Suppr超能文献

一名年轻成人双侧尺骨鹰嘴骨折的罕见病例及两年随访

A Rare Case of a Bilateral Olecranon Fracture in a Young Adult With a Two-Year Follow-Up.

作者信息

Nair Abhishek, Phalak Mukesh O, Chaudhari Ajinkya K

机构信息

Department of Orthopaedics, Dr. D. Y. Patil Medical College, Hospital & Research Centre, Dr. D. Y. Patil Vidyapeeth (Deemed to be University), Pune, IND.

出版信息

Cureus. 2024 Aug 4;16(8):e66140. doi: 10.7759/cureus.66140. eCollection 2024 Aug.

Abstract

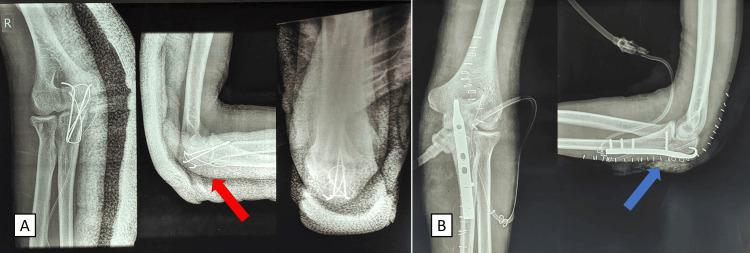
Olecranon fractures are common in orthopedic wards and can be traumatic or pathological in origin. There are very few cases of bilateral olecranon fractures without any associated injuries to the long bones in the literature. We present a unique case of a young 21-year-old male who has an isolated bilateral olecranon fracture following a road traffic accident. The patient had a closed fracture of the ulna on both sides without any associated injuries or neurovascular compromise. Since the patient was young and had good muscle strength preoperatively, we planned fixation of both sides. The patient underwent open reduction and internal fixation with tension band wiring on the right side, which was his dominant side. The left side was operated on by open reduction and internal fixation with an anatomical plate. The patient was started on elbow range of motion on the right side from the secondpostoperative day and started basic activities such as having food independently by the 10th day postoperatively. The physiotherapy was continued in a stepwise manner, and by the sixth week, the patient had a full range of motion on both sides. The patient had resumed his activities of daily living independently by the sixthweek following the surgery. Such cases are rare, and a case-based management plan must be devised for each patient, considering contributing factors such as age, bone quality, osteoporosis, underlying medical comorbidities, functional demands, and muscle strength. We demonstrated a good clinical and radiological outcome by using tension band wiring on the dominant side with a stable olecranon fracture and plating done on the non-dominant side, which had an unstable displaced olecranon fracture.

摘要

鹰嘴骨折在骨科病房较为常见,其成因可能是创伤性的或病理性的。文献中极少有双侧鹰嘴骨折且长骨无任何相关损伤的病例。我们报告一例独特病例,一名21岁年轻男性在道路交通事故后发生孤立性双侧鹰嘴骨折。患者双侧尺骨闭合性骨折,无任何相关损伤或神经血管损伤。由于患者年轻且术前肌力良好,我们计划对双侧进行固定。患者右侧(优势侧)接受切开复位张力带钢丝内固定术,左侧采用解剖钢板切开复位内固定术。术后第二天开始右侧肘关节活动度训练,术后第10天开始独立进食等基本活动。物理治疗逐步进行,到第六周时,患者双侧肘关节活动度恢复正常。术后第六周,患者已能独立恢复日常生活活动。此类病例罕见,必须针对每位患者制定基于病例的管理计划,考虑年龄、骨质、骨质疏松、基础疾病、功能需求和肌力等相关因素。我们通过对优势侧稳定的鹰嘴骨折采用张力带钢丝固定,对非优势侧不稳定移位的鹰嘴骨折采用钢板固定,取得了良好的临床和影像学效果。

https://cdn.ncbi.nlm.nih.gov/pmc/blobs/d6f1/11374141/44fa4b853bb5/cureus-0016-00000066140-i01.jpg

文献AI研究员

20分钟写一篇综述,助力文献阅读效率提升50倍。

立即体验

用中文搜PubMed

大模型驱动的PubMed中文搜索引擎

马上搜索

文档翻译

学术文献翻译模型,支持多种主流文档格式。

立即体验