Suppr超能文献

Imaging Findings and Management Strategy in Type II Popliteal Artery Entrapment Syndrome: A Tale of Two Cases.

作者信息

Singh Resham, Pal Tej, Ojha Vineeta, Kumar Sanjeev

机构信息

Cardiovascular Radiology and Endovascular Interventions, All India Institute of Medical Sciences, New Delhi, IND.

出版信息

Cureus. 2024 Aug 9;16(8):e66513. doi: 10.7759/cureus.66513. eCollection 2024 Aug.

Abstract

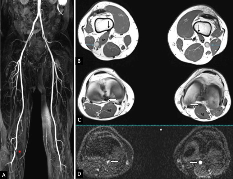
Popliteal artery entrapment syndrome (PAES) is a frequently underdiagnosed condition that should be investigated in adults who experience exertional intermittent claudication in the lower limbs. If detected early, it is a surgically treatable cause of leg claudication in young individuals. PAES can be inherited or acquired through muscular hypertrophy, and the literature classifies it into six categories (I-VI) based on anatomical type. We intend to report the magnetic resonance imaging (MRI) findings of two cases with type II PAES and their management.

摘要
https://cdn.ncbi.nlm.nih.gov/pmc/blobs/c8e2/11381094/ca864a9c571c/cureus-0016-00000066513-i01.jpg

文献AI研究员

20分钟写一篇综述,助力文献阅读效率提升50倍。

立即体验

用中文搜PubMed

大模型驱动的PubMed中文搜索引擎

马上搜索

文档翻译

学术文献翻译模型,支持多种主流文档格式。

立即体验