• 文献检索
  • 文档翻译
  • 深度研究
  • 学术资讯
  • Suppr Zotero 插件Zotero 插件
  • 邀请有礼
  • 套餐&价格
  • 历史记录
应用&插件
Suppr Zotero 插件Zotero 插件浏览器插件Mac 客户端Windows 客户端微信小程序
定价
高级版会员购买积分包购买API积分包
服务
文献检索文档翻译深度研究API 文档MCP 服务
关于我们
关于 Suppr公司介绍联系我们用户协议隐私条款
关注我们

Suppr 超能文献

核心技术专利:CN118964589B侵权必究
粤ICP备2023148730 号-1Suppr @ 2026

文献检索

告别复杂PubMed语法,用中文像聊天一样搜索,搜遍4000万医学文献。AI智能推荐,让科研检索更轻松。

立即免费搜索

文件翻译

保留排版,准确专业,支持PDF/Word/PPT等文件格式,支持 12+语言互译。

免费翻译文档

深度研究

AI帮你快速写综述,25分钟生成高质量综述,智能提取关键信息,辅助科研写作。

立即免费体验

人脐带间充质干细胞在 F344RG 大鼠体内的临床前安全性及毒性机制研究。

Study on Preclinical Safety and Toxic Mechanism of Human Umbilical Cord Mesenchymal Stem Cells in F344RG Rats.

机构信息

National Institutes for Food and Drug Control, Chinese Academy of Medical Sciences & Peking Union Medical College, Beijing, China.

National Institutes for Food and Drug Control, National Center for Safety Evaluation of Drugs, Key Laboratory of Beijing for Safety Evaluation of Drugs, Beijing, China.

出版信息

Stem Cell Rev Rep. 2024 Nov;20(8):2236-2252. doi: 10.1007/s12015-024-10780-w. Epub 2024 Sep 7.

DOI:10.1007/s12015-024-10780-w
PMID:39243336
原文链接:https://pmc.ncbi.nlm.nih.gov/articles/PMC11554750/
Abstract

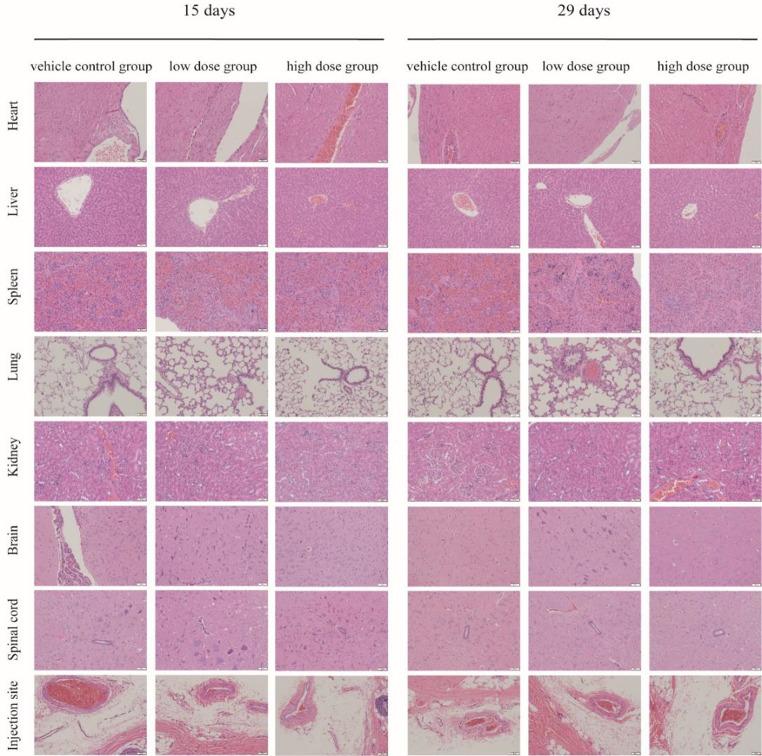
Mesenchymal stem cells have made remarkable progress in recent years. Many studies have reported that human umbilical cord mesenchymal stem cells (hUC-MSCs) have no toxicity, but thromboembolism appeared in patients treated with hUC-MSCs. Therefore, people are still worried about the safety of clinical application. The study aims to determine the safety, potential toxic mechanism and biodistribution of hUC-MSCs. F344RG rats were given 5 or 50 million cells/kg of hUC-MSCs by single administration in compliance with Good Laboratory Practice standards. Standard toxicity was performed. RNA sequencing was then performed to explore the potential toxic mechanisms. In parallel, the biodistribution of hUC-MSCs was examined. The dose of 5 million cells/kg hUC-MSCs had no obvious toxicity on symptom, weight, food intake, hematology, serum biochemistry, urine biochemistry, cytokines, and histopathology. However, blood-tinged secretions in the urethral orifice and 20% mortality occurred at 50 million cells/kg. Disseminated intravascular coagulopathy (DIC) is the leading cause of death. hUC-MSCs significantly upregulated complement and coagulation cascade pathways gene expression, resulting in DIC. Besides, hUC-MSCs upregulated fibrinolytic system suppressor genes A2m, Serping1 and Serpinf2. hUC-MSCs survived in rats for less than 28 days, no hUC-MSC was detected in tissues outside the lungs. There was no toxicity in F344RG rats at 5 million cells/kg, but some toxicities were detected at 50 million cells/kg. hUC-MSCs significantly upregulated complement and coagulation cascade pathways, upregulated the expression of fibrinolytic system suppressor genes A2m, Serping1 and Serpinf2, to inhibit fibrinolytic system, caused DIC, which provided a new insight into the toxic mechanism of hUC-MSCs.

摘要

近年来,间充质干细胞取得了显著的进展。许多研究报告称,人脐带间充质干细胞(hUC-MSCs)没有毒性,但在接受 hUC-MSCs 治疗的患者中出现了血栓栓塞。因此,人们仍然担心其临床应用的安全性。本研究旨在确定 hUC-MSCs 的安全性、潜在的毒性机制和生物分布。F344RG 大鼠按照良好实验室规范标准,单次给予 5 或 5000 万个细胞/kg 的 hUC-MSCs,并进行标准毒性检测。然后进行 RNA 测序,以探讨潜在的毒性机制。同时,检测 hUC-MSCs 的生物分布。500 万个细胞/kg 的 hUC-MSCs 剂量对症状、体重、摄食量、血液学、血清生化学、尿液生化学、细胞因子和组织病理学无明显毒性。然而,在 5000 万个细胞/kg 时,出现尿道口带血分泌物和 20%的死亡率。弥散性血管内凝血(DIC)是死亡的主要原因。hUC-MSCs 显著上调补体和凝血级联途径基因表达,导致 DIC。此外,hUC-MSCs 上调纤维蛋白溶解系统抑制剂基因 A2m、Serping1 和 Serpinf2。hUC-MSCs 在大鼠体内的存活时间不到 28 天,在肺部以外的组织中未检测到 hUC-MSC。500 万个细胞/kg 的 F344RG 大鼠无毒性,但 5000 万个细胞/kg 时出现一些毒性。hUC-MSCs 显著上调补体和凝血级联途径,上调纤维蛋白溶解系统抑制剂基因 A2m、Serping1 和 Serpinf2 的表达,抑制纤维蛋白溶解系统,导致 DIC,为 hUC-MSCs 的毒性机制提供了新的见解。

https://cdn.ncbi.nlm.nih.gov/pmc/blobs/9bf9/11554750/8037b0a15f18/12015_2024_10780_Fig15_HTML.jpg
https://cdn.ncbi.nlm.nih.gov/pmc/blobs/9bf9/11554750/6d81aaa22327/12015_2024_10780_Fig1_HTML.jpg
https://cdn.ncbi.nlm.nih.gov/pmc/blobs/9bf9/11554750/e1a94d506c78/12015_2024_10780_Fig2_HTML.jpg
https://cdn.ncbi.nlm.nih.gov/pmc/blobs/9bf9/11554750/1b4c794b193f/12015_2024_10780_Fig3_HTML.jpg
https://cdn.ncbi.nlm.nih.gov/pmc/blobs/9bf9/11554750/b70f179d8e60/12015_2024_10780_Fig4_HTML.jpg
https://cdn.ncbi.nlm.nih.gov/pmc/blobs/9bf9/11554750/0935a7baa762/12015_2024_10780_Fig5_HTML.jpg
https://cdn.ncbi.nlm.nih.gov/pmc/blobs/9bf9/11554750/8ab68be1c34f/12015_2024_10780_Fig6_HTML.jpg
https://cdn.ncbi.nlm.nih.gov/pmc/blobs/9bf9/11554750/d32f8746d6ad/12015_2024_10780_Fig7_HTML.jpg
https://cdn.ncbi.nlm.nih.gov/pmc/blobs/9bf9/11554750/4813ff4a5570/12015_2024_10780_Fig8_HTML.jpg
https://cdn.ncbi.nlm.nih.gov/pmc/blobs/9bf9/11554750/31f84a7eb40f/12015_2024_10780_Fig9_HTML.jpg
https://cdn.ncbi.nlm.nih.gov/pmc/blobs/9bf9/11554750/fe9dcce307bc/12015_2024_10780_Fig10_HTML.jpg
https://cdn.ncbi.nlm.nih.gov/pmc/blobs/9bf9/11554750/2e362b97fef9/12015_2024_10780_Fig11_HTML.jpg
https://cdn.ncbi.nlm.nih.gov/pmc/blobs/9bf9/11554750/1ec4e5776526/12015_2024_10780_Fig12_HTML.jpg
https://cdn.ncbi.nlm.nih.gov/pmc/blobs/9bf9/11554750/f3923d86039f/12015_2024_10780_Fig13_HTML.jpg
https://cdn.ncbi.nlm.nih.gov/pmc/blobs/9bf9/11554750/7d204980690b/12015_2024_10780_Fig14_HTML.jpg
https://cdn.ncbi.nlm.nih.gov/pmc/blobs/9bf9/11554750/8037b0a15f18/12015_2024_10780_Fig15_HTML.jpg
https://cdn.ncbi.nlm.nih.gov/pmc/blobs/9bf9/11554750/6d81aaa22327/12015_2024_10780_Fig1_HTML.jpg
https://cdn.ncbi.nlm.nih.gov/pmc/blobs/9bf9/11554750/e1a94d506c78/12015_2024_10780_Fig2_HTML.jpg
https://cdn.ncbi.nlm.nih.gov/pmc/blobs/9bf9/11554750/1b4c794b193f/12015_2024_10780_Fig3_HTML.jpg
https://cdn.ncbi.nlm.nih.gov/pmc/blobs/9bf9/11554750/b70f179d8e60/12015_2024_10780_Fig4_HTML.jpg
https://cdn.ncbi.nlm.nih.gov/pmc/blobs/9bf9/11554750/0935a7baa762/12015_2024_10780_Fig5_HTML.jpg
https://cdn.ncbi.nlm.nih.gov/pmc/blobs/9bf9/11554750/8ab68be1c34f/12015_2024_10780_Fig6_HTML.jpg
https://cdn.ncbi.nlm.nih.gov/pmc/blobs/9bf9/11554750/d32f8746d6ad/12015_2024_10780_Fig7_HTML.jpg
https://cdn.ncbi.nlm.nih.gov/pmc/blobs/9bf9/11554750/4813ff4a5570/12015_2024_10780_Fig8_HTML.jpg
https://cdn.ncbi.nlm.nih.gov/pmc/blobs/9bf9/11554750/31f84a7eb40f/12015_2024_10780_Fig9_HTML.jpg
https://cdn.ncbi.nlm.nih.gov/pmc/blobs/9bf9/11554750/fe9dcce307bc/12015_2024_10780_Fig10_HTML.jpg
https://cdn.ncbi.nlm.nih.gov/pmc/blobs/9bf9/11554750/2e362b97fef9/12015_2024_10780_Fig11_HTML.jpg
https://cdn.ncbi.nlm.nih.gov/pmc/blobs/9bf9/11554750/1ec4e5776526/12015_2024_10780_Fig12_HTML.jpg
https://cdn.ncbi.nlm.nih.gov/pmc/blobs/9bf9/11554750/f3923d86039f/12015_2024_10780_Fig13_HTML.jpg
https://cdn.ncbi.nlm.nih.gov/pmc/blobs/9bf9/11554750/7d204980690b/12015_2024_10780_Fig14_HTML.jpg
https://cdn.ncbi.nlm.nih.gov/pmc/blobs/9bf9/11554750/8037b0a15f18/12015_2024_10780_Fig15_HTML.jpg

相似文献

1
Study on Preclinical Safety and Toxic Mechanism of Human Umbilical Cord Mesenchymal Stem Cells in F344RG Rats.人脐带间充质干细胞在 F344RG 大鼠体内的临床前安全性及毒性机制研究。
Stem Cell Rev Rep. 2024 Nov;20(8):2236-2252. doi: 10.1007/s12015-024-10780-w. Epub 2024 Sep 7.
2
Subarachnoid transplantation of human umbilical cord mesenchymal stem cell in rodent model with subacute incomplete spinal cord injury: Preclinical safety and efficacy study.蛛网膜下腔移植人脐带间充质干细胞治疗亚急性不完全性脊髓损伤的实验研究:临床前安全性和有效性研究。
Exp Cell Res. 2020 Oct 15;395(2):112184. doi: 10.1016/j.yexcr.2020.112184. Epub 2020 Jul 21.
3
Bio-distribution and toxicity potential of human umbilical cord mesenchymal stem cells in cynomolgus monkeys.人脐带间充质干细胞在食蟹猴体内的生物分布和毒性潜力。
Sci Rep. 2024 May 28;14(1):12251. doi: 10.1038/s41598-024-63118-4.
4
Co-Transplantation of Human Umbilical Cord Mesenchymal Stem Cells and Human Neural Stem Cells Improves the Outcome in Rats with Spinal Cord Injury.人脐带间充质干细胞与人神经干细胞共移植改善脊髓损伤大鼠的预后。
Cell Transplant. 2019 Jul;28(7):893-906. doi: 10.1177/0963689719844525. Epub 2019 Apr 23.
5
[Protective Effects of Intraventricular Transplanted Human Umbilical Cord-derived Mesenchymal Stem Cells on Hypoxic Ischemic Brain Damages in Rats].[脑室内移植人脐带间充质干细胞对大鼠缺氧缺血性脑损伤的保护作用]
Sichuan Da Xue Xue Bao Yi Xue Ban. 2017 Mar;48(2):179-185.
6
Safety, Efficacy and Bio-Distribution Analysis of Exosomes Derived From Human Umbilical Cord Mesenchymal Stem Cells for Effective Treatment of Bronchopulmonary Dysplasia by Intranasal Administration in Mice Model.人脐带间充质干细胞来源的外泌体经鼻给药对小鼠模型支气管肺发育不良有效治疗的安全性、有效性及生物分布分析
Int J Nanomedicine. 2025 Feb 27;20:2521-2553. doi: 10.2147/IJN.S501843. eCollection 2025.
7
Investigating the differential therapeutic efficacy and mechanisms of human umbilical cord mesenchymal stem cells at various passages in osteoarthritis treatment.研究不同传代数的人脐带间充质干细胞治疗骨关节炎的差异疗效及机制。
Tissue Cell. 2024 Oct;90:102499. doi: 10.1016/j.tice.2024.102499. Epub 2024 Jul 31.
8
Enhancement of angiogenic effects by hypoxia-preconditioned human umbilical cord-derived mesenchymal stem cells in a mouse model of hindlimb ischemia.缺氧预处理的人脐带间充质干细胞对后肢缺血小鼠模型血管生成作用的增强
Cell Biol Int. 2016 Jan;40(1):27-35. doi: 10.1002/cbin.10519. Epub 2015 Aug 17.
9
Liraglutide in combination with human umbilical cord mesenchymal stem cell could improve liver lesions by modulating TLR4/NF-kB inflammatory pathway and oxidative stress in T2DM/NAFLD rats.利拉鲁肽联合人脐带间充质干细胞通过调节 TLR4/NF-κB 炎症通路和氧化应激改善 2 型糖尿病/非酒精性脂肪性肝病大鼠的肝损伤。
Tissue Cell. 2020 Oct;66:101382. doi: 10.1016/j.tice.2020.101382. Epub 2020 May 12.
10
Human umbilical cord-derived mesenchymal stem cells (hUC-MSCs) alleviate excessive autophagy of ovarian granular cells through VEGFA/PI3K/AKT/mTOR pathway in premature ovarian failure rat model.人脐带间充质干细胞(hUC-MSCs)通过 VEGFA/PI3K/AKT/mTOR 通路减轻卵巢早衰大鼠模型中卵巢颗粒细胞的过度自噬。
J Ovarian Res. 2023 Sep 30;16(1):198. doi: 10.1186/s13048-023-01278-z.

引用本文的文献

1
The therapeutic potential of different mesenchymal stem cells and their derived exosomes in metabolic dysfunction-associated steatotic liver disease.不同间充质干细胞及其衍生外泌体在代谢功能障碍相关脂肪性肝病中的治疗潜力。
Front Endocrinol (Lausanne). 2025 Apr 3;16:1558194. doi: 10.3389/fendo.2025.1558194. eCollection 2025.
2
Safety, Efficacy and Bio-Distribution Analysis of Exosomes Derived From Human Umbilical Cord Mesenchymal Stem Cells for Effective Treatment of Bronchopulmonary Dysplasia by Intranasal Administration in Mice Model.人脐带间充质干细胞来源的外泌体经鼻给药对小鼠模型支气管肺发育不良有效治疗的安全性、有效性及生物分布分析
Int J Nanomedicine. 2025 Feb 27;20:2521-2553. doi: 10.2147/IJN.S501843. eCollection 2025.

本文引用的文献

1
A Novel Marine Pyran-Isoindolone Compound Enhances Fibrin Lysis Mediated by Single-Chain Urokinase-Type Plasminogen Activator.一种新型海洋吡喃异吲哚啉化合物增强单链尿激酶型纤溶酶原激活剂介导的纤维蛋白溶解。
Mar Drugs. 2022 Jul 30;20(8):495. doi: 10.3390/md20080495.
2
Evaluation of the Therapeutic Potential of Mesenchymal Stem Cells (MSCs) in Preclinical Models of Autoimmune Diseases.间充质干细胞(MSCs)在自身免疫性疾病临床前模型中的治疗潜力评估
Stem Cells Int. 2022 Jul 28;2022:6379161. doi: 10.1155/2022/6379161. eCollection 2022.
3
COVID-19 and Neurologic Manifestations: An Experience at Major New York City Hospitals.
新型冠状病毒肺炎(COVID-19)与神经系统表现:纽约市主要医院的经验
Cureus. 2022 Apr 11;14(4):e24049. doi: 10.7759/cureus.24049. eCollection 2022 Apr.
4
Efficacy and safety of umbilical cord-derived mesenchymal stem cells in Chinese adults with type 2 diabetes: a single-center, double-blinded, randomized, placebo-controlled phase II trial.脐带间充质干细胞治疗中国成人 2 型糖尿病的疗效和安全性:一项单中心、双盲、随机、安慰剂对照的 II 期临床试验。
Stem Cell Res Ther. 2022 May 3;13(1):180. doi: 10.1186/s13287-022-02848-6.
5
Vaccines for Covid-19: An insight on their effectiveness and adverse effects.Covid-19 疫苗:对其有效性和不良反应的深入了解。
J Med Virol. 2022 Aug;94(8):3554-3560. doi: 10.1002/jmv.27810. Epub 2022 May 5.
6
Mesenchymal stem cell therapy in decompensated liver cirrhosis: a long-term follow-up analysis of the randomized controlled clinical trial.间质干细胞治疗失代偿期肝硬化:一项随机对照临床试验的长期随访分析。
Hepatol Int. 2021 Dec;15(6):1431-1441. doi: 10.1007/s12072-021-10199-2. Epub 2021 Nov 29.
7
Mesenchymal Stem Cells in the Treatment of COVID-19, a Promising Future.间充质干细胞治疗 COVID-19,前景广阔。
Cells. 2021 Sep 29;10(10):2588. doi: 10.3390/cells10102588.
8
Clinical experience on umbilical cord mesenchymal stem cell treatment in 210 severe and critical COVID-19 cases in Turkey.土耳其 210 例重症和危重症 COVID-19 患者脐带间充质干细胞治疗的临床经验。
Stem Cell Rev Rep. 2021 Oct;17(5):1917-1925. doi: 10.1007/s12015-021-10214-x. Epub 2021 Jul 28.
9
Biodistribution studies for cell therapy products: Current status and issues.细胞治疗产品的生物分布研究:现状与问题
Regen Ther. 2021 Jul 12;18:202-216. doi: 10.1016/j.reth.2021.06.005. eCollection 2021 Dec.
10
Umbilical Cord Mesenchymal Stromal Cell-Derived Exosomes Rescue the Loss of Outer Hair Cells and Repair Cochlear Damage in Cisplatin-Injected Mice.脐带间充质基质细胞衍生的外泌体拯救顺铂注射小鼠的外毛细胞损失并修复耳蜗损伤。
Int J Mol Sci. 2021 Jun 22;22(13):6664. doi: 10.3390/ijms22136664.