Suppr超能文献

Smilisca phaeota 的软骨颅及其发育,以及对 Lalagobatrachia 软骨颅发育特征模式的考虑。

The larval chondrocranium and its development in Smilisca phaeota with considerations of patterns characteristic for the chondrocranial development of Lalagobatrachia.

机构信息

Howard University College of Medicine, 520 W St NW, Washington, DC, 20059, USA.

Institute of Zoology and Evolutionary Research, Friedrich-Schiller-University, Jena, Germany.

出版信息

Sci Rep. 2024 Aug 26;14(1):19779. doi: 10.1038/s41598-024-70724-9.

Abstract

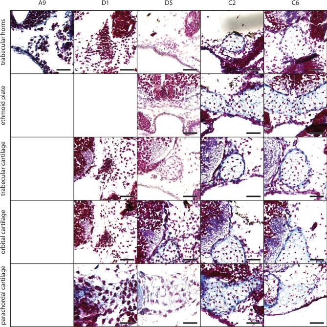
Several studies describe the development of the chondrocranium of vertebrates. The details in these studies vary a lot, which makes it hard to compare developmental patterns and identify evolutionary trends. Therefore, we aim to close this gap for anurans, which is the largest order of amphibians. We present here a detailed description of the chondrocranium morphology and development of Smilisca phaeota, the New Granada cross-banded tree frog. The anatomy was described for the larvae at or older than Gossner stage 31 and before ossification starts. Following this, we describe the development of the chondrocranium from Gossner stages 19-26. Early in Gossner stage 19 no precursors of any cartilages are visible, while later in that stage the mesodermal Anlage of Meckel's cartilage was observed. In the subsequent stages more and more mesodermal anlagen become identifiable, followed by chondrification, and final differentiation of the cartilage elements. We used serial sections to study all the developmental stages and additionally utilized cleared and stained specimens and CT scan data. The latter were also used for the 3D reconstruction of the chondrocranium. We previously studied several species and compared these developmental patterns with S. phaeota, revealing potentially characteristic patterns significant for Lalagobatrachia, a clade that includes over 7000 frog species. These include (1) the suprarostral alae develop before the suprarostral corpus, (2) the infrarostral cartilage chondrifies late, after the chondrification of ceratobranchial 1, and (3) the ceratohyal body is the first element to show chondrocytes and to chondrify. However, with only six species studied so far, our data only provide a basis for future studies and developing hypotheses about the ancestral developmental pattern in anurans.

摘要

已有多项研究描述了脊椎动物的软颅骨发育过程。这些研究的细节差异很大,这使得比较发育模式和识别进化趋势变得困难。因此,我们旨在填补无尾两栖类这一大的两栖动物类群的这一空白。我们在此呈现了关于新格兰纳达横纹树蛙的软颅骨形态和发育的详细描述。解剖学描述的对象是在 Gossner 阶段 31 或更晚的时期,且在骨化开始之前的幼虫。在此之后,我们描述了从 Gossner 阶段 19-26 的软颅骨发育。在 Gossner 阶段 19 的早期,没有任何软骨前体可见,而在该阶段后期观察到了 Meckel 软骨的中胚层原基。在随后的阶段,越来越多的中胚层原基变得可识别,随后软骨化和软骨元素的最终分化。我们使用连续切片来研究所有的发育阶段,并额外利用了透明和染色标本和 CT 扫描数据。后两者还用于软颅骨的 3D 重建。我们之前研究了几个物种,并将这些发育模式与 S. phaeota 进行了比较,揭示了可能对包含超过 7000 种蛙类的 Lalagobatrachia 进化枝具有特征性的模式。这些模式包括:(1)上腭突翼在上腭突体之前发育,(2)下腭突软骨在第一对角鳃软骨软骨化后很晚才软骨化,(3)耳骨体是第一个显示软骨细胞并软骨化的元素。然而,由于迄今为止仅研究了六个物种,我们的数据仅为未来的研究提供了基础,并为无尾两栖类的祖先发育模式发展假说提供了依据。

https://cdn.ncbi.nlm.nih.gov/pmc/blobs/2737/11347657/2f5d4122e858/41598_2024_70724_Fig1_HTML.jpg

文献检索

告别复杂PubMed语法,用中文像聊天一样搜索,搜遍4000万医学文献。AI智能推荐,让科研检索更轻松。

立即免费搜索

文件翻译

保留排版,准确专业,支持PDF/Word/PPT等文件格式,支持 12+语言互译。

免费翻译文档

深度研究

AI帮你快速写综述,25分钟生成高质量综述,智能提取关键信息,辅助科研写作。

立即免费体验