Suppr超能文献

一例罕见的偶然发现的胰腺神经内分泌肿瘤,表现为主胰管囊性扩张。

An unusual case of incidental pancreatic neuroendocrine tumor presenting with main pancreatic duct cystic dilatation.

作者信息

Essoun Samuel, Adu-Aryee Nii A, Obaka Henry E, Seshie Bernard, Dey Dzifa, Naporo Simon

机构信息

Department of Surgery, Korle Bu Teaching Hospital, P.O. Box KB 77, Korle Bu, Accra, Ghana.

Department of Surgery, University of Ghana Medical School, P.O. Box GP 4236, Accra, Ghana.

出版信息

Oxf Med Case Reports. 2024 Sep 7;2024(9):omae104. doi: 10.1093/omcr/omae104. eCollection 2024 Sep.

Abstract

INTRODUCTION

Pancreatic lesions have varied morphology and presentation making their diagnosis challenging. The lesions may be asymptomatic incidentalomas on abdominal imaging for other conditions, symptomatic producing specific hormone effects or causing local effects.

CASE

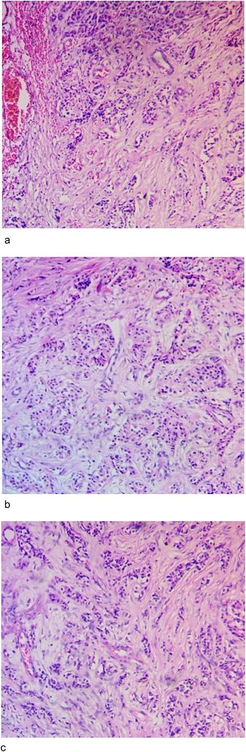
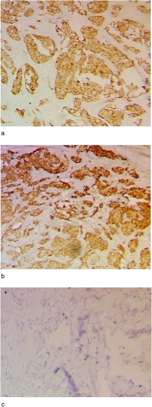
We report a 35-year-old woman with recurrent abdominal pain confirmed gastroesophageal reflux disease. Initial CT imaging reported findings of a pancreatic pseudocysts. A careful review of the imaging showed cystic dilatation of the main pancreatic duct mimicking a main pancreatic duct intra-ductal papillary mucinous neoplasm. At surgery, a small nodule palpated in the pancreatic head with sacculation in the body and tail. A histopathological review showed a pancreatic neuroendocrine tumour blocking the main pancreatic duct at the neck causing downstream dilatation and sacculation. This case highlights the difficulty of diagnosing small asymptomatic pancreatic tumours especially with limited range of imaging modalities while increasing awareness of these conditions to improve our ability to manage them effectively.

摘要

引言

胰腺病变具有多样的形态和表现,这使得它们的诊断具有挑战性。这些病变可能是在因其他病症进行腹部成像时发现的无症状偶发瘤,也可能是有症状的,产生特定的激素效应或引起局部效应。

病例

我们报告一名35岁女性,反复腹痛,确诊为胃食管反流病。最初的CT成像报告发现胰腺假性囊肿。对影像的仔细复查显示主胰管呈囊性扩张,类似主胰管内乳头状黏液性肿瘤。手术时,在胰头触及一个小结节,胰体和胰尾有囊状扩张。组织病理学检查显示,一个胰腺神经内分泌肿瘤在颈部阻塞主胰管,导致下游扩张和囊状扩张。该病例突出了诊断小的无症状胰腺肿瘤的困难,尤其是在成像方式有限的情况下,同时也提高了对这些病症的认识,以增强我们有效管理它们的能力。

https://cdn.ncbi.nlm.nih.gov/pmc/blobs/e972/11380084/acd14b51abd5/omae104f1.jpg

文献AI研究员

20分钟写一篇综述,助力文献阅读效率提升50倍。

立即体验

用中文搜PubMed

大模型驱动的PubMed中文搜索引擎

马上搜索

文档翻译

学术文献翻译模型,支持多种主流文档格式。

立即体验