• 文献检索
  • 文档翻译
  • 深度研究
  • 学术资讯
  • Suppr Zotero 插件Zotero 插件
  • 邀请有礼
  • 套餐&价格
  • 历史记录
应用&插件
Suppr Zotero 插件Zotero 插件浏览器插件Mac 客户端Windows 客户端微信小程序
定价
高级版会员购买积分包购买API积分包
服务
文献检索文档翻译深度研究API 文档MCP 服务
关于我们
关于 Suppr公司介绍联系我们用户协议隐私条款
关注我们

Suppr 超能文献

核心技术专利:CN118964589B侵权必究
粤ICP备2023148730 号-1Suppr @ 2026

文献检索

告别复杂PubMed语法,用中文像聊天一样搜索,搜遍4000万医学文献。AI智能推荐,让科研检索更轻松。

立即免费搜索

文件翻译

保留排版,准确专业,支持PDF/Word/PPT等文件格式,支持 12+语言互译。

免费翻译文档

深度研究

AI帮你快速写综述,25分钟生成高质量综述,智能提取关键信息,辅助科研写作。

立即免费体验

伴有双侧肾包膜下血肿的腺苷脱氨酶2缺乏症(DADA2):一例报告及文献复习

Deficiency of adenosine deaminase 2 (DADA2) with bilateral renal subcapsular hematoma: a case report and literature review.

作者信息

Tuqan Anas R, Barabrah Anas M, Zaben Basel A, Shehadeh Mohammad Hakam, Adas Motaz M

机构信息

Faculty of Medicine, Al-Quds University, Jerusalem.

Department of Internal Medicine, Palestine Medical Complex, Ramallah, Palestine.

出版信息

Ann Med Surg (Lond). 2024 Jun 4;86(9):5476-5480. doi: 10.1097/MS9.0000000000001812. eCollection 2024 Sep.

DOI:10.1097/MS9.0000000000001812
PMID:39239002
原文链接:https://pmc.ncbi.nlm.nih.gov/articles/PMC11374158/
Abstract

INTRODUCTION AND IMPORTANCE

Deficiency of adenosine deaminase 2 (DADA2) is a rare autosomal recessive genetic disorder caused by loss-of-function mutations in the adenosine deaminase 2 (ADA2) gene. This condition primarily manifests in pediatric cases before the age of 10 years, with sporadic cases reported in adults. ADA2 is a critical enzyme involved in macrophage differentiation and immune homeostasis. The clinical manifestations of DADA2 vary widely and can affect multiple organ systems. Our case uniquely highlights an infrequent DADA2 manifestation.

CASE PRESENTATION

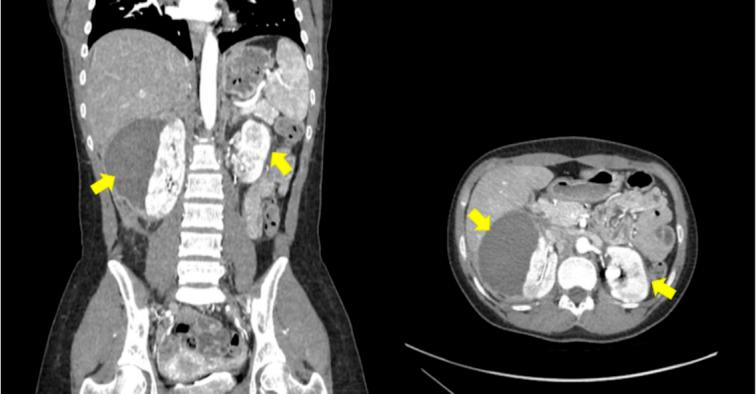
An 18-year-old female presented with right flank pain, fever, and a history of joint pain, Raynaud's phenomenon, livedo-like rash, and chronic abdominal pain. Physical examination revealed subcapsular hematoma in the right kidney. Further evaluation showed positive serologic tests for rheumatoid factor and antinuclear antibody (ANA). Genetic testing confirmed DADA2 homozygosity. The patient was discharged on the appropriate medications.

CLINICAL DISCUSSION

DADA2 is associated with vascular dysfunction and systemic vasculopathy. The clinical manifestations of DADA2 encompass a spectrum of organ involvement, including the skin, nervous system, gastrointestinal system, renal system, and the cardiovascular system. Early recognition and diagnosis are crucial for appropriate management.

CONCLUSION

This case report highlights the diverse clinical presentations of ADA2 deficiency, specifically focusing on bilateral renal subcapsular hematoma. This finding emphasizes the importance of considering DADA2 as a differential diagnosis in patients presenting with unexplained renal manifestations. Increased awareness of the varied clinical presentations of DADA2 will contribute to earlier diagnosis, appropriate management, and improved outcomes in patients affected by this rare genetic disorder.

摘要

引言与重要性

腺苷脱氨酶2(DADA2)缺乏症是一种罕见的常染色体隐性遗传病,由腺苷脱氨酶2(ADA2)基因的功能丧失突变引起。这种病症主要在10岁之前的儿科病例中出现,成人中也有散发病例报道。ADA2是一种参与巨噬细胞分化和免疫稳态的关键酶。DADA2的临床表现差异很大,可影响多个器官系统。我们的病例独特地突出了一种不常见的DADA2表现。

病例介绍

一名18岁女性出现右侧胁腹疼痛、发热,并有关节疼痛、雷诺现象、类网状青斑皮疹和慢性腹痛病史。体格检查发现右肾包膜下血肿。进一步评估显示类风湿因子和抗核抗体(ANA)血清学检测呈阳性。基因检测证实为DADA2纯合子。患者出院时服用了适当的药物。

临床讨论

DADA2与血管功能障碍和系统性血管病有关。DADA2的临床表现包括一系列器官受累,包括皮肤、神经系统、胃肠道系统、肾脏系统和心血管系统。早期识别和诊断对于适当的管理至关重要。

结论

本病例报告突出了ADA2缺乏症的多种临床表现,特别关注双侧肾包膜下血肿。这一发现强调了在出现不明原因肾脏表现的患者中考虑DADA2作为鉴别诊断的重要性。提高对DADA2各种临床表现的认识将有助于受这种罕见遗传病影响的患者早期诊断、适当管理并改善预后。

https://cdn.ncbi.nlm.nih.gov/pmc/blobs/0313/11374158/7571971ebc99/ms9-86-5476-g002.jpg
https://cdn.ncbi.nlm.nih.gov/pmc/blobs/0313/11374158/4d0d3166079d/ms9-86-5476-g001.jpg
https://cdn.ncbi.nlm.nih.gov/pmc/blobs/0313/11374158/7571971ebc99/ms9-86-5476-g002.jpg
https://cdn.ncbi.nlm.nih.gov/pmc/blobs/0313/11374158/4d0d3166079d/ms9-86-5476-g001.jpg
https://cdn.ncbi.nlm.nih.gov/pmc/blobs/0313/11374158/7571971ebc99/ms9-86-5476-g002.jpg

相似文献

1
Deficiency of adenosine deaminase 2 (DADA2) with bilateral renal subcapsular hematoma: a case report and literature review.伴有双侧肾包膜下血肿的腺苷脱氨酶2缺乏症(DADA2):一例报告及文献复习
Ann Med Surg (Lond). 2024 Jun 4;86(9):5476-5480. doi: 10.1097/MS9.0000000000001812. eCollection 2024 Sep.
2
Deficiency of Adenosine Deaminase 2 (DADA2): Updates on the Phenotype, Genetics, Pathogenesis, and Treatment.腺苷脱氨酶 2 缺乏症(DADA2):表型、遗传学、发病机制和治疗的最新进展。
J Clin Immunol. 2018 Jul;38(5):569-578. doi: 10.1007/s10875-018-0525-8. Epub 2018 Jun 27.
3
Adult-onset deficiency of adenosine deaminase 2-a case report and literature review.成人发作型腺苷脱氨酶 2 缺乏症-病例报告及文献复习。
Clin Rheumatol. 2021 Oct;40(10):4325-4339. doi: 10.1007/s10067-021-05587-w. Epub 2021 Feb 26.
4
ADA2 deficiency (DADA2) misdiagnosed as systemic onset juvenile idiopathic arthritis in a child carrying a novel compound heterozygous mutation: a case report.一名携带新型复合杂合突变的儿童中,腺苷脱氨酶2缺乏症(DADA2)被误诊为全身型幼年特发性关节炎:病例报告
Transl Pediatr. 2023 Jan 31;12(1):97-103. doi: 10.21037/tp-22-261. Epub 2022 Dec 28.
5
Testicular ischemia in deficiency of adenosine deaminase 2 (DADA2).腺苷脱氨酶 2 缺乏症所致的睾丸缺血。
Pediatr Rheumatol Online J. 2019 Jul 10;17(1):39. doi: 10.1186/s12969-019-0334-5.
6
A Unique Case of Deficiency of Adenosine Deaminase 2 Single in a Young Adult Patient.一名年轻成年患者单独出现腺苷脱氨酶2缺乏的独特病例。
Cureus. 2023 Jan 2;15(1):e33273. doi: 10.7759/cureus.33273. eCollection 2023 Jan.
7
A case series of ten plus one deficiency of adenosine deaminase 2 (DADA2) patients in Iran.伊朗十加一腺苷脱氨酶 2 (DADA2) 缺乏症患者病例系列。
Pediatr Rheumatol Online J. 2023 Jun 13;21(1):55. doi: 10.1186/s12969-023-00838-3.
8
Adenosine Deaminase Two and Immunoglobulin M Accurately Differentiate Adult Sneddon's Syndrome of Unknown Cause.腺苷脱氨酶2和免疫球蛋白M可准确鉴别不明原因的成人斯奈登综合征。
Cerebrovasc Dis. 2018;46(5-6):257-264. doi: 10.1159/000495794. Epub 2019 Jan 15.
9
Monogenic polyarteritis: the lesson of ADA2 deficiency.单基因性多动脉炎:ADA2缺乏症的教训。
Pediatr Rheumatol Online J. 2016 Sep 8;14(1):51. doi: 10.1186/s12969-016-0111-7.
10
Identification of Novel Adenosine Deaminase 2 Gene Variants and Varied Clinical Phenotype in Pediatric Vasculitis.在儿科血管炎中鉴定新型腺苷脱氨酶 2 基因突变及不同的临床表型。
Arthritis Rheumatol. 2019 Oct;71(10):1747-1755. doi: 10.1002/art.40913. Epub 2019 Aug 26.

本文引用的文献

1
Evaluation and Management of Deficiency of Adenosine Deaminase 2: An International Consensus Statement.腺苷脱氨酶 2 缺乏症的评估和管理:国际共识声明。
JAMA Netw Open. 2023 May 1;6(5):e2315894. doi: 10.1001/jamanetworkopen.2023.15894.
2
Deficiency of adenosine deaminase 2: a challenging differential diagnosis of polyarteritis nodosa.腺苷脱氨酶2缺乏症:结节性多动脉炎的一项具有挑战性的鉴别诊断。
Reumatologia. 2023;61(1):45-54. doi: 10.5114/reum.2023.124878. Epub 2023 Mar 8.
3
A Report of 2 Cases of Kidney Involvement in ADA2 Deficiency: Different Disease Phenotypes and the Tissue Response to Type I Interferon.
ADA2 缺陷致肾损害 2 例报告:不同疾病表型及组织对Ⅰ型干扰素的反应
Am J Kidney Dis. 2022 Nov;80(5):677-682. doi: 10.1053/j.ajkd.2022.05.008. Epub 2022 Jul 9.
4
Adult-onset deficiency of adenosine deaminase 2-a case report and literature review.成人发作型腺苷脱氨酶 2 缺乏症-病例报告及文献复习。
Clin Rheumatol. 2021 Oct;40(10):4325-4339. doi: 10.1007/s10067-021-05587-w. Epub 2021 Feb 26.
5
Polyarteritis nodosa and deficiency of adenosine deaminase 2 - Shared genealogy, generations apart.结节性多动脉炎和腺苷脱氨酶 2 缺乏症——相隔几代的共同谱系。
Clin Immunol. 2020 Jun;215:108411. doi: 10.1016/j.clim.2020.108411. Epub 2020 Apr 7.
6
ADA2 Deficiency: Case Series of Five Patients with Varying Phenotypes.ADA2 缺乏症:五例表型各异的患者病例系列。
J Clin Immunol. 2020 Feb;40(2):253-258. doi: 10.1007/s10875-019-00734-0. Epub 2019 Dec 17.
7
Adenosine Deaminase Two and Immunoglobulin M Accurately Differentiate Adult Sneddon's Syndrome of Unknown Cause.腺苷脱氨酶2和免疫球蛋白M可准确鉴别不明原因的成人斯奈登综合征。
Cerebrovasc Dis. 2018;46(5-6):257-264. doi: 10.1159/000495794. Epub 2019 Jan 15.
8
A 9.5-year-old boy with recurrent neurological manifestations and severe hypertension, treated initially for polyarteritis nodosa, was subsequently diagnosed with adenosine deaminase type 2 deficiency (DADA2) which responded to anti-TNF-α.一名 9.5 岁男孩出现反复的神经表现和严重高血压,最初被诊断为结节性多动脉炎,随后被诊断为腺苷脱氨酶 2 型缺乏症(DADA2),对 TNF-α 拮抗剂治疗有反应。
Paediatr Int Child Health. 2020 Feb;40(1):65-68. doi: 10.1080/20469047.2018.1559495. Epub 2019 Jan 15.
9
Deficiency of Adenosine Deaminase 2 (DADA2): Updates on the Phenotype, Genetics, Pathogenesis, and Treatment.腺苷脱氨酶 2 缺乏症(DADA2):表型、遗传学、发病机制和治疗的最新进展。
J Clin Immunol. 2018 Jul;38(5):569-578. doi: 10.1007/s10875-018-0525-8. Epub 2018 Jun 27.
10
Survival with cardiac-resynchronization therapy in mild heart failure.轻度心力衰竭患者接受心脏再同步化治疗的生存率。
N Engl J Med. 2014 May 1;370(18):1694-701. doi: 10.1056/NEJMoa1401426. Epub 2014 Mar 30.