shenzhen, China.

MOE Key Laboratory of Protein Sciences, School of Pharmaceutical Sciences, MOE Key Laboratory of Bioorganic Phosphorus Chemistry & Chemical Biology, Tsinghua University, Beijing, China.

出版信息

Oncogene. 2024 Sep;43(39):2914-2926. doi: 10.1038/s41388-024-03121-1. Epub 2024 Aug 20.

DOI:10.1038/s41388-024-03121-1
PMID:39164524
原文链接:https://pmc.ncbi.nlm.nih.gov/articles/PMC11420083/
Abstract

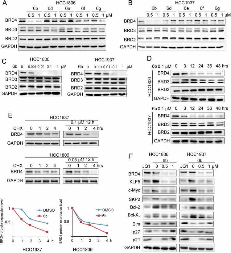
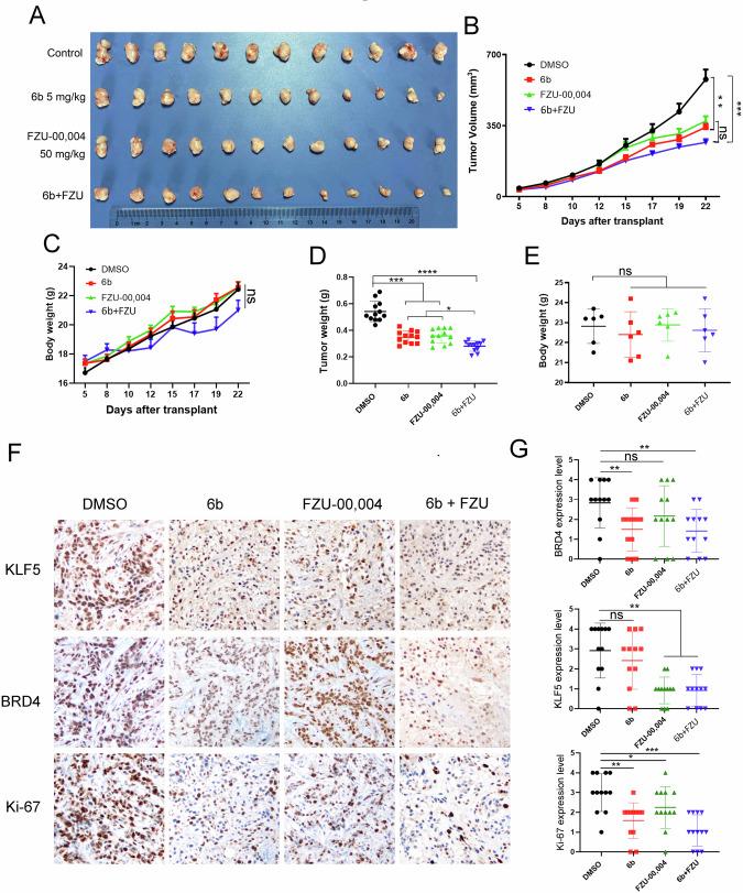
Interest in the use of proteolysis-targeting chimeras (PROTACs) in cancer therapy has increased in recent years. Targeting bromodomain and extra terminal domain (BET) proteins, especially bromodomain-containing protein 4 (BRD4), has shown inhibitory effects on basal-like breast cancer (BLBC). However, the bioavailability of BRD4 PROTACs is restricted by their non-selective biodegradability and low tumor-targeting ability. We demonstrated that 6b (BRD4 PROTAC) suppresses BLBC cell growth by targeting BRD4, but not BRD2 and BRD3, for cereblon (CRBN)-mediated ubiquitination and proteasomal degradation. Compound 6b also inhibited expression of Krüppel-like factor 5 (KLF5) transcription factor, a key oncoprotein in BLBC, controlled by BRD4-mediated super-enhancers. Moreover, 6b inhibited HCC1806 tumor growth in a xenograft mouse model. The combination of 6b and KLF5 inhibitors showed additive effects on BLBC. These results suggest that BRD4-specific PROTAC can effectively inhibit BLBC by downregulating KLF5, and that 6b has potential as a novel therapeutic drug for BLBC.

摘要

近年来,人们对利用蛋白水解靶向嵌合体(PROTACs)治疗癌症的兴趣日益增加。靶向溴结构域和末端结构域(BET)蛋白,特别是含有溴结构域的蛋白 4(BRD4),已显示出对基底样乳腺癌(BLBC)的抑制作用。然而,BRD4 PROTAC 的生物利用度受到其非选择性生物降解性和低肿瘤靶向能力的限制。我们证明,6b(BRD4 PROTAC)通过针对 cereblon(CRBN)介导的泛素化和蛋白酶体降解来抑制 BLBC 细胞生长,而不针对 BRD2 和 BRD3。化合物 6b 还抑制了 BLBC 中关键癌蛋白 Krüppel 样因子 5(KLF5)转录因子的表达,该转录因子受 BRD4 介导的超级增强子控制。此外,6b 抑制了异种移植小鼠模型中 HCC1806 肿瘤的生长。6b 与 KLF5 抑制剂的联合使用对 BLBC 具有相加作用。这些结果表明,BRD4 特异性 PROTAC 可通过下调 KLF5 有效抑制 BLBC,并且 6b 具有作为 BLBC 新型治疗药物的潜力。

https://cdn.ncbi.nlm.nih.gov/pmc/blobs/c7de/11420083/64ab62e939a5/41388_2024_3121_Fig8_HTML.jpg
https://cdn.ncbi.nlm.nih.gov/pmc/blobs/c7de/11420083/6ba970cb5494/41388_2024_3121_Fig1_HTML.jpg
https://cdn.ncbi.nlm.nih.gov/pmc/blobs/c7de/11420083/8f2bd51face4/41388_2024_3121_Fig2_HTML.jpg
https://cdn.ncbi.nlm.nih.gov/pmc/blobs/c7de/11420083/8c7b4fbdb4c3/41388_2024_3121_Fig3_HTML.jpg
https://cdn.ncbi.nlm.nih.gov/pmc/blobs/c7de/11420083/bf58e299bfde/41388_2024_3121_Fig4_HTML.jpg
https://cdn.ncbi.nlm.nih.gov/pmc/blobs/c7de/11420083/8b9660800bc2/41388_2024_3121_Fig5_HTML.jpg
https://cdn.ncbi.nlm.nih.gov/pmc/blobs/c7de/11420083/3f38d0704085/41388_2024_3121_Fig6_HTML.jpg
https://cdn.ncbi.nlm.nih.gov/pmc/blobs/c7de/11420083/abef2f6f14c0/41388_2024_3121_Fig7_HTML.jpg
https://cdn.ncbi.nlm.nih.gov/pmc/blobs/c7de/11420083/64ab62e939a5/41388_2024_3121_Fig8_HTML.jpg
https://cdn.ncbi.nlm.nih.gov/pmc/blobs/c7de/11420083/6ba970cb5494/41388_2024_3121_Fig1_HTML.jpg
https://cdn.ncbi.nlm.nih.gov/pmc/blobs/c7de/11420083/8f2bd51face4/41388_2024_3121_Fig2_HTML.jpg
https://cdn.ncbi.nlm.nih.gov/pmc/blobs/c7de/11420083/8c7b4fbdb4c3/41388_2024_3121_Fig3_HTML.jpg
https://cdn.ncbi.nlm.nih.gov/pmc/blobs/c7de/11420083/bf58e299bfde/41388_2024_3121_Fig4_HTML.jpg
https://cdn.ncbi.nlm.nih.gov/pmc/blobs/c7de/11420083/8b9660800bc2/41388_2024_3121_Fig5_HTML.jpg
https://cdn.ncbi.nlm.nih.gov/pmc/blobs/c7de/11420083/3f38d0704085/41388_2024_3121_Fig6_HTML.jpg
https://cdn.ncbi.nlm.nih.gov/pmc/blobs/c7de/11420083/abef2f6f14c0/41388_2024_3121_Fig7_HTML.jpg
https://cdn.ncbi.nlm.nih.gov/pmc/blobs/c7de/11420083/64ab62e939a5/41388_2024_3121_Fig8_HTML.jpg

相似文献

1
BRD4-specific PROTAC inhibits basal-like breast cancer partially through downregulating KLF5 expression.BRD4 特异性 PROTAC 通过下调 KLF5 表达部分抑制基底样乳腺癌。
Oncogene. 2024 Sep;43(39):2914-2926. doi: 10.1038/s41388-024-03121-1. Epub 2024 Aug 20.
2
Discovery of novel small molecule induced selective degradation of the bromodomain and extra-terminal (BET) bromodomain protein BRD4 and BRD2 with cellular potencies.新型小分子诱导的溴结构域和末端(BET)溴结构域蛋白 BRD4 和 BRD2 选择性降解的发现及其细胞效力。
Bioorg Med Chem. 2020 Jan 1;28(1):115181. doi: 10.1016/j.bmc.2019.115181. Epub 2019 Nov 11.
3
Inhibition of super enhancer downregulates the expression of KLF5 in basal-like breast cancers.抑制超级增强子下调基底样乳腺癌中 KLF5 的表达。
Int J Biol Sci. 2019 Jun 10;15(8):1733-1742. doi: 10.7150/ijbs.35138. eCollection 2019.
4
LN-439A, a novel BAP1 inhibitor, suppresses the growth of basal-like breast cancer by degrading KLF5.新型BAP1抑制剂LN-439A通过降解KLF5抑制基底样乳腺癌的生长。
Acta Pharmacol Sin. 2025 Mar;46(3):715-727. doi: 10.1038/s41401-024-01361-1. Epub 2024 Oct 8.
5
Co-targeting BET bromodomain BRD4 and RAC1 suppresses growth, stemness and tumorigenesis by disrupting the c-MYC-G9a-FTH1axis and downregulating HDAC1 in molecular subtypes of breast cancer.靶向 BET 溴结构域蛋白 BRD4 和 RAC1 通过破坏 c-MYC-G9a-FTH1 轴和下调乳腺癌分子亚型中的 HDAC1 来抑制生长、干性和肿瘤发生。
Int J Biol Sci. 2021 Oct 25;17(15):4474-4492. doi: 10.7150/ijbs.62236. eCollection 2021.
6
Histone Deacetylase Inhibitors (HDACi) Promote KLF5 Ubiquitination and Degradation in Basal-like Breast Cancer.组蛋白去乙酰化酶抑制剂(HDACi)促进基底样乳腺癌中 KLF5 的泛素化和降解。
Int J Biol Sci. 2022 Feb 28;18(5):2104-2115. doi: 10.7150/ijbs.65322. eCollection 2022.
7
Tumor-targeted PROTAC prodrug nanoplatform enables precise protein degradation and combination cancer therapy.肿瘤靶向 PROTAC 前药纳米平台实现精确蛋白降解和联合癌症治疗。
Acta Pharmacol Sin. 2024 Aug;45(8):1740-1751. doi: 10.1038/s41401-024-01266-z. Epub 2024 Apr 12.
8
Peptide Inhibitor Targeting the Extraterminal Domain in BRD4 Potently Suppresses Breast Cancer Both and .靶向BRD4末端外结构域的肽抑制剂可有效抑制乳腺癌的生长和转移。
J Med Chem. 2024 Apr 25;67(8):6658-6672. doi: 10.1021/acs.jmedchem.4c00141. Epub 2024 Apr 3.
9
The BET PROTAC inhibitor GNE-987 displays anti-tumor effects by targeting super-enhancers regulated gene in osteosarcoma.BET PROTAC 抑制剂 GNE-987 通过靶向骨肉瘤中超增强子调控的基因发挥抗肿瘤作用。
BMC Cancer. 2024 Aug 1;24(1):928. doi: 10.1186/s12885-024-12691-y.
10
Selective inhibition of the BD2 bromodomain of BET proteins in prostate cancer.选择性抑制前列腺癌中 BET 蛋白的 BD2 溴结构域。
Nature. 2020 Feb;578(7794):306-310. doi: 10.1038/s41586-020-1930-8. Epub 2020 Jan 22.

引用本文的文献

1
Targeting the Undruggable: Recent Progress in PROTAC-Induced Transcription Factor Degradation.靶向不可成药靶点:PROTAC诱导的转录因子降解研究的最新进展
Cancers (Basel). 2025 Jun 3;17(11):1871. doi: 10.3390/cancers17111871.
2
Epigenetic reader chromodomain as a potential therapeutic target.表观遗传阅读器染色质结构域作为一个潜在的治疗靶点。
RSC Chem Biol. 2025 Apr 11. doi: 10.1039/d4cb00324a.
3
Insights from protein frustration analysis of BRD4-cereblon degrader ternary complexes show separation of strong from weak degraders.BRD4-脑啡肽降解剂三元复合物的蛋白质错配分析见解显示了强效降解剂与弱效降解剂的区分。

本文引用的文献

1
Targeted Degradation of CDK4/6: An Innovative Approach to Overcoming Cancer Drug Resistance.CDK4/6的靶向降解:克服癌症耐药性的创新方法。
ACS Med Chem Lett. 2023 Aug 22;14(9):1162-1164. doi: 10.1021/acsmedchemlett.3c00356. eCollection 2023 Sep 14.
2
DNA damage chemotherapeutic drugs suppress basal-like breast cancer growth by down-regulating the transcription of the FOXO1-KLF5 axis.DNA损伤化疗药物通过下调FOXO1-KLF5轴的转录来抑制基底样乳腺癌的生长。
Genes Dis. 2023 May 2;11(1):91-94. doi: 10.1016/j.gendis.2023.03.028. eCollection 2024 Jan.
3
Selective degradation of cellular BRD3 and BRD4-L promoted by PROTAC molecules in six cancer cell lines.
RSC Med Chem. 2025 Feb 10. doi: 10.1039/d4md00962b.
六种癌细胞系中 PROTAC 分子促进细胞 BRD3 和 BRD4-L 的选择性降解。
Eur J Med Chem. 2023 Jun 5;254:115381. doi: 10.1016/j.ejmech.2023.115381. Epub 2023 Apr 14.
4
c-Myc-Targeting PROTAC Based on a TNA-DNA Bivalent Binder for Combination Therapy of Triple-Negative Breast Cancer.基于 TNA-DNA 双价结合物的 c-Myc 靶向 PROTAC 用于三阴性乳腺癌的联合治疗。
J Am Chem Soc. 2023 Apr 26;145(16):9334-9342. doi: 10.1021/jacs.3c02619. Epub 2023 Apr 17.
5
BRD4: New hope in the battle against glioblastoma.BRD4:胶质母细胞瘤治疗的新希望。
Pharmacol Res. 2023 May;191:106767. doi: 10.1016/j.phrs.2023.106767. Epub 2023 Apr 13.
6
KLF5 inhibition potentiates anti-PD1 efficacy by enhancing CD8 T-cell-dependent antitumor immunity.KLF5 抑制通过增强 CD8 T 细胞依赖性抗肿瘤免疫增强抗 PD-1 疗效。
Theranostics. 2023 Feb 21;13(4):1381-1400. doi: 10.7150/thno.82182. eCollection 2023.
7
The BRD4 Inhibitor dBET57 Exerts Anticancer Effects by Targeting Superenhancer-Related Genes in Neuroblastoma.BRD4 抑制剂 dBET57 通过靶向神经母细胞瘤中超增强子相关基因发挥抗癌作用。
J Immunol Res. 2022 Nov 16;2022:7945884. doi: 10.1155/2022/7945884. eCollection 2022.
8
Engineered bioorthogonal POLY-PROTAC nanoparticles for tumour-specific protein degradation and precise cancer therapy.用于肿瘤特异性蛋白降解和精准癌症治疗的工程化生物正交 POLY-PROTAC 纳米颗粒。
Nat Commun. 2022 Jul 26;13(1):4318. doi: 10.1038/s41467-022-32050-4.
9
Chemical degrader enhances the treatment of androgen receptor-positive triple-negative breast cancer.化学降解剂增强雄激素受体阳性三阴性乳腺癌的治疗效果。
Arch Biochem Biophys. 2022 May 30;721:109194. doi: 10.1016/j.abb.2022.109194. Epub 2022 Mar 23.
10
Biological Effects of BET Inhibition by OTX015 (MK-8628) and JQ1 in NPM1-Mutated (NPM1c) Acute Myeloid Leukemia (AML).OTX015(MK-8628)和JQ1对NPM1突变(NPM1c)急性髓系白血病(AML)中BET抑制的生物学效应
Biomedicines. 2021 Nov 17;9(11):1704. doi: 10.3390/biomedicines9111704.