Suppr超能文献

左心耳封堵术治疗心房颤动患者不完全内皮化的临床发生率及相关性。

Clinical incidence and relevance of incomplete endothelialization in atrial fibrillation patients with Left Atrial Appendage Closure.

机构信息

Department of Cardiology, Shanghai Sixth People's Hospital, Shanghai Jiao Tong University School of Medicine, Shanghai, China.

Department of Emergency, Shanghai Sixth People's Hospital, Shanghai Jiao Tong University School of Medicine, Shanghai, China.

出版信息

BMC Cardiovasc Disord. 2024 Aug 23;24(1):439. doi: 10.1186/s12872-024-04113-5.

Abstract

BACKGROUND

The objective of this study is to investigate the incidence, potential risk factors, and clinical outcomes of incomplete device endothelialization (IDE) in atrial fibrillation (AF) patients undergoing Watchman left atrial appendage closure (LAAC).

METHODS

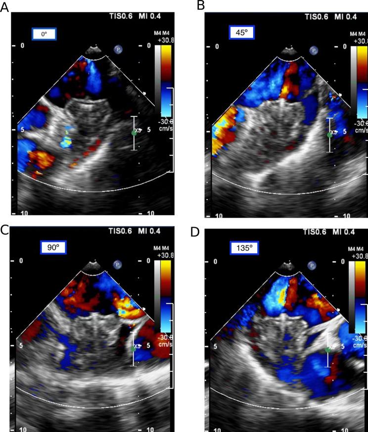
In this study, 68 AF patients who underwent successful implantation of the Watchman device without peri-device leak (PDL) during follow-up were included. The endothelialization status was assessed using Transesophageal echocardiography (TEE) and LAA computed tomography angiography (CTA) at 6 weeks and 6 months post-implantation. Adverse cerebro-cardiac events were documented at one-year follow-up. Baseline characteristics, including age, device sizes, and clinical indicators, were analyzed as potential predictors for IDE.

RESULTS

IDE was observed in 70.6% and 67.6% of patients at 6 weeks and 6 months after implantation, respectively. Higher levels of high-density lipoprotein cholesterol (HDL-C) [odds ratio (OR): 15.109, 95% confidence interval (CI): 1.637-139.478, p = 0.017 and OR: 11.015, 95% CI: 1.365-88.896, p = 0.024] and lower aspartate aminotransferase (AST) (OR 0.924, 95% CI: 0.865-0.986, p = 0.017 and OR: 0.930, 95% CI: 0.874-0.990, p = 0.023) at baseline were found to be significantly associated with IDE at 6 weeks and 6 months, respectively, although no significant difference in adverse cerebro-cardiac events was noted between incomplete and complete DE groups during 1-year follow-up CONCLUSIONS: IDE is found to be a prevalent occurrence in humans following LAAC. Elevated HDL-C and reduced AST levels are shown to be linked to an increased risk of IDE after LAAC.

摘要

背景

本研究旨在探讨在接受 Watchman 左心耳封堵(LAAC)的心房颤动(AF)患者中,不完全设备内皮化(IDE)的发生率、潜在风险因素和临床结局。

方法

本研究纳入了 68 例在随访期间未发生设备周围漏(PDL)的成功植入 Watchman 装置的 AF 患者。在植入后 6 周和 6 个月时,使用经食管超声心动图(TEE)和 LAA 计算机断层扫描血管造影(CTA)评估内皮化状态。在 1 年随访时记录不良心脑事件。分析包括年龄、设备大小和临床指标在内的基线特征,作为 IDE 的潜在预测因素。

结果

植入后 6 周和 6 个月时,IDE 在 70.6%和 67.6%的患者中观察到。较高的高密度脂蛋白胆固醇(HDL-C)水平[比值比(OR):15.109,95%置信区间(CI):1.637-139.478,p=0.017 和 OR:11.015,95% CI:1.365-88.896,p=0.024]和较低的天门冬氨酸氨基转移酶(AST)水平(OR 0.924,95% CI:0.865-0.986,p=0.017 和 OR:0.930,95% CI:0.874-0.990,p=0.023)与植入后 6 周和 6 个月时的 IDE 显著相关,但在 1 年随访期间,不完全和完全 DE 组之间未观察到不良心脑事件的显著差异。

结论

LAAC 后 IDE 在人体中普遍存在。升高的 HDL-C 和降低的 AST 水平与 LAAC 后 IDE 的风险增加相关。

https://cdn.ncbi.nlm.nih.gov/pmc/blobs/bc85/11342651/8db1664634fe/12872_2024_4113_Fig1_HTML.jpg

文献检索

告别复杂PubMed语法,用中文像聊天一样搜索,搜遍4000万医学文献。AI智能推荐,让科研检索更轻松。

立即免费搜索

文件翻译

保留排版,准确专业,支持PDF/Word/PPT等文件格式,支持 12+语言互译。

免费翻译文档

深度研究

AI帮你快速写综述,25分钟生成高质量综述,智能提取关键信息,辅助科研写作。

立即免费体验